Atherosclerosis
| Atherosclerosis | |
|---|---|
|
The progression of atherosclerosis (narrowing exaggerated) | |
| Classification and external resources | |
| Specialty | Cardiology, angiology |
| ICD-10 | I25.0,I25.1,I70 |
| ICD-9-CM | 440, 414.0 |
| DiseasesDB | 1039 |
| MedlinePlus | 000171 |
| eMedicine | med/182 |
| Patient UK | Atherosclerosis |
| MeSH | D050197 |
Atherosclerosis (also known as arteriosclerotic vascular disease or ASVD) is a specific form of arteriosclerosis in which an artery-wall thickens as a result of invasion and accumulation of white blood cells (WBCs) (foam cell) and proliferation of intimal-smooth-muscle cell creating a fibrofatty plaque.[1]
The accumulation of the white blood cells is termed "fatty streaks" early on because of the appearance being similar to that of marbled steak. These accumulations contain both living, active WBCs (producing inflammation) and remnants of dead cells, including cholesterol and triglycerides. The remnants eventually include calcium and other crystallized materials within the outermost and oldest plaque. The "fatty streaks" reduce the elasticity of the artery walls. However, they do not affect blood flow for decades because the artery muscular wall enlarges at the locations of plaque.[2] The wall stiffening may eventually increase pulse pressure; widened pulse pressure is one possible result of advanced disease within the major arteries.
Atherosclerosis is therefore a syndrome affecting arterial blood vessels due to a chronic inflammatory response of WBCs in the walls of arteries. This is promoted by low-density lipoproteins (LDL, plasma proteins that carry cholesterol and triglycerides) without adequate removal of fats and cholesterol from the macrophages by functional high-density lipoproteins (HDL). It is commonly referred to as a "hardening" or furring of the arteries. It is caused by the formation of multiple atheromatous plaques within the arteries.[3][4]
The plaque is divided into three distinct components:
- The atheroma ("lump of gruel", from Greek ἀθήρα (athera), meaning "gruel"), which is the nodular accumulation of a soft, flaky, yellowish material at the center of large plaques, composed of macrophages nearest the lumen of the artery
- Underlying areas of cholesterol crystals
- Calcification at the outer base of older or more advanced lesions.
Atherosclerosis is a chronic disease that remains asymptomatic for decades.[5] Atherosclerotic lesions, or atherosclerotic plaques, are separated into two broad categories: Stable and unstable (also called vulnerable).[6] The pathobiology of atherosclerotic lesions is very complicated, but generally, stable atherosclerotic plaques, which tend to be asymptomatic, are rich in extracellular matrix and smooth muscle cells. On the other hand, unstable plaques are rich in macrophages and foam cells, and the extracellular matrix separating the lesion from the arterial lumen (also known as the fibrous cap) is usually weak and prone to rupture.[7] Ruptures of the fibrous cap expose thrombogenic material, such as collagen,[8] to the circulation and eventually induce thrombus formation in the lumen. Upon formation, intraluminal thrombi can occlude arteries outright (e.g., coronary occlusion), but more often they detach, move into the circulation, and eventually occlude smaller downstream branches causing thromboembolism. Apart from thromboembolism, chronically expanding atherosclerotic lesions can cause complete closure of the lumen. Chronically expanding lesions are often asymptomatic until lumen stenosis is so severe (usually over 80%) that blood supply to downstream tissue(s) is insufficient, resulting in ischemia.
These complications of advanced atherosclerosis are chronic, slowly progressive and cumulative. Most commonly, soft plaque suddenly ruptures (see vulnerable plaque), causing the formation of a thrombus that will rapidly slow or stop blood flow, leading to death of the tissues fed by the artery in approximately five minutes. This catastrophic event is called an infarction. One of the most common recognized scenarios is called coronary thrombosis of a coronary artery, causing myocardial infarction (a heart attack). The same process in an artery to the brain is commonly called stroke. Another common scenario in very advanced disease is claudication from insufficient blood supply to the legs. Atherosclerosis affects the entire artery tree, but mostly larger, high-pressure vessels such as the coronary, renal, femoral, cerebral, and carotid arteries. These are termed "clinically silent" because the person having the infarction does not notice the problem and does not seek medical help, or when they do, physicians do not recognize what has happened.

Definitions
The following terms are similar, yet distinct, in both spelling and meaning, and can be easily confused: arteriosclerosis, arteriolosclerosis, and atherosclerosis. Arteriosclerosis is a general term describing any hardening (and loss of elasticity) of medium or large arteries (from Greek ἀρτηρία (artēria), meaning "artery", and σκλήρωσις (sklerosis), meaning "hardening"); arteriolosclerosis is any hardening (and loss of elasticity) of arterioles (small arteries); atherosclerosis is a hardening of an artery specifically due to an atheromatous plaque. The term atherogenic is used for substances or processes that cause atherosclerosis.
Signs and symptoms
Atherosclerosis is asymptomatic for decades because the arteries enlarge at all plaque locations, thus there is no effect on blood flow. Even most plaque ruptures do not produce symptoms until enough narrowing or closure of an artery, due to clots, occurs. Signs and symptoms only occur after severe narrowing or closure impedes blood flow to different organs enough to induce symptoms.[9] Most of the time, patients realize that they have the disease only when they experience other cardiovascular disorders such as stroke or heart attack. These symptoms, however, still vary depending on which artery or organ is affected.[10]
Typically, atherosclerosis begins in childhood, as a thin layer of white-yellowish streaks with the inner layers of the artery walls (an accumulation of white blood cells, mostly monocytes/macrophages) and progresses from there.
Clinically, given enlargement of the arteries for decades, symptomatic atherosclerosis is typically associated with men in their 40s and women in their 50s to 60s. Sub-clinically, the disease begins to appear in childhood, and rarely is already present at birth. Noticeable signs can begin developing at puberty. Though symptoms are rarely exhibited in children, early screening of children for cardiovascular diseases could be beneficial to both the child and his/her relatives.[11] While coronary artery disease is more prevalent in men than women, atherosclerosis of the cerebral arteries and strokes equally affect both sexes.[12]
Marked narrowing in the coronary arteries, which are responsible for bringing oxygenated blood to the heart, can produce symptoms such as the chest pain of angina and shortness of breath, sweating, nausea, dizziness or light-headedness, breathlessness or palpitations.[10] Abnormal heart rhythms called arrhythmias (the heart is either beating too slow or too fast) are another consequence of ischemia.[13]
Carotid arteries supply blood to the brain and neck.[13] Marked narrowing of the carotid arteries can present with symptoms such as a feeling of weakness, not being able to think straight, difficulty speaking, becoming dizzy and difficulty in walking or standing up straight, blurred vision, numbness of the face, arms, and legs, severe headache and losing consciousness. These symptoms are also related to stroke (death of brain cells). Stroke is caused by marked narrowing or closure of arteries going to the brain; lack of adequate blood supply leads to the death of the cells of the affected tissue.[14]
Peripheral arteries, which supply blood to the legs, arms, and pelvis, also experience marked narrowing due to plaque rupture and clots. Symptoms for the marked narrowing are numbness within the arms or legs, as well as pain.
Another significant location for the plaque formation is the renal arteries, which supply blood to the kidneys. Plaque occurrence and accumulation leads to decreased kidney blood flow and chronic kidney disease, which, like all other ares, are typically asymptomatic until late stages.[10]
According to United States data for 2004, in about 66% of men and 47% of women, the first symptom of atherosclerotic cardiovascular disease is a heart attack or sudden cardiac death (death within one hour of onset of the symptom). Cardiac stress testing, traditionally the most commonly performed non-invasive testing method for blood flow limitations, in general, detects only lumen narrowing of ≈75% or greater, although some physicians claim that nuclear stress methods can detect as little as 50%.
Case studies have included autopsies of American soldiers killed in World War II and the Korean War. A much-cited report involved autopsies of 300 American soldiers killed in Korea. Although the average age of the men was 22.1 years, 77.3 percent had "gross evidence of coronary arteriosclerosis".[15] Other studies done of soldiers in the Vietnam War showed similar results, although often worse than the ones from the earlier wars. Theories include high rates of tobacco use and (in the case of the Vietnam soldiers) the advent of processed foods after World War II.
