Cognitive dissonance
| Psychology |
|---|
| Basic types |
| Applied psychology |
| Lists |
|
In psychology, cognitive dissonance is the mental stress or discomfort experienced by an individual who holds two or more contradictory beliefs, ideas, or values at the same time; performs an action that is contradictory to their beliefs, ideas, or values; or is confronted by new information that conflicts with existing beliefs, ideas or values.[1][2]
Leon Festinger's theory of cognitive dissonance focuses on how humans strive for internal consistency. An individual who experiences inconsistency tends to become psychologically uncomfortable, and is motivated to try to reduce this dissonance, as well as actively avoid situations and information likely to increase it.[1]
The term "dissonance" was first proposed by Leon Festinger in 1956, in his book entitled When Prophecy Fails, which investigated a religious cult led by a woman named Mrs. Marian Keech. Keech claimed that she was receiving messages from aliens, warning her of a UFO that was going to destroy the Earth. Even after this prophecy was proven wrong, fellow cult members did not end their evangelizing, leaving Festinger to wonder why their attitudes and beliefs toward the world ending didn't change when sufficient evidence proved they were wrong. He discovered that the reason for their continued beliefs was centered on the individuals' attempt to reduce their dissonance. They did so by accepting a new belief: that the aliens had spared Earth for their sake and the cult had saved the world.
This experience illustrates how people feel most comfortable, psychologically, when their attitudes and behaviors are consistent with each other; this consistency is referred to as "consonance." On the other hand, inconsistency between the two would be considered dissonance, or "psychological tension" that brings about a sense of discomfort and motivates the individual to change either his or her attitude, or his or her behavior, to restore consistency. One of the fundamental aspects of this theory is that dissonance can only occur after a decision has been made, or an action has been committed. If no act has been committed, an individual can not be psychologically uncomfortable because, technically, no counter-attitudinal action has been done.
Another key factor in the Cognitive Dissonance theory are the boundary conditions, or the conditions under which the theory is applicable to real-life situations. There are five main boundary conditions: free will, justification, sponsorship, effort, and consequences. In terms of free will, if an individual believes he or she has no free choice, or is being forced to act counter-attitudinally, he or she will experience no dissonance because no other option seemed available. Justification, then, points to the fact that if an individual has, or believes he or she has, rightful justification for behaving counter-attitudinally, he or she will have no dissonance. For a more surface-level condition, sponsorship refers to the avoided dissonance that comes along with behaving against one's attitudes because the source that is encouraging the act is considered attractive. Next is effort; if the counter-attitudinal behavior takes little to no effort, an individual will not experience dissonance because the act was something that was relatively easy to complete. Lastly, is consequences, which go hand in hand with responsibility. If an individual believes he or she will not receive any negative consequences, and or will not be held responsible for his or her actions, he or she will not receive any dissonance because he or she can "get away with" the act, while maintaining consistency between his or her attitudes and behaviors.
Relationship between cognitions
Individuals can adjust their attitudes or actions in various ways. Adjustments result in one of three relationships between two cognitions or between a cognition and a behavior.[1]
- Consonant relationship
- Two cognitions/actions that are consistent with one another (e.g., not wanting to get intoxicated while out, then ordering water instead of alcohol)
- Irrelevant relationship
- Two cognitions/actions that are unrelated to one another (e.g., not wanting to get intoxicated while out, then tying your shoes)
- Dissonant relationship
- Two cognitions/actions that are inconsistent with one another (e.g., not wanting to get intoxicated while out, then consuming a large quantity of alcohol)
Magnitude of dissonance
The amount of dissonance produced by two conflicting cognitions or actions (as well as the subsequent psychological distress) depends on two factors:
- The importance of cognitions: The more the elements are personally valued, the greater the magnitude of the dissonant relationship.
