Adenoid cystic carcinoma
| Adenoid cystic carcinoma | |
|---|---|
|
Micrograph of an adenoid cystic carcinoma of a salivary gland (right of image). Normal serous glands, typical of the parotid gland, are also seen (left of image). H&E stain. | |
| Classification and external resources | |
| ICD-O | M8200/3 |
| MeSH | D003528 |
Adenoid cystic carcinoma (sometimes referred to as adenocyst, malignant cylindroma, adenocystic, adenoidcystic, ACC or AdCC.) is a rare type of cancer that can exist in many different body sites. Despite this tumor most often occurs in the salivary glands, it can also be found in many anatomic sites, including the breast,[1][2] lacrimal gland, lung, brain, bartholin gland, trachea, and the paranasal sinuses.
It is the third most common malignant salivary gland tumor overall (after mucoepidermoid carcinoma and polymorphous low grade adenocarcinoma). It represents 28% of malignant submandibular gland tumors, making it the single most common malignant salivary gland tumor in this region. Patients may survive for years with metastases because this tumor is generally well-differentiated and slow growing. In a 1999 study[3] of a cohort of 160 ACC patients, disease specific survival was 89% at 5 years but only 40% at 15 years,[4] reflecting deaths from late-occurring metastatic disease.
Treatment
Primary treatment for this cancer, regardless of body site, is surgical removal with clean margins. This surgery can prove challenging in the head and neck region due to this tumour's tendency to spread along nerve tracts. Adjuvant or palliative radiotherapy is commonly given following surgery. For advanced major and minor salivary gland tumors that are inoperable, recurrent, or exhibit gross residual disease after surgery, fast neutron therapy is widely regarded as the most effective form of treatment.[5][6][7][8] Chemotherapy is used for metastatic disease. Chemotherapy is considered on a case by case basis, as there is limited trial data on the positive effects of chemotherapy. Clinical studies are ongoing, however.
Images
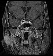
![]() Coronal MRI showing right parotid adenoid cystic carcinoma with perineural spread of tumor. The tumor originates in the right parotid gland and spreads along the trigeminal nerve via the auricuotemporal branch extending intracranially through the foramen ovale at the skull base towards Meckel's cave |
![]() Coronal MRI showing right parotid adenoid cystic carcinoma with perineural spread of tumor along the facial nerve extending to the stylomastoid foramen |
![]() Histopathological image of adenoid cystic carcinoma of the salivary gland. Hematoxylin & eosin stain. |
![]() Histopathological image of adenoid cystic carcinoma of the salivary gland. Immunostain for S-100 protein. |
![]() Micrograph of adenoid cystic carcinoma. FNA specimen. Pap stain. |
![]() Adenoid cystic carcinoma with comedonecrosis |
See also
References
- ↑ Marchiò C, Weigelt B, Reis-Filho JS (Mar 2010). "Adenoid cystic carcinomas of the breast and salivary glands (or 'The strange case of Dr Jekyll and Mr Hyde' of exocrine gland carcinomas)". J Clin Pathol. 63 (3): 220–8. doi:10.1136/jcp.2009.073908. PMID 20203221.
- ↑ Fusco N, Guerini-Rocco E, Schultheis AM, Badve SS, Reis-Filho JS, Weigelt B (Feb 2015). "The birth of an adenoid cystic carcinoma". Int J Surg Pathol. 23 (1): 26–7. doi:10.1177/1066896914548795. PMID 25185745.
- ↑ Fordice, Jim; Kershaw, Corey; El-Naggar, Adel; Goepfert, Helmuth (February 1999). "Adenoid Cystic Carcinoma of the Head and Neck: Predictors of Morbidity and Mortality". Archives of Otolaryngology--Head & Neck Surgery. 125 (2): 149–52. doi:10.1001/archotol.125.2.149. PMID 10037280.
- ↑ Christopher Moskaluk, MD, PhD, and Henry F. Frierson, Jr., MD. "Adenoid Cystic Carcinoma."
- ↑ Laramore, GE (September 1987). "Fast neutron radiotherapy for inoperable salivary gland tumors: is it the treatment of choice?". International Journal of Radiation Oncology, Biology, Physics. 13 (9): 1421–3. doi:10.1016/0360-3016(87)90240-9. PMID 3114190.
- ↑ Prott FJ, Haverkamp U, Willich N, Wagner W, Micke O, Pötter R (1996). "Ten years of fast neutron therapy in Münster". Bulletin Du Cancer. Radiothérapie. 83 (Suppl): 115s–21s. doi:10.1016/0924-4212(96)84895-x. PMID 8949762.
- ↑ Douglas, James G; Laramore, George E; Austin-Seymour, Mary; Koh, Wui-jin; Stelzer, Keith; Griffin, Thomas W (February 2000). "Treatment of locally advanced adenoid cystic carcinoma of the head and neck with neutron radiotherapy". International Journal of Radiation Oncology, Biology, Physics. 46 (3): 551–7. doi:10.1016/S0360-3016(99)00445-9. PMID 10701733.
- ↑ Breteau N, Wachter T, Kerdraon R, et al. (2000). "Utilisation des neutrons rapides dans le traitement des tumeurs des glandes salivaires : rationnel, revue de la littérature et expérience d'Orléans" [Use of fast neutrons in the treatment of tumors of the salivary glands: rationale, review of the literature and experience in Orleans]. Cancer Radiothérapie (in French). 4 (3): 181–90. doi:10.1016/S1278-3218(00)89092-7. PMID 10897760.
Further reading
- Neville, Damm, Allen, Bouquot. Oral and Maxillofacial Pathology. 2nd edition.
External links
- SinusTumor.org - an educational site that provides information about sinus tumors
- Adenoid Cystic Carcinoma Research Foundation
- FAQ for patients at Adenoid Cystic Carcinoma Organization International
- Adenoid Cystic Carcinoma Information
- Cancer.Net: Adenoid Cystic Carcinoma
- Adenoid Cystic Carcinoma at Oral Cancer Foundation
- Search for clinical trials at ClinicalTrials.gov
- Search for research literature at PubMed.gov
- Search for consumer health information at Medlineplus.gov
- Cancer.Net: Lacrimal Gland Tumor



.jpg)
_S-100.jpg)