Causes

The atherosclerotic process is not fully understood. Atherosclerosis is initiated by inflammatory processes in the endothelial cells of the vessel wall associated with retained low-density lipoprotein (LDL) particles.[16] This retention may be a cause, an effect, or both, of the underlying inflammatory process.[17] Lipoproteins in the blood vary in size. Some data suggests that small dense LDL (sdLDL) particles are more prone to pass between the endothelial cells, going behind the cellular monolayer of endothelium. LDL particles and their content are susceptible to oxidation by free radicals,[18] and the risk is higher while the particles are in the wall than while in the bloodstream. However, LDL particles have a half-life of only a couple of days, and their content (LDL particles typically carry 3,000 to 6,000 fat molecules, including: cholesterol, phospholipids, cholesteryl esters, tryglycerides & all other fats in the water outside cells, to the tissues of the body) changes with time.
Once inside the vessel wall, LDL particles can become more prone to oxidation. Endothelial cells respond by attracting monocyte white blood cells, causing them to leave the blood stream, penetrate into the arterial walls and transform into macrophages. The macrophages' ingestion of oxidized LDL particles triggers a cascade of immune responses which over time can produce an atheroma if HDL removal of fats from the macrophages does not keep up. The immune system's specialized white blood cells (macrophages) absorb the oxidized LDL, forming specialized foam cells. If these foam cells are not able to process the oxidized LDL and recruit HDL particles to remove the fats, they grow and eventually rupture, leaving behind cellular membrane remnants, oxidized materials, and fats (including cholesterol) in the artery wall. This attracts more white blood cells, resulting in a snowballing progression that continues the cycle, inflaming the artery. The presence of the plaque induces the muscle cells of the blood vessel to stretch, compensating for the additional bulk, and the endothelial lining thickens, increasing the separation between the plaque and lumen. This somewhat offsets the narrowing caused by the growth of the plaque, but it causes the wall to stiffen and become less compliant to stretching with each heart beat.
Some researchers believe that atherosclerosis may be caused by an infection of the vascular smooth muscle cells. Chickens, for example, develop atherosclerosis when infected with the Marek's disease herpesvirus.[19] Herpesvirus infection of arterial smooth muscle cells has been shown to cause cholesteryl ester (CE) accumulation, which is associated with atherosclerosis.[20] Cytomegalovirus (CMV) infection is also associated with cardiovascular diseases.[21]
Risk factors
Various anatomic and physiological risk factors for atherosclerosis are known.[22] These can be divided into various categories: congenital vs acquired, modifiable or not, classical or non-classical. The points labelled '+' in the following list form the core components of metabolic syndrome.
Risks multiply, with two factors increasing the risk of atherosclerosis fourfold.[23] Hyperlipidemia, hypertension and cigarette smoking together increases the risk seven times.[23]
Modifiable
- Diabetes[23] or impaired glucose tolerance (IGT) +
- Dyslipoproteinemia[23] (unhealthy patterns of serum proteins carrying fats & cholesterol): +
- High serum concentration of low-density lipoprotein (LDL, "bad if elevated concentrations and small"), and / or very low density lipoprotein (VLDL) particles, i.e., "lipoprotein subclass analysis"
- Low serum concentration of functioning high density lipoprotein (HDL "protective if large and high enough" particles), i.e., "lipoprotein subclass analysis"
- An LDL:HDL ratio greater than 3:1
- Tobacco smoking, increases risk by 200% after several pack years[23]
- Elevated serum C-reactive protein concentrations[23][24]
- Vitamin B6 deficiency[25][26][27]
- Dietary iodine deficiency and hypothyroidism, which cause elevated serum cholesterol and of lipid peroxidation. In fact, 131-iodine is detectable in autoradiographs of walls of arteries to over 14 days after this radioiodide injection, suggesting a specific protective mechanism [28][29][30][31][32][33]
Nonmodifiable
- Advanced age[23]
- Male sex[23]
- Having close relatives who have had some complication of atherosclerosis (e.g. coronary heart disease or stroke)[23]
- Genetic abnormalities,[23] e.g. familial hypercholesterolemia
Lesser or uncertain
The following factors are of relatively lesser importance, are uncertain or unquantified:
- Being of South Asian ethnicity may confer an elevated risk factor for cardiovascular disease.[34][35]
- Obesity[23] (in particular central obesity, also referred to as abdominal or male-type obesity) +
- Hypercoagulability[36][37][38]
- Postmenopausal estrogen deficiency[23]
- High intake of saturated fat (may raise total and LDL cholesterol)[39]
- Intake of trans fat (may raise total and LDL cholesterol while lowering HDL cholesterol)[23][40]
- High carbohydrate intake[23]
- Elevated serum levels of triglycerides +
- Elevated serum levels of homocysteine
- Elevated serum levels of uric acid (also responsible for gout)
- Elevated serum fibrinogen concentrations
- Elevated serum lipoprotein(a) concentrations[23]
- Chronic systemic inflammation as reflected by upper normal WBC concentrations, elevated hs-CRP and many other blood chemistry markers, most only research level at present, not clinically done.[41]
- Elevated serum insulin levels +[42]
- Short sleep duration[43]
- Chlamydia pneumoniae infection[23]
- PM2.5 air pollution, fine particulates less than 2.5 µm in diameter, have been associated with thickening of the carotid artery.[44][45]
Dietary
The relation between dietary fat and atherosclerosis is controversial. The USDA, in its food pyramid, promotes a diet of about 64% carbohydrates from total calories. The American Heart Association, the American Diabetes Association and the National Cholesterol Education Program make similar recommendations. In contrast, Prof Walter Willett (Harvard School of Public Health, PI of the second Nurses' Health Study) recommends much higher levels of fat, especially of monounsaturated and polyunsaturated fat.[46] Writing in Science, Gary Taubes detailed that political considerations played into the recommendations of government bodies.[47] These differing views reach a consensus, though, against consumption of trans fats.
In contrast, according to Dr. Esselstyn, medical imaging methods like angiograms and ultrasonograms show a reduction of fatty streaks and arteriosclerosis in coronary arteries within months on an ultra high carb ultra low fat diet.[48]
The role of dietary oxidized fats/lipid peroxidation (rancid fats) in humans is not clear. Laboratory animals fed rancid fats develop atherosclerosis. Rats fed DHA-containing oils experienced marked disruptions to their antioxidant systems, and accumulated significant amounts of phospholipid hydroperoxide in their blood, livers and kidneys.[49] In another study, rabbits fed atherogenic diets containing various oils were found to undergo the greatest amount of oxidative susceptibility of LDL via polyunsaturated oils.[50] In a study involving rabbits fed heated soybean oil, "grossly induced atherosclerosis and marked liver damage were histologically and clinically demonstrated."[51] However, Kummerow, a prominent researcher, claims that it is not dietary cholesterol, but oxysterols, or oxidized cholesterols, from fried foods and smoking, that are the culprit.[52]
Rancid fats and oils taste very bad even in small amounts, so people avoid eating them.[53] It is very difficult to measure or estimate the actual human consumption of these substances.[54]
Highly unsaturated omega-3 rich oils such as fish oil are being sold in pill form so that the taste of oxidized or rancid fat is not apparent. The health food industry's dietary supplements are self regulated and outside of FDA regulations.[55] To properly protect unsaturated fats from oxidation, it is best to keep them cool and in oxygen free environments.
Long term exposure to inorganic arsenic is associated with atherosclerosis.[56]
Mechanism
Atherogenesis is the developmental process of atheromatous plaques. It is characterized by a remodeling of arteries leading to subendothelial accumulation of fatty substances called plaques. The buildup of an atheromatous plaque is a slow process, developed over a period of several years through a complex series of cellular events occurring within the arterial wall and in response to a variety of local vascular circulating factors. One recent hypothesis suggests that, for unknown reasons, leukocytes, such as monocytes or basophils, begin to attack the endothelium of the artery lumen in cardiac muscle. The ensuing inflammation leads to formation of atheromatous plaques in the arterial tunica intima, a region of the vessel wall located between the endothelium and the tunica media. The bulk of these lesions is made of excess fat, collagen, and elastin. At first, as the plaques grow, only wall thickening occurs without any narrowing. Stenosis is a late event, which may never occur and is often the result of repeated plaque rupture and healing responses, not just the atherosclerotic process by itself.