- Ratio of cognitions: The proportion of dissonant to consonant elements
The pressure to reduce cognitive dissonance is a function of the magnitude of this dissonance.[1]
Reducing
Cognitive dissonance theory is founded on the assumption that individuals seek consistency between their expectations and their reality. Because of this, people engage in a process called "dissonance reduction" to bring their cognitions and actions in line with one another. This creation of uniformity allows for a lessening of psychological tension and distress. According to Festinger, dissonance reduction can be achieved in four ways.[1] In an example case where a person has adopted the attitude that they will no longer eat high fat food, but eats a high-fat doughnut, the four methods of reduction are:
- Change behavior or cognition ("I will not eat any more of this doughnut")
- Justify behavior or cognition by changing the conflicting cognition ("I'm allowed to cheat every once in a while")
- Justify behavior or cognition by adding new cognitions ("I'll spend 30 extra minutes at the gym to work this off")
- Ignore or deny any information that conflicts with existing beliefs ("This doughnut is not high in fat")
Categorization is used by humans to simplify the world around them. How categorization happens is usually what is the most noticeable or basic categories; race, gender, and age. Once these groups are identified, a set of schema that involve attitudes (stereotypes) towards that group come into mind as well. These attitudes also involve negative emotional feelings toward those stereotypes (prejudices), or the fixed overgeneralized views held over the labeled group.[3]
Theory and research
Most of the research on cognitive dissonance takes the form of one of four major paradigms. Important research generated by the theory has been concerned with the consequences of exposure to information inconsistent with a prior belief, what happens after individuals act in ways that are inconsistent with their prior attitudes, what happens after individuals make decisions, and the effects of effort expenditure. A key tenet of cognitive dissonance theory is that those who have heavily invested in a position may, when confronted with disconfirming evidence, go to greater lengths to justify their position.
Belief disconfirmation paradigm
Dissonance is felt when people are confronted with information that is inconsistent with their beliefs. If the dissonance is not reduced by changing one's belief, the dissonance can result in restoring consonance through misperception, rejection or refutation of the information, seeking support from others who share the beliefs, and attempting to persuade others.[4][5]
An early version of cognitive dissonance theory appeared in Leon Festinger's 1956 book When Prophecy Fails. This book gives an account of the deepening of cult members' faith following the failure of a cult's prophecy that a UFO landing was imminent. The believers met at a pre-determined place and time, believing they alone would survive the Earth's destruction. The appointed time came and passed without incident. They faced acute cognitive dissonance: had they been the victim of a hoax? Had they donated their worldly possessions in vain? Most members chose to believe something less dissonant to resolve reality not meeting their expectations: they believed that the aliens had given Earth a second chance, and the group was now empowered to spread the word that Earth-spoiling must stop. The group dramatically increased their proselytism despite (because of) the failed prophecy.[6]
Another example of the belief disconfirmation paradigm is an orthodox Jewish group which believed their Rebbe might be the Messiah. When the Rebbe died of a stroke in 1994, instead of accepting that he was not the Messiah, some of them concluded that he was still the Messiah but would soon be resurrected from the dead.[7] Some have suggested the same process might explain the belief two thousand years ago that Jesus was resurrected from the dead.[8]
Induced-compliance paradigm
In Festinger and Carlsmith's classic 1959 experiment, students were asked to spend an hour on boring and tedious tasks (e.g., turning pegs a quarter turn, over and over again). The tasks were designed to generate a strong, negative attitude. Once the subjects had done this, the experimenters asked some of them to do a simple favour. They were asked to talk to another subject (actually an actor) and persuade the impostor that the tasks were interesting and engaging. Some participants were paid $20 (equivalent to $163 in present-day terms[9]) for this favour, another group was paid $1 (equivalent to $8 in present-day terms[9]), and a control group was not asked to perform the favour.

When asked to rate the boring tasks at the conclusion of the study (not in the presence of the other "subject"), those in the $1 group rated them more positively than those in the $20 and control groups. This was explained by Festinger and Carlsmith as evidence for cognitive dissonance. The researchers theorized that people experienced dissonance between the conflicting cognitions, "I told someone that the task was interesting", and "I actually found it boring." When paid only $1, students were forced to internalize the attitude they were induced to express, because they had no other justification. Those in the $20 condition, however, had an obvious external justification for their behaviour, and thus experienced less dissonance.[10]
In subsequent experiments, an alternative method of inducing dissonance has become common. In this research, experimenters use counter-attitudinal essay-writing, in which people are paid varying amounts of money (e.g., $1 or $10) for writing essays expressing opinions contrary to their own. People paid only a small amount of money have less external justification for their inconsistency, and must produce internal justification to reduce the high degree of dissonance they experience.