Cellular

Early atherogenesis is characterized by the adherence of blood circulating monocytes (a type of white blood cell) to the vascular bed lining, the endothelium, then by their migration to the sub-endothelial space, and further activation into monocyte-derived macrophages.[57] The primary documented driver of this process is oxidized lipoprotein particles within the wall, beneath the endothelial cells, though upper normal or elevated concentrations of blood glucose also plays a major role and not all factors are fully understood. Fatty streaks may appear and disappear.
Low-density lipoprotein (LDL) particles in blood plasma invade the endothelium and become oxidized, creating risk of cardiovascular disease. A complex set of biochemical reactions regulates the oxidation of LDL, involving enzymes (such as Lp-LpA2) and free radicals in the endothelium.
Initial damage to the endothelium results in an inflammatory response. Monocytes enter the artery wall from the bloodstream, with platelets adhering to the area of insult. This may be promoted by redox signaling induction of factors such as VCAM-1, which recruit circulating monocytes, and M-CSF, which is selectively required for the differentiation of monocytes to macrophages. The monocytes differentiate into macrophages, which ingest oxidized LDL, slowly turning into large "foam cells" – so-called because of their changed appearance resulting from the numerous internal cytoplasmic vesicles and resulting high lipid content. Under the microscope, the lesion now appears as a fatty streak. Foam cells eventually die and further propagate the inflammatory process.
In addition to these cellular activities, there is also smooth muscle proliferation and migration from the tunica media into the intima in response to cytokines secreted by damaged endothelial cells. This causes the formation of a fibrous capsule covering the fatty streak. Intact endothelium can prevent this smooth muscle proliferation by releasing nitric oxide.
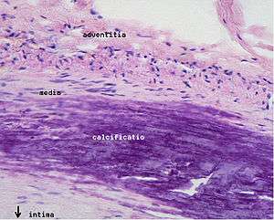
Calcification and lipids
Calcification forms among vascular smooth muscle cells of the surrounding muscular layer, specifically in the muscle cells adjacent to atheromas and on the surface of atheroma plaques and tissue.[58] In time, as cells die, this leads to extracellular calcium deposits between the muscular wall and outer portion of the atheromatous plaques. With the atheromatous plaque interfering with the regulation of the calcium deposition, it accumulates and crystallizes. A similar form of an intramural calcification, presenting the picture of an early phase of arteriosclerosis, appears to be induced by a number of drugs that have an antiproliferative mechanism of action (Rainer Liedtke 2008).
Cholesterol is delivered into the vessel wall by cholesterol-containing low-density lipoprotein (LDL) particles. To attract and stimulate macrophages, the cholesterol must be released from the LDL particles and oxidized, a key step in the ongoing inflammatory process. The process is worsened if there is insufficient high-density lipoprotein (HDL), the lipoprotein particle that removes cholesterol from tissues and carries it back to the liver.
The foam cells and platelets encourage the migration and proliferation of smooth muscle cells, which in turn ingest lipids, become replaced by collagen and transform into foam cells themselves. A protective fibrous cap normally forms between the fatty deposits and the artery lining (the intima).
These capped fatty deposits (now called 'atheromas') produce enzymes that cause the artery to enlarge over time. As long as the artery enlarges sufficiently to compensate for the extra thickness of the atheroma, then no narrowing ("stenosis") of the opening ("lumen") occurs. The artery becomes expanded with an egg-shaped cross-section, still with a circular opening. If the enlargement is beyond proportion to the atheroma thickness, then an aneurysm is created.[59]
Visible features
Although arteries are not typically studied microscopically, two plaque types can be distinguished:[60]
- The fibro-lipid (fibro-fatty) plaque is characterized by an accumulation of lipid-laden cells underneath the intima of the arteries, typically without narrowing the lumen due to compensatory expansion of the bounding muscular layer of the artery wall. Beneath the endothelium there is a "fibrous cap" covering the atheromatous "core" of the plaque. The core consists of lipid-laden cells (macrophages and smooth muscle cells) with elevated tissue cholesterol and cholesterol ester content, fibrin, proteoglycans, collagen, elastin, and cellular debris. In advanced plaques, the central core of the plaque usually contains extracellular cholesterol deposits (released from dead cells), which form areas of cholesterol crystals with empty, needle-like clefts. At the periphery of the plaque are younger "foamy" cells and capillaries. These plaques usually produce the most damage to the individual when they rupture.
- The fibrous plaque is also localized under the intima, within the wall of the artery resulting in thickening and expansion of the wall and, sometimes, spotty localized narrowing of the lumen with some atrophy of the muscular layer. The fibrous plaque contains collagen fibers (eosinophilic), precipitates of calcium (hematoxylinophilic) and, rarely, lipid-laden cells.
In effect, the muscular portion of the artery wall forms small aneurysms just large enough to hold the atheroma that are present. The muscular portion of artery walls usually remain strong, even after they have remodeled to compensate for the atheromatous plaques.
However, atheromas within the vessel wall are soft and fragile with little elasticity. Arteries constantly expand and contract with each heartbeat, i.e., the pulse. In addition, the calcification deposits between the outer portion of the atheroma and the muscular wall, as they progress, lead to a loss of elasticity and stiffening of the artery as a whole.
The calcification deposits,[4] after they have become sufficiently advanced, are partially visible on coronary artery computed tomography or electron beam tomography (EBT) as rings of increased radiographic density, forming halos around the outer edges of the atheromatous plaques, within the artery wall. On CT, >130 units on the Hounsfield scale (some argue for 90 units) has been the radiographic density usually accepted as clearly representing tissue calcification within arteries. These deposits demonstrate unequivocal evidence of the disease, relatively advanced, even though the lumen of the artery is often still normal by angiography.
Rupture and stenosis

Although the disease process tends to be slowly progressive over decades, it usually remains asymptomatic until an atheroma ulcerates, which leads to immediate blood clotting at the site of atheroma ulcer. This triggers a cascade of events that leads to clot enlargement, which may quickly obstruct the flow of blood. A complete blockage leads to ischemia of the myocardial (heart) muscle and damage. This process is the myocardial infarction or "heart attack".
If the heart attack is not fatal, fibrous organization of the clot within the lumen ensues, covering the rupture but also producing stenosis or closure of the lumen, or over time and after repeated ruptures, resulting in a persistent, usually localized stenosis or blockage of the artery lumen. Stenoses can be slowly progressive, whereas plaque ulceration is a sudden event that occurs specifically in atheromas with thinner/weaker fibrous caps that have become "unstable".
Repeated plaque ruptures, ones not resulting in total lumen closure, combined with the clot patch over the rupture and healing response to stabilize the clot is the process that produces most stenoses over time. The stenotic areas tend to become more stable despite increased flow velocities at these narrowings. Most major blood-flow-stopping events occur at large plaques, which, prior to their rupture, produced very little if any stenosis.
From clinical trials, 20% is the average stenosis at plaques that subsequently rupture with resulting complete artery closure. Most severe clinical events do not occur at plaques that produce high-grade stenosis. From clinical trials, only 14% of heart attacks occur from artery closure at plaques producing a 75% or greater stenosis prior to the vessel closing.
If the fibrous cap separating a soft atheroma from the bloodstream within the artery ruptures, tissue fragments are exposed and released. These tissue fragments are very clot-promoting, containing collagen and tissue factor; they activate platelets and activate the system of coagulation. The result is the formation of a thrombus (blood clot) overlying the atheroma, which obstructs blood flow acutely. With the obstruction of blood flow, downstream tissues are starved of oxygen and nutrients. If this is the myocardium (heart muscle) angina (cardiac chest pain) or myocardial infarction (heart attack) develops.
Accelerated growth of plaques
The distribution of atherosclerotic plaques in a part of arterial endothelium is inhomogeneous. The multiple and focal development of atherosclerotic changes is similar to that in the development of amyloid plaques in the brain and that of age spots on the skin. Misrepair-accumulation aging theory suggests that misrepair mechanisms[61][62] play an important role in the focal development of atherosclerosis.[63] Development of a plaque is a result of repair of injured endothelium. Because of the infusion of lipids into sub-endothelium, the repair has to end up with altered remodeling of local endothelium. This is the manifestation of a misrepair. Important is this altered remodeling makes the local endothelium have increased fragility to damage and have reduced repair-efficiency. As a consequence, this part of endothelium has increased risk to be injured and to be misrepaired. Thus, the accumulation of misrepairs of endothelium is focalized and self-accelerating. In this way, the growing of a plaque is also self-accelerating. Within a part of arterial wall, the oldest plaque is always the biggest, and is the most dangerous one to cause blockage of local artery.
Diagnosis

Areas of severe narrowing, stenosis, detectable by angiography, and to a lesser extent "stress testing" have long been the focus of human diagnostic techniques for cardiovascular disease, in general. However, these methods focus on detecting only severe narrowing, not the underlying atherosclerosis disease. As demonstrated by human clinical studies, most severe events occur in locations with heavy plaque, yet little or no lumen narrowing present before debilitating events suddenly occur. Plaque rupture can lead to artery lumen occlusion within seconds to minutes, and potential permanent debility and sometimes sudden death.
Plaques that have ruptured are called complicated plaques. The extracellular matrix of the lesion breaks, usually at the shoulder of the fibrous cap that separates the lesion from the arterial lumen, where the exposed thrombogenic components of the plaque, mainly collagen will trigger thrombus formation. The thrombus then travels downstream to other blood vessels, where the blood clot may partially or completely block blood flow. If the blood flow is completely blocked, cell deaths occur due to the lack of oxygen supply to nearby cells, resulting in necrosis. The narrowing or obstruction of blood flow can occur in any artery within the body. Obstruction of arteries supplying the heart muscle results in a heart attack, while the obstruction of arteries supplying the brain results in a stroke.

Lumen stenosis that is greater than 75% was considered the hallmark of clinically significant disease in the past because recurring episodes of angina and abnormalities in stress tests are only detectable at that particular severity of stenosis. However, clinical trials have shown that only about 14% of clinically debilitating events occur at sites with more than 75% stenosis. The majority of cardiovascular events that involve sudden rupture of the atheroma plaque do not display any evident narrowing of the lumen. Thus, greater attention has been focused on "vulnerable plaque" from the late 1990s onwards.[64]
Besides the traditional diagnostic methods such as angiography and stress-testing, other detection techniques have been developed in the past decades for earlier detection of atherosclerotic disease. Some of the detection approaches include anatomical detection and physiologic measurement.
Examples of anatomical detection methods include coronary calcium scoring by CT, carotid IMT (intimal media thickness) measurement by ultrasound, and intravascular ultrasound (IVUS). Examples of physiologic measurement methods include lipoprotein subclass analysis, HbA1c, hs-CRP, and homocysteine. Both anatomic and physiologic methods allow early detection before symptoms show up, disease staging and tracking of disease progression. Anatomic methods are more expensive and some of them are invasive in nature, such as IVUS. On the other hand, physiologic methods are often less expensive and safer. But they do not quantify the current state of the disease or directly track progression. In recent years, developments in nuclear imaging techniques such as PET and SPECT have provided ways of estimating the severity of atherosclerotic plaques.
Prevention
Up to 90% of cardiovascular disease may be preventable if established risk factors are avoided.[65][66] Medical management of atherosclerosis first involves modification to risk factors–for example, via smoking cessation and diet restrictions. Additionally, a controlled exercise program combats atherosclerosis by improving circulation and functionality of the vessels. Exercise is also used to manage weight in patients who are obese, lower blood pressure, and decrease cholesterol. Often lifestyle modification is combined with medication therapy. For example, statins help to lower cholesterol, antiplatelet medications like Aspirin help to prevent clots, and a variety of antihypertensive medications are routinely used to control blood pressure. If the combined efforts of risk factor modification and medication therapy are not sufficient to control symptoms, or fight imminent threats of ischemic events, a physician may resort to interventional or surgical procedures to correct the obstruction.[67]
Combinations of statins, niacin and intestinal cholesterol absorption-inhibiting supplements (ezetimibe and others, and to a much lesser extent fibrates) have been the most successful in changing common but sub-optimal lipoprotein patterns and group outcomes. In the many secondary prevention and several primary prevention trials, several classes of lipoprotein-expression-altering (less correctly termed "cholesterol-lowering") agents have consistently reduced not only heart attack, stroke and hospitalization but also all-cause mortality rates. The first of the large secondary prevention comparative statin/placebo treatment trials was the Scandinavian Simvastatin Survival Study (4S)[68] with over fifteen more studies extending through to the more recent ASTEROID[69] trial published in 2006. The first primary prevention comparative treatment trial was AFCAPS/TexCAPS[70] with multiple later comparative statin/placebo treatment trials including EXCEL,[71] ASCOT[72] and SPARCL.[73][74] While the statin trials have all been clearly favorable for improved human outcomes, only ASTEROID and SATURN showed evidence of atherosclerotic regression (slight). Both human and animal trials that showed evidence of disease regression used more aggressive combination agent treatment strategies, which nearly always included niacin.[22]
Treatment
Medical treatments often focus on alleviating symptoms. However measures which focus on decreasing underlying atherosclerosis—as opposed to simply treating symptoms—are more effective.[75] Non-pharmaceutical means are usually the first method of treatment, such as stopping smoking and practicing regular exercise.[76][77] If these methods do not work, medicines are usually the next step in treating cardiovascular diseases, and, with improvements, have increasingly become the most effective method over the long term.
The key to the more effective approaches has been better understanding of the widespread and insidious nature of the disease and to combine multiple different treatment strategies, not rely on just one or a few approaches.[78] In addition, for those approaches, such as lipoprotein transport behaviors, which have been shown to produce the most success, adopting more aggressive combination treatment strategies taken on a daily basis and indefinitely has generally produced better results, both before and especially after people are symptomatic.[75]
Statins
The group of medications referred to as statins are widely prescribed for treating atherosclerosis. They have shown benefit in reducing cardiovascular disease and mortality in those with high cholesterol with few side effects.[79]
These data are primarily in middle-age men and the conclusions are less clear for women and people over the age of 70.[80]
Monocyte counts, as well as cholesterol markers such as LDL:HDL ratio and apolipiprotein B: apolipoprotein A-1 ratio can be used as markers to monitor the extent of atherosclerotic regression which proves useful in guiding patient treatments.[81]
Diet
Changes in diet may help prevent the development of atherosclerosis. There is tentative evidence that a diet that contains dairy products usually occurs with a better diet overall and either has no effect on or decreases the risk of cardiovascular disease.[82][83]
A diet high in fruits and vegetables decreases the risk of cardiovascular disease and death.[84] Evidence suggests that the Mediterranean diet may improve cardiovascular outcomes.[85] There is also evidence that a Mediterranean diet may be better than a low-fat diet in bringing about long-term changes to cardiovascular risk factors (e.g., lower cholesterol level and blood pressure).[86]
Surgery
When atherosclerosis has become severe and caused irreversible ischemia, such as tissue loss in the case of peripheral artery disease, surgery may be indicated. Vascular bypass surgery can re-establish flow around the diseased segment of artery, and angioplasty with or without stenting can reopen narrowed arteries and improve bloodflow.
Other
There is evidence that some anticoagulants, particularly warfarin, which inhibit clot formation by interfering with Vitamin K metabolism, may actually promote arterial calcification in the long term despite reducing clot formation in the short term.[87][88][89]
Prognosis
Diabetics, despite not having clinically detectable atherosclerotic disease, have more severe debility from atherosclerotic events over time than non-diabetics who have already had atherosclerotic events. Thus diabetes has been upgraded to be viewed as an advanced atherosclerotic disease equivalent.