A variant of the induced-compliance paradigm is the forbidden toy paradigm. An experiment by Aronson and Carlsmith in 1963 examined self-justification in children.[11] In this experiment, children were left in a room with a variety of toys, including a highly desirable toy steam-shovel (or other toy). Upon leaving the room, the experimenter told half the children that there would be a severe punishment if they played with that particular toy and told the other half that there would be a mild punishment. All of the children in the study refrained from playing with the toy.[11] Later, when the children were told that they could freely play with whatever toy they wanted, the ones in the mild punishment condition were less likely to play with the toy, even though the threat had been removed. The children who were only mildly threatened had to justify to themselves why they did not play with the toy. The degree of punishment by itself was not strong enough—so, to resolve their dissonance, the children had to convince themselves that the toy was not worth playing with.[11]
A 2012 study using a version of the forbidden toy paradigm showed that hearing music reduces the development of cognitive dissonance.[12] With no music playing in the background, the control group of four-year-old children were told to avoid playing with a particular toy. After playing alone, the children later devalued the forbidden toy in their ranking, which is similar findings to earlier studies. However, in the variable group, classical music was played in the background while the children played alone. In that group, the children did not later devalue the toy. The researchers concluded that music may inhibit cognitions that result in dissonance reduction.[12]
Music is not the only example of an outside force lessening post-decisional dissonance; a 2010 study showed that hand-washing had a similar effect.[13]
Free-choice paradigm
In a different type of experiment conducted by Jack Brehm, 225 female students rated a series of common appliances and were then allowed to choose one of two appliances to take home as a gift. A second round of ratings showed that the participants increased their ratings of the item they chose, and lowered their ratings of the rejected item.[14]
This can be explained in terms of cognitive dissonance. When making a difficult decision, there are always aspects of the rejected choice that one finds appealing and these features are dissonant with choosing something else. In other words, the cognition, "I chose X" is dissonant with the cognition, "There are some things I like about Y." More recent research has found similar results in four-year-old children and capuchin monkeys.[15]
In addition to internal deliberations, the structuring of decisions among other individuals may play a role in how an individual acts. Researchers in a 2013 study examined social preferences and norms as related, in a linear manner, to wage giving among three individuals. The first participant's actions influenced the second's own wage giving. The researchers argue that inequity aversion is the paramount concern of the participants.[16]
Effort justification paradigm
Dissonance is aroused whenever individuals voluntarily engage in an unpleasant activity to achieve some desired goal, and dissonance can be reduced by exaggerating the desirability of the goal. Aronson & Mills had individuals undergo an embarrassing "initiation" to join a discussion group. One group was asked to read twelve obscene words aloud; the other to read twelve words which were related to sex but not obscene. Both groups were then given headphones to listen in on a pre-recorded discussion "designed to be as dull and banal as possible" about the sexual behavior of animals. Subjects were told that the discussion was occurring in the next room. The individuals whose initiation required obscene words evaluated the group as more interesting than the individuals in the mild-initiation condition.[17]
Effort justification is related to the idea of a sunk cost.