Research
An indication of the role of HDL on atherosclerosis has been with the rare Apo-A1 Milano human genetic variant of this HDL protein. A small short-term trial using bacterial synthetized human Apo-A1 Milano HDL in people with unstable angina produced fairly dramatic reduction in measured coronary plaque volume in only six weeks vs. the usual increase in plaque volume in those randomized to placebo. The trial was published in JAMA in early 2006. Ongoing work starting in the 1990s may lead to human clinical trials—probably by about 2008. These may use synthesized Apo-A1 Milano HDL directly, or they may use gene-transfer methods to pass the ability to synthesize the Apo-A1 Milano HDLipoprotein.
Methods to increase high-density lipoprotein (HDL) particle concentrations, which in some animal studies largely reverses and remove atheromas, are being developed and researched.
Niacin has HDL raising effects (by 10–30%) and showed clinical trial benefit in the Coronary Drug Project and is commonly used in combination with other lipoprotein agents to improve efficacy of changing lipoprotein for the better. However most individuals have nuisance symptoms with short term flushing reactions, especially initially, and so working with a physician with a history of successful experience with niacin implementation, careful selection of brand, dosing strategy, etc. are usually critical to success.
However, increasing HDL by any means is not necessarily helpful. For example, the drug torcetrapib is the most effective agent currently known for raising HDL (by up to 60%). However, in clinical trials it also raised deaths by 60%. All studies regarding this drug were halted in December 2006.[90] See CETP inhibitor for similar approaches.
The actions of macrophages drive atherosclerotic plaque progression. Immunomodulation of atherosclerosis is the term for techniques that modulate immune system function to suppress this macrophage action.[91]
Research on genetic expression and control mechanisms is progressing. Topics include
- PPAR, known to be important in blood sugar and variants of lipoprotein production and function;
- The multiple variants of the proteins that form the lipoprotein transport particles.
Some controversial research has suggested a link between atherosclerosis and the presence of several different nanobacteria in the arteries, e.g., Chlamydophila pneumoniae, though trials of current antibiotic treatments known to be usually effective in suppressing growth or killing these bacteria have not been successful in improving outcomes.[92]
The immunomodulation approaches mentioned above, because they deal with innate responses of the host to promote atherosclerosis, have far greater prospects for success.
miRNA
miRNAs have complementary sequences in the 3' UTR and 5' UTR of target mRNAs of protein-coding genes, and cause mRNA cleavage or repression of translational machinery. In diseased vascular vessels, miRNAs are dysregulated and highly expressed. miR-33 is found in cardiovascular diseases.[93] It is involved in atherosclerotic initiation and progression including lipid metabolism, insulin signaling and glucose homeostatis, cell type progression and proliferation, and myeloid cell differentiation. It was found in rodents that the inhibition of miR-33 will raise HDL level and the expression of miR-33 is down-regulated in humans with atherosclerotic plaques.[94][95][96][97]
miR-33a and miR-33b are located on intron 16 of human sterol regulatory element-binding protein 2 (SREBP2) gene on chromosome 22 and intron 17 of SREBP1 gene on chromosome 17.[98] miR-33a/b regulates cholesterol/lipid homeostatis by binding in the 3’UTRs of genes involved in cholesterol transport such as ATP binding cassette (ABC) transporters and enhance or represses its expression. Study have shown that ABCA1 mediates transport of cholesterol from peripheral tissues to Apolipoprotein-1 and it is also important in the reverse cholesterol transport pathway, where cholesterol is deliverd from peripheral tissue to the liver, where it can be excreted into bile or converted to bile acids prior to excretion.[93] Therefore, we know that ABCA1 plays an important role in preventing cholesterol accumulation in macrophages. By enhancing miR-33 function, the level of ABCA1 is decreased, leading to decrease cellular cholesterol efflux to apoA-1. On the other hand, by inhibiting miR-33 function, the level of ABCA1 is increased and increases the cholesterol efflux to apoA-1. Suppression of miR-33 will lead to less cellular cholesterol and higher plasma HDL level through the regulation of ABCA1 expression.[99]
The sugar, cyclodextrin, removed cholesterol that had built up in the arteries of mice fed a high-fat diet.[100][101]
Economics
In 2011, coronary atherosclerosis was one of the top ten most expensive conditions seen during inpatient hospitalizations in the U.S., with aggregate inpatient hospital costs of $10.4 billion.[102]
See also
- Angiogram
- Arterial stiffness
- Arteriosclerosis
- Atheroma
- Coronary catheterization
- Fatty streaks
- Intravascular ultrasound
- Monckeberg's arteriosclerosis
- apoA-1 Milano
References
- ↑ Ross, Russell (29 April 1993). "The pathogenesis of atherosclerosis: a perspective for the 1990s". Nature. 362 (6423): 801–809. doi:10.1038/362801a0. PMID 8479518.
- ↑ Singh RB, Mengi SA, Xu Y-J, Arneja AS, Dhalla NS. Pathogenesis of atherosclerosis: A multifactorial process. Experimental & Clinical Cardiology. 2002;7(1):40-53.
- ↑ "Health Information—Find Articles, Tools, and Tips at MerckEngage.com". mercksource.com.
- 1 2 Maton, Anthea; Roshan L. Jean Hopkins; Charles William McLaughlin; Susan Johnson; Maryanna Quon Warner; David LaHart; Jill D. Wright (1993). Human Biology and Health. Englewood Cliffs, NJ: Prentice Hall. ISBN 0-13-981176-1. OCLC 32308337.
- ↑ Ross R (April 1993). "The pathogenesis of atherosclerosis: a perspective for the 1990s". Nature. 362 (6423): 801–9. Bibcode:1993Natur.362..801R. doi:10.1038/362801a0. PMID 8479518.
- ↑ Ross R; Ross, Russell (January 1999). "Atherosclerosis — An Inflammatory Disease". New England Journal of Medicine. 340 (2): 115–26. doi:10.1056/NEJM199901143400207. PMID 9887164.
- ↑ Finn AV, Nakano M, Narula J, Kolodgie FD, Virmani R (July 2010). "Concept of vulnerable/unstable plaque". Arterioscler. Thromb. Vasc. Biol. 30 (7): 1282–92. doi:10.1161/ATVBAHA.108.179739. PMID 20554950.
- ↑ Didangelos A, Simper D, Monaco C, Mayr M (May 2009). "Proteomics of acute coronary syndromes." (PDF). Current atherosclerosis reports. 11 (3): 188–95. doi:10.1007/s11883-009-0030-x. PMID 19361350.
- ↑ Atherosclerosis. Harvard Health Publications Harvard Health Publications. Health Topics A – Z, (2011)
- 1 2 3 Atherosclerosis. National Heart, Lung and Blood Institute. http://www.nhlbi.nih.gov/health/health-topics/topics/atherosclerosis/signs.html (2011)
- ↑ http://www.news-medical.net/news/20120201/First-signs-of-atherosclerotic-heart-disease-may-appear-in-early-childhood.aspx Retrieved Feb-27-13
- ↑ Flora, G., Baker, A.B., Loewenson, R.B., and Klassen, A. C. A Comparative Study of Cerebral Atherosclerosis in Males and Females. Circulation 38, 859-869 http://circ.ahajournals.org/content/38/5/859.full.pdf (1968)
- 1 2 Arrhythmia. Heart and Stroke Foundation. http://www.heartandstroke.com/site/c.ikIQLcMWJtE/b.3484057/ (2011)
- ↑ Sims N.R.; Muderman H. (2010). "Mitochondria, oxidative metabolism and cell death in stroke". Biochimica et Biophysica Acta. 1802 (1): 80–91. doi:10.1016/j.bbadis.2009.09.003. PMID 19751827.
- ↑ Enos WF, Holmes RH, Beyer J (1953). "Coronary disease among United States soldiers killed in action in Korea: Preliminary Report". JAMA. 152 (12): 1090–93. doi:10.1001/jama.1953.03690120006002. The average age was calculated from the ages of 200 of the soldiers. No age was recorded in nearly 100 of the men.
- ↑ Li X, Fang P, et al. (April 2016). "Mitochondrial Reactive Oxygen Species Mediate Lysophosphatidylcholine-Induced Endothelial Cell Activation". Arteriosclerosis, Thrombosis, and Vascular Biology. 36 (6): 1090–100. doi:10.1161/ATVBAHA.115.306964. PMC 4882253
. PMID 27127201. - ↑ Williams, KJ; Tabas, I (May 1995). "The Response-to-Retention Hypothesis of Early Atherogenesis". Arteriosclerosis, thrombosis, and vascular biology. 15 (5): 551–61. doi:10.1161/01.ATV.15.5.551. PMC 2924812
. PMID 7749869. - ↑ Sparrow, CP; Olszewski, J (July 1993). "Cellular oxidation of low density lipoprotein is caused by thiol production in media containing transition metal ions". Journal of lipid research. 34 (7): 1219–28. PMID 8103788.
- ↑ Fabricant CG, Fabricant J (1999). "Atherosclerosis induced by infection with Marek's disease herpesvirus in chickens". Am Heart J. 138 (5 Pt 2): S465–8. doi:10.1016/S0002-8703(99)70276-0. PMID 10539849.
- ↑ Hsu HY, Nicholson AC, Pomerantz KB, Kaner RJ, Hajjar DP (August 1995). "Altered cholesterol trafficking in herpesvirus-infected arterial cells. Evidence for viral protein kinase-mediated cholesterol accumulation". J Biol Chem. 270 (33): 19630–7. doi:10.1074/jbc.270.33.19630. PMID 7642651.
- ↑ Cheng J, Ke Q, Jin Z, Wang H, Kocher O, Morgan JP, Zhang J, Crumpacker CS (May 2009). Früh K, ed. "Cytomegalovirus Infection Causes an Increase of Arterial Blood Pressure". PLoS Pathog. 5 (5): e1000427. doi:10.1371/journal.ppat.1000427. PMC 2673691
. PMID 19436702. - 1 2 Blankenhorn DH, Hodis HN (August 1993). "Atherosclerosis--reversal with therapy". The Western journal of medicine. 159 (2): 172–9. PMC 1022223
. PMID 8212682. - 1 2 3 4 5 6 7 8 9 10 11 12 13 14 15 16 Mitchell, Richard Sheppard; Kumar, Vinay; Abbas, Abul K.; Fausto, Nelson (2007). Robbins Basic Pathology: With STUDENT CONSULT Online Access (8th ed.). Philadelphia: Saunders. p. 345. ISBN 1-4160-2973-7.
- ↑ Narain VS, Gupta N, Sethi R, et al. (2008). "Clinical correlation of multiple biomarkers for risk assessment in patients with acute coronary syndrome". Indian Heart J. 60 (6): 536–42. PMID 19276492.
- ↑ Rinehart JF, Greenberg LD (May 1949). "Arteriosclerotic Lesions in Pyridoxine-Deficient Monkeys". Am. J. Pathol. 25 (3): 481–91. PMC 1942913
. PMID 18127137. - ↑ Rinehart JF, Greenberg LD (1956). "Vitamin B6 deficiency in the rhesus monkey; with particular reference to the occurrence of atherosclerosis, dental caries, and hepatic cirrhosis". Am. J. Clin. Nutr. 4 (4): 318–25; discussion, 325–8. PMID 13339702.
- ↑ Gruberg, E.R.; Raymond, S.A. (1981). Beyond Cholesterol: Vitamin B6, Arteriosclerosis, and Your Heart (1st ed.). New York: St. Martin's Press.
- ↑ Ullberg, S.; Ewaldsson, B (1964). "Distribution of radio-iodine studied by whole-body autoradiography". Acta Radiologica Therapy Physics Biology. 41: 24–32. doi:10.3109/02841866409134127.
- ↑ Kocher T (1883). "Uber Kropf exstirpation und ihre Folgen". Arch Klin Chir. 29: 254–337.
- ↑ Turner KB (1933). "Studies on the prevention of cholesterol atherosclerosis in rabbits". J Exp Med. 58 (1): 115–125. doi:10.1084/jem.58.1.115. PMC 2132282
. PMID 19870177. - ↑ Katamine S, Hoshino N, Totsuka K, Suzuki M (1985). "Effects of the longterm feeding of high-iodine eggs on lipid metabolism and thyroid function in rats". J Nutr Sci Vitaminol. 31 (3): 339–345. doi:10.3177/jnsv.31.339.
- ↑ Cann SA (2006). "Hypothesis: dietary iodine intake in the etiology of cardiovascular disease". J Am Coll Nutr. 25 (1): 1–11. doi:10.1080/07315724.2006.10719508. PMID 16522926.
- ↑ Venturi, Sebastiano (2011). "Evolutionary Significance of Iodine". Current Chemical Biology-. 5 (3): 155–162. doi:10.2174/187231311796765012. ISSN 1872-3136.
- ↑ Enas EA, Kuruvila A, Khanna P, Pitchumoni CS, Mohan V (October 2013). "Benefits & risks of statin therapy for primary prevention of cardiovascular disease in Asian Indians - a population with the highest risk of premature coronary artery disease & diabetes". Indian J Med Res. 138 (4): 461–491. PMC 3868060
. PMID 24434254. - ↑ Indian Heart Association Why South Asians Facts Web. 30 April 2015. http://indianheartassociation.org/why-indians-why-south-asians/overview/
- ↑ Borissoff JI, Spronk HM, Heeneman S, ten Cate H (June 2009). "Is thrombin a key player in the 'coagulation-atherogenesis' maze?". Cardiovasc. Res. 82 (3): 392–403. doi:10.1093/cvr/cvp066. PMID 19228706.
- ↑ Borissoff JI, Heeneman S, Kilinç E, et al. (August 2010). "Early atherosclerosis exhibits an enhanced procoagulant state". Circulation. 122 (8): 821–30. doi:10.1161/CIRCULATIONAHA.109.907121. PMID 20697022.
- ↑ Borissoff JI, Spronk HM, ten Cate H (May 2011). "The hemostatic system as a modulator of atherosclerosis". N. Engl. J. Med. 364 (18): 1746–60. doi:10.1056/NEJMra1011670. PMID 21542745.
- ↑ Food and nutrition board, institute of medicine of the national academies (2005). Dietary Reference Intakes for Energy, Carbohydrate, Fiber, Fat, Fatty Acids, Cholesterol, Protein, and Amino Acids (Macronutrients). National Academies Press. pp. 481–484.
- ↑ Food and nutrition board, institute of medicine of the national academies (2005). Dietary Reference Intakes for Energy, Carbohydrate, Fiber, Fat, Fatty Acids, Cholesterol, Protein, and Amino Acids (Macronutrients). National Academies Press. pp. 494–505.
- ↑ Bhatt DL, Topol EJ (July 2002). "Need to test the arterial inflammation hypothesis". Circulation. 106 (1): 136–40. doi:10.1161/01.CIR.0000021112.29409.A2. PMID 12093783.
- ↑ Griffin M, Frazer A, Johnson A, Collins P, Owens D, Tomkin GH (1998). "Cellular cholesterol synthesis—the relationship to post-prandial glucose and insulin following weight loss". Atherosclerosis. 138 (2): 313–8. doi:10.1016/S0021-9150(98)00036-7. PMID 9690914.
- ↑ King, Cr; Knutson, Kl; Rathouz, Pj; Sidney, S; Liu, K; Lauderdale, Ds (December 2008). "Short sleep duration and incident coronary artery calcification". JAMA: The Journal of the American Medical Association. 300 (24): 2859–66. doi:10.1001/jama.2008.867. PMC 2661105
. PMID 19109114. - ↑ Provost, EB; Madhloum, N; Int Panis, L; De Boever, P; Nawrot, TS (2015). "Carotid intima-media thickness, a marker of subclinical atherosclerosis, and particulate air pollution exposure: the meta-analytical evidence". PLoS ONE. 10 (5): e0127014. doi:10.1371/journal.pone.0127014. PMC 4430520
. PMID 25970426. - ↑ Adar, Sara D.; Lianne Sheppard; Sverre Vedal; Joseph F. Polak; Paul D. Sampson; Ana V. Diez Roux; Matthew Budoff; David R. Jacobs Jr; R. Graham Barr; Karol Watson; Joel D. Kaufman (April 23, 2013). "Fine Particulate Air Pollution and the Progression of Carotid Intima-Medial Thickness: A Prospective Cohort Study from the Multi-Ethnic Study of Atherosclerosis and Air Pollution". PLoS Medicine. 10 (4): e1001430. doi:10.1371/journal.pmed.1001430. Retrieved May 4, 2013.