Washing one's hands has been shown to eliminate post-decisional dissonance, presumably because the dissonance is commonly caused by moral disgust (with oneself), which is related to disgust from unsanitary conditions.[18][19]
Examples

"The Fox and the Grapes"
A classic illustration of cognitive dissonance is expressed in the fable "The Fox and the Grapes" by Aesop (ca. 620–564 BCE). In the story, a fox sees some high-hanging grapes and wishes to eat them. When the fox is unable to think of a way to reach them, he decides that the grapes are probably not worth eating, with the justification that the grapes probably are not ripe or that they are sour (hence the common phrase "sour grapes"). The moral that accompanies the story is "Any fool can despise what he cannot get". This example follows a pattern: one desires something, finds it unattainable, and reduces one's dissonance by criticizing it. Jon Elster calls this pattern "adaptive preference formation".[20]
Other related phenomena
Cognitive dissonance has also been demonstrated to occur when people seek to:
- Explain inexplicable feelings: When a disaster occurs in a community, irrationally fearful rumors spread in nearby communities not involved in the disaster because of the need of those who are not threatened to justify their anxieties.[21]
- Minimize regret of irrevocable choices: Bettors at a racetrack are more confident in their chosen horse just after placing the bet because they cannot change it (the bettors felt "post-decision dissonance").[22]
- Justify behavior that opposed their views: Students judge cheating less harshly after being induced to cheat on a test.[23]
- Align one's perceptions of a person with one's behaviour toward that person: the Ben Franklin effect refers to that statesman's observation that the act of performing a favour for a rival leads to increased positive feelings toward that individual.
- Reaffirm already held beliefs: Congeniality bias (also referred to as confirmation bias) refers to how people read or access information that affirms their already established opinions, rather than referencing material that contradicts them.[24] For example, a person who is politically right-leaning might only watch news commentary that is from conservative news sources just as left-leaning individuals might only watch news commentary from liberal news sources. This bias is particularly apparent when someone is faced with deeply held beliefs, i.e., when a person has 'high commitment' to their attitudes.[24]
Balance theory suggests people have a general tendency to seek consonance between their views, and the views or characteristics of others (e.g., a religious believer may feel dissonance because their partner does not have the same beliefs as he or she does, thus motivating the believer to justify or rationalize this incongruence). People may self-handicap so that any failures during an important task are easier to justify (e.g., the student who drinks the night before an important exam in response to his fear of performing poorly).
Applications of research
In addition to explaining certain counter-intuitive human behaviour, the theory of cognitive dissonance has practical applications in several fields.
Education

Creating and resolving cognitive dissonance can have a powerful impact on students' motivation for learning.[25] For example, researchers have used the effort justification paradigm to increase students' enthusiasm for educational activities by offering no external reward for students' efforts: preschoolers who completed puzzles with the promise of a reward were less interested in the puzzles later, as compared to preschoolers who were offered no reward in the first place.[26] The researchers concluded that students who can attribute their work to an external reward stop working in the absence of that reward, while those who are forced to attribute their work to intrinsic motivation came to find the task genuinely enjoyable.
Psychologists have incorporated cognitive dissonance into models of basic processes of learning, notably constructivist models. Several educational interventions have been designed to foster dissonance in students by increasing their awareness of conflicts between prior beliefs and new information (e.g., by requiring students to defend prior beliefs) and then providing or guiding students to new, correct explanations that resolve the conflicts.[27]
For example, researchers have developed educational software that uses these principles to facilitate student questioning of complex subject matter.[28] Meta-analytic methods suggest that interventions which provoke cognitive dissonance to achieve directed conceptual change, have been demonstrated across numerous studies to significantly increase learning in science and reading.[27]
Therapy
The general effectiveness of psychotherapy and psychological intervention has been explained in part through cognitive dissonance theory.[29] Some social psychologists have argued that the act of freely choosing a specific therapy, together with the effort and money the client invests to continue the chosen therapy, positively influences the effectiveness of therapy.[30] This phenomenon was demonstrated in a study with overweight children, in which causing the children to believe that they freely chose the type of therapy they received resulted in greater weight loss.[31]
In another example, individuals with ophidiophobia (fear of snakes) who invested significant effort to engage in activities without therapeutic value for their condition, but were framed as legitimate and relevant therapy, showed significant improvement in phobic symptoms.[32] In these cases, and perhaps in many similar situations, patients came to feel better as a way to justify their efforts and ratify their choices. Beyond these observed short-term effects, effort expenditure in therapy also predicts long-term therapeutic change.[33]