This early analysis from MESA suggests that higher long-term PM2.5 concentrations are associated with increased IMT progression and that greater reductions in PM2.5 are related to slower IMT progression.
- ↑ "Food Pyramids: Nutrition Source, Harvard School of Public Health". Archived from the original on 26 December 2007. Retrieved 2007-11-25.
- ↑ Taubes G (March 2001). "Nutrition. The soft science of dietary fat". Science. 291 (5513): 2536–45. doi:10.1126/science.291.5513.2536. PMID 11286266.
- ↑ Esselstyn CB (2001). "Resolving the Coronary Artery Disease Epidemic Through Plant-Based Nutrition". Prev Cardiol. 4: 171–177. doi:10.1111/j.1520-037x.2001.00538.x. PMID 11832674.
- ↑ Song JH, Fujimoto K, Miyazawa T (2000). "Polyunsaturated (n-3) fatty acids susceptible to peroxidation are increased in plasma and tissue lipids of rats fed docosahexaenoic acid-containing oils". J. Nutr. 130 (12): 3028–33. PMID 11110863.
- ↑ Yap SC, Choo YM, Hew NF, et al. (1995). "Oxidative susceptibility of low density lipoprotein from rabbits fed atherogenic diets containing coconut, palm, or soybean oils". Lipids. 30 (12): 1145–50. doi:10.1007/BF02536616. PMID 8614305.
- ↑ Greco AV, Mingrone G (1990). "Serum and biliary lipid pattern in rabbits feeding a diet enriched with unsaturated fatty acids". Exp Pathol. 40 (1): 19–33. doi:10.1016/S0232-1513(11)80281-1. PMID 2279534.
- ↑ "Scientist, 98, challenges orthodoxy on causes of heart disease". medicalxpress.com.
- ↑ Mattes RD (2005). "Fat taste and lipid metabolism in humans". Physiol. Behav. 86 (5): 691–7. doi:10.1016/j.physbeh.2005.08.058. PMID 16249011.
The rancid odor of an oxidized fat is readily detectable
- ↑ Dobarganes C, Márquez-Ruiz G (2003). "Oxidized fats in foods". Current Opinion in Clinical Nutrition and Metabolic Care. 6 (2): 157–63. doi:10.1097/00075197-200303000-00004. PMID 12589185.
- ↑ supplements, FDA. "Dietary Supplements".
- ↑ Chih-Hao Wang. "Biological Gradient Between Long-Term Arsenic Exposure and Carotid Atherosclerosis". ahajournals.org.
- ↑ Schwartz, CJ; Valente AJ; Sprague EA; Kelley JL; Cayatte AJ; Mowery J. (Dec 1992). "Atherosclerosis. Potential targets for stabilization and regression". Circulation. 86 (6 Suppl): III117–123. PMID 1424045.
- ↑ Miller,J. D. Cardiovascular calcification: Orbicular origins. Nature Materials 12, 476-478 (2013).
- ↑ Glagov S, Weisenberg E, Zarins CK, Stankunavicius R, Kolettis GJ (May 1987). "Compensatory enlargement of human atherosclerotic coronary arteries". N. Engl. J. Med. 316 (22): 1371–5. doi:10.1056/NEJM198705283162204. PMID 3574413.
- ↑ "Coronary atherosclerosis — the fibrous plaque with calcification". www.pathologyatlas.ro. Retrieved 2010-03-25.
- ↑ Wang, Jicun; Michelitsch, Thomas; Wunderlin, Arne; Mahadeva, Ravi (2009). "Aging as a consequence of Misrepair –a novel theory of aging". 0904 (0575). arXiv:0904.0575
. Bibcode:2009arXiv0904.0575W. - ↑ Wang-Michelitsch, Jicun; Michelitsch, Thomas (2015). "Aging as a process of accumulation of Misrepairs". 1503 (07163). arXiv:1503.07163
. Bibcode:2015arXiv150307163W. - ↑ Wang-Michelitsch, Jicun; Michelitsch, Thomas (2015). "Misrepair mechanism in the development of atherosclerotic plaques". 1505 (01289). arXiv:1505.01289
. Bibcode:2015arXiv150501289W. - ↑ Maseri A, Fuster V (2003). "Is there a vulnerable plaque?". Circulation. 107 (16): 2068–71. doi:10.1161/01.CIR.0000070585.48035.D1. PMID 12719286.
- ↑ McGill, Henry C.; McMahan, C. Alex; Gidding, Samuel S. (2008-03-04). "Preventing Heart Disease in the 21st Century". Circulation. 117 (9): 1216–1227. doi:10.1161/CIRCULATIONAHA.107.717033. ISSN 0009-7322. PMID 18316498.
- ↑ McNeal, Catherine J.; Dajani, Tala; Wilson, Don; Cassidy-Bushrow, Andrea E.; Dickerson, Justin B.; Ory, Marcia (2010-01-01). "Hypercholesterolemia in youth: opportunities and obstacles to prevent premature atherosclerotic cardiovascular disease". Current Atherosclerosis Reports. 12 (1): 20–28. doi:10.1007/s11883-009-0072-0. ISSN 1534-6242. PMID 20425267.
- ↑ "Unit 6: Cardiovascular, Circulatory, and Hematologic Function." Suzane C. Smeltzer, Brenda G. Bare, Janice L Hinkle, Kerry K Cheever. Brunner & Suddarth's Textbook of Medical-Surgical Nursing. Philadelphia: Lippincott Williams & Wilkins, 2010. 682-900. Textbook.
- ↑ T. E. Strandberg; S. Lehto; K. Pyörälä; A. Kesäniemi; H. Oksa (1997-01-11). "Cholesterol lowering after participation in the Scandinavian Simvastatin Survival Study (4S) in Finland". European Heart Journal. 18 (11): 1725–7;. doi:10.1093/oxfordjournals.eurheartj.a015166. PMID 9402446.
- ↑ Nissen SE, Nicholls SJ, Sipahi I, et al. (2006). "Effect of very high-intensity statin therapy on regression of coronary atherosclerosis: the ASTEROID trial" (PDF). JAMA. 295 (13): 1556–65. doi:10.1001/jama.295.13.jpc60002. PMID 16533939.
- ↑ Downs JR, Clearfield M, Weis S, et al. (May 1998). "Primary prevention of acute coronary events with lovastatin in men and women with average cholesterol levels: results of AFCAPS/TexCAPS. Air Force/Texas Coronary Atherosclerosis Prevention Study". JAMA: The Journal of the American Medical Association. 279 (20): 1615–22. doi:10.1001/jama.279.20.1615. PMID 9613910.
- ↑ Bradford RH, Shear CL, Chremos AN, et al. (1991). "Expanded Clinical Evaluation of Lovastatin (EXCEL) study results. I. Efficacy in modifying plasma lipoproteins and adverse event profile in 8245 patients with moderate hypercholesterolemia". Arch. Intern. Med. 151 (1): 43–9. doi:10.1001/archinte.151.1.43. PMID 1985608.
- ↑ Sever PS, Poulter NR, Dahlöf B, et al. (2005). "Reduction in cardiovascular events with atorvastatin in 2,532 patients with type 2 diabetes: Anglo-Scandinavian Cardiac Outcomes Trial—lipid-lowering arm (ASCOT-LLA)". Diabetes Care. 28 (5): 1151–7. doi:10.2337/diacare.28.5.1151. PMID 15855581.