Promoting healthy and pro-social behavior
It has also been demonstrated that cognitive dissonance can be used to promote behaviours such as increased condom use.[34] Other studies suggest that cognitive dissonance can also be used to encourage individuals to engage in prosocial behaviour under various contexts such as campaigning against littering,[35] reducing prejudice to racial minorities,[36] and compliance with anti-speeding campaigns.[37] The theory can also be used to explain reasons for donating to charity.[38][39]
Consumer behavior
Existing literature suggests that three main conditions exist for arousal of dissonance in purchases: the decision involved in the purchase must be important, such as involvement of a lot of money or psychological cost and be personally relevant to the consumer, the consumer has freedom in selecting among the alternatives, and finally, the decision involvement must be irreversible.[40]
A study performed by Lindsay Mallikin shows that when consumers experience an unexpected price encounter, they adopt three methods to reduce dissonance:[41] Consumers may employ a strategy of constant information, they may have a change in attitude, or they may engage in trivialization. Consumers employ the strategy of constant information by engaging in bias and searching for information that supports their prior beliefs. Consumers might search for information about other retailers and substitute products consistent with their belief states. Alternatively, consumers may show change in attitude such as reevaluating price in relation to external reference prices or associating high or low prices with quality. Lastly, trivialization may occur and the importance of the elements of the dissonant relationship is reduced; consumers tend to trivialize importance of money, and thus of shopping around, saving, and receiving a better deal.
Cognitive dissonance is also useful to explain and manage post-purchase concerns. A consumer who feels an alternate purchase would have been better will likely not buy the product again. To counter this, marketers have to convince buyers constantly that the product satisfies their need and thereby helps reduce their cognitive dissonance, ensuring repurchase of the same brand in the future. An example of post-purchase dissonance resolution used in a client relation is a salesperson congratulating his buyer on "having made the right choice".
At times cognitive dissonance is induced, rather than resolved, to market products. The Hallmark Cards tag line "When you care enough to send the very best" is an example of a marketing strategy that creates guilt in the buyer if he or she goes for a less expensive card. Such aggressive marketing ensures that the recipient also is aware that the product has a premium price. This encourages the consumer to buy the expensive cards on special occasions.
Social engineering
Social engineering as applied to security is the exploitation of various social and psychological weaknesses in individuals and business structures, sometimes for penetration testing but more often for nefarious purposes, such as espionage against businesses, agencies, and individuals, typically toward the end of obtaining some illegal gain, either of useful but restricted or private information or for monetary gain through such methods as phishing to obtain banking account access, or for purposes of identity theft, blackmail, and so forth. Exploitation of weaknesses caused by inducing cognitive dissonance in targets is one of the techniques used by perpetrators.
Challenges and alternative theories

While cognitive dissonance theory has been utilized in experiments and is generally (although not entirely) accepted by those in the psychology field, there are alternative theories that account for human attitudes and behaviors.
Self-perception theory (Bem)
Daryl Bem was an early critic of cognitive dissonance theory. He proposed self-perception theory as a more parsimonious alternative explanation of the experimental results. According to Bem, people do not think much about their attitudes, let alone whether they are in conflict. Bem's self-perception theory functions under the notion that people develop attitudes by observing their own behavior and concluding what attitudes caused it. This is particularly true when internal cues are weak or ambiguous. Individuals are in the same position as an observer—meaning they must rely on external cues to infer their own inner state. Self-perception theory suggests people adopt attitudes without accessing internal cognition and mood states.[42]
Bem interpreted people in the Festinger and Carlsmith study or the induced-compliance paradigm as inferring their attitudes from their behavior. Thus, when asked "Did you find the task interesting?" they decided that they must have found it interesting because that is what they told someone. Bem suggested that people who were paid $20 had a salient, external incentive for their behavior and were likely to perceive the money as their reason for saying the task was interesting, rather than concluding that they actually found it interesting.[43][44]
In many experimental situations, Bem's theory and Festinger's dissonance theory make identical predictions, but only dissonance theory predicts the presence of unpleasant tension or arousal. Lab experiments have verified the presence of arousal in dissonance situations.[45][46] This provides support for cognitive dissonance theory and makes it unlikely that self-perception by itself can account for all the laboratory findings.