- ↑ Linda Brookes, MSc. "SPARCL: Stroke Prevention by Aggressive Reduction in Cholesterol Levels". Medscape. Archived from the original on January 16, 2008. Retrieved 2007-11-19.
- ↑ Amarenco P, Bogousslavsky J, Callahan AS, et al. (2003). "Design and baseline characteristics of the stroke prevention by aggressive reduction in cholesterol levels (SPARCL) study". Cerebrovascular diseases. 16 (4): 389–95. doi:10.1159/000072562. PMID 14584489.
- 1 2 Fonarow G (2003). "Aggressive treatment of atherosclerosis: The time is now". Cleve. Clin. J. Med. 70: 431–434. doi:10.3949/ccjm.70.5.431.
- ↑ Ambrose J. A.; Barua R. R. "The pathophysiology of cigarette smoking and cardiovascular disease". J Am Coll Cardiol. 43 (10): 1731–1737. doi:10.1016/j.jacc.2003.12.047.
- ↑ Pigozzi F.; et al. (2011). "Endothelial (dys)function: the target of physical exercise for prevention and treatment of cardiovascular disease". J. Sports Med. Phys. Fitness. 51: 260–267.
- ↑ Koh K.K.; et al. (2010). "Combination therapy for treatment or prevention of atherosclerosis: focus on the lipid-RAAS interaction". Atherosclerosis. 209: 307–313. doi:10.1016/j.atherosclerosis.2009.09.007.
- ↑ Taylor, F; Huffman, MD; Macedo, AF; Moore, TH; Burke, M; Davey Smith, G; Ward, K; Ebrahim, S (Jan 31, 2013). "Statins for the primary prevention of cardiovascular disease.". The Cochrane database of systematic reviews. 1: CD004816. doi:10.1002/14651858.CD004816.pub5. PMID 23440795.
- ↑ Vos E, Rose CP (November 2005). "Questioning the benefits of statins". CMAJ. 173 (10): 1207; author reply 1210. doi:10.1503/cmaj.1050120. PMC 1277053
. PMID 16275976. - ↑ Shanmugma, N., Román-Rego, A., Ong, P. & Kaski, J.C. Atherosclerotic plaque regression fact or fiction? Cardiovasc. Drugs Ther.24, 311–317 (2010).
- ↑ Rice, BH (2014). "Dairy and Cardiovascular Disease: A Review of Recent Observational Research.". Current nutrition reports. 3: 130–138. doi:10.1007/s13668-014-0076-4. PMC 4006120
. PMID 24818071. - ↑ Kratz, M; Baars, T; Guyenet, S (Feb 2013). "The relationship between high-fat dairy consumption and obesity, cardiovascular, and metabolic disease.". European journal of nutrition. 52 (1): 1–24. doi:10.1007/s00394-012-0418-1. PMID 22810464.
- ↑ Wang, X; Ouyang, Y; Liu, J; Zhu, M; Zhao, G; Bao, W; Hu, FB (Jul 29, 2014). "Fruit and vegetable consumption and mortality from all causes, cardiovascular disease, and cancer: systematic review and dose-response meta-analysis of prospective cohort studies.". BMJ (Clinical research ed.). 349: g4490. doi:10.1136/bmj.g4490. PMC 4115152
. PMID 25073782. - ↑ Walker C, Reamy BV (April 2009). "Diets for cardiovascular disease prevention: what is the evidence?". Am Fam Physician. 79 (7): 571–8. PMID 19378874.
- ↑ Nordmann, AJ; Suter-Zimmermann, K; Bucher, HC; Shai, I; Tuttle, KR; Estruch, R; Briel, M (September 2011). "Meta-analysis comparing Mediterranean to low-fat diets for modification of cardiovascular risk factors.". The American Journal of Medicine. 124 (9): 841–51.e2. doi:10.1016/j.amjmed.2011.04.024. PMID 21854893.
- ↑ Price PA, Faus SA, Williamson MK (February 2000). "Warfarin-induced artery calcification is accelerated by growth and vitamin D". Arteriosclerosis, thrombosis, and vascular biology. 20 (2): 317–27. doi:10.1161/01.ATV.20.2.317. PMID 10669626.
- ↑ Geleijnse JM, Vermeer C, Grobbee DE, et al. (November 2004). "Dietary intake of menaquinone is associated with a reduced risk of coronary heart disease: the Rotterdam Study". J Nutr. 134 (11): 3100–5. PMID 15514282.
- ↑ "Linus Pauling Institute at Oregon State University". lpi.oregonstate.edu. Archived from the original on 7 April 2010. Retrieved 2010-03-25.
- ↑ Barter PJ, Caulfield M, Eriksson M, et al. (November 2007). "Effects of torcetrapib in patients at high risk for coronary events". N Engl J Med. 357 (21): 2109–22. doi:10.1056/NEJMoa0706628. PMID 17984165.
- ↑ Jan Nilsson; Göran K. Hansson; Prediman K. Shah (2005). "Immunomodulation of Atherosclerosis – Implications for Vaccine Development—ATVB In Focus". Arteriosclerosis, Thrombosis, and Vascular Biology. 5 (1): 18–28. doi:10.1161/01.ATV.0000149142.42590.a2. PMID 15514204.
- ↑ M Stitzinger (2007). "Lipids, inflammation and atherosclerosis" (pdf). The digital repository of Leiden University. Archived (PDF) from the original on 27 November 2007. Retrieved 2007-11-02.
Results of clinical trials investigating anti-chlamydial antibiotics as an addition to standard therapy in patients with coronary artery disease have been inconsistent. Therefore, Andraws et al. conducted a meta- analysis of these clinical trials and found that evidence available to date does not demonstrate an overall benefit of antibiotic therapy in reducing mortality or cardiovascular events in patients with coronary artery disease.
- 1 2 Chen WJ, Yin K, Zhao GJ, et al. The magic and mystery of microRNA-27 in atherosclerosis. Atherosclerosis 2012;222:314e23.
- ↑ Sacco J, Adeli K. MicroRNAs: emerging roles in lipid and lipoprotein metabolism. Curr Opin Lipidol 2012;23:220e5.
- ↑ Bommer GT, MacDougald OA. Regulation of lipid homeostasis by the bifunctional SREBF2-miR33a locus. Cell Metab 2011;13:241e7.
- ↑ Rayner KJ, Sheedy FJ, Esau CC, et al. Antagonism of miR-33 in mice promotes reverse cholesterol transport and regression of atherosclerosis. J Clin Invest 2011;121:2921e31.
- ↑ Rayner KJ, Esau CC, Hussain FN, et al. Inhibition of miR-33a/b in non-human primates raises plasma HDL and lowers VLDL triglycerides. Nature 2011;478:404e7.
- ↑ Iwakiri Y. A role of miR-33 for cell cycle progression and cell proliferation. Cell Cycle 2012;11:1057e8.
- ↑ Singaraja RR, Stahmer B, Brundert M, et al. Hepatic ATP-binding cassette transporter A1 is a key molecule in high-density lipoprotein cholesteryl ester metabolism in mice. Arterioscler Thromb Vasc Biol 2006;26:1821e7.
- ↑ Sebastian Zimmer, Alena Grebe, Siril S. Bakke et al., and Eicke Latz (Apr 2016). Cyclodextrin promotes atherosclerosis regression via macrophage reprogramming. Science Translational Medicine: 8(333), 333ra50 doi:10.1126/scitranslmed.aad6100
- ↑ A sugar can melt away cholesterol. Science News
- ↑ Pfuntner A, Wier LM, Steiner C (December 2013). "Costs for Hospital Stays in the United States, 2011.". HCUP Statistical Brief #168. Rockville, MD: Agency for Healthcare Research and Quality.
External links
| Wikimedia Commons has media related to Atherosclerosis. |
- Atherosclerosis at DMOZ
- An open access review entitled Hypertension and the Pathogenesis of Atherosclerosis on Pharma Mirror Magazine.
- A four-minute animation of the atherosclerosis process, entitled "Pathogenesis of Acute MI," commissioned by Paul M. Ridker, MD, MPH, FACC, FAHA, at the Harvard Medical School, can be viewed at pri-med.com.