In 1969, Elliot Aronson reformulated the theory by linking it to the self-concept, clarifying that cognitive dissonance arises from conflicts between cognitions when those conflicts threaten a person's normally positive self-image. Thus, Aronson reinterpreted the findings of the original Festinger and Carlsmith study using the induced-compliance paradigm, stating that the dissonance was between the cognition, "I am an honest person" and the cognition, "I lied to someone about finding the task interesting."[47] Other psychologists have argued that maintaining cognitive consistency is a way to protect public self-image, rather than private self-concept.[48] However, a recent result[49] seems to rule out such an explanation by showing revaluation of items following a choice even when people have forgotten their choices.
Balance theory ("P-O-X" Theory) (Heider)
Fritz Heider proposed a motivational theory of attitude change that functions on the idea that humans are driven to establish and maintain psychological balance. This drive is known as the consistency motive—the urge to maintain one's values and beliefs over time. According to balance theory there are three things interacting: (1) you (P), (2) another person (O), and (3) an element (X). These are each positioned at one point of a triangle and share two relations:[42]
- Unit relations – things and people that belong together based on similarity, proximity, fate, etc.
- Sentiment relations – evaluations of people and things (liking, disliking)
As individuals, we seek a balanced state with harmonious relations between the three positions (3 positive or 2 negative, 1 positive):
P = you O = John X = John's dog
- "I don't like John"
- "John has a dog"
- "I don't like the dog either"
We also avoid unbalanced states (3 negatives or 2 positive, 1 negative)
P = you O = your child X = picture your child drew
- "I love my child"
- "She drew me this picture"
- "I love this picture"
Cost-benefit analysis (Dupuit)
Jules Dupuit claims behaviors and cognitions can be understood from an economic standpoint such that individuals engage in the systematic processing and comparison of the costs and benefits of a decision. This process helps justify and assess the feasibility of a decision and provides a basis for comparison (determining if the benefits outweigh the costs and to what extent). Although this analysis works well in economic situations, humans are inefficient when it comes to comparing costs and benefits.[50]
Self-discrepancy theory (Higgins)
E. Tory Higgins proposed that individuals have three selves that they compare themselves to:
- Actual self – representation of the attributes you believe you actually possess (basic self-concept)
- Ideal self – attributes you would ideally like to possess (hopes, aspiration, what motivates you to change/improve)
- Ought self – attributes you believe you should possess (duties, obligations, responsibilities)
When these self-guides are contradictory they result in emotional discomfort. Individuals are motivated to reduce self-discrepancy (the gap between two self-guides).[51]
Averse consequences vs. inconsistency (Cooper & Fazio)
During the 1980s, Cooper and Fazio argued that dissonance was caused by aversive consequences, rather than inconsistency. According to this interpretation, the belief that lying is wrong and hurtful, not the inconsistency between cognitions, is what makes people feel bad.[52] Subsequent research, however, found that people experience dissonance even when they feel they have not done anything wrong. For example, Harmon-Jones and colleagues showed that people experience dissonance even when the consequences of their statements are beneficial—as when they convince sexually active students to use condoms, when they, themselves are not using condoms.[53]
Free-choice paradigm criticism (Chen et al.)
Chen and colleagues have criticized the free-choice paradigm and have suggested that the "Rank, choice, rank" method of studying dissonance is invalid.[54] They argue that research design relies on the assumption that if the subject rates options differently in the second survey, then the subject's attitudes towards the options have therefore changed. They show that there are other reasons one might get different rankings in the second survey — perhaps the subjects were largely indifferent between choices. Although some follow-up studies have found supportive evidence for Chen's concerns,[55] other studies that have controlled for Chen's concerns have not, instead suggesting that the mere act of making a choice can indeed change preferences.[15][56][57] Nevertheless, this issue remains under active investigation.[58]
Action and/or motivation based model (Harmon-Jones)
This model states that inconsistencies in cognitions make people distressed since inconsistencies can interfere with actions. A number of cognitive strategies are then implemented. One may "freely" choose to act in behaviors that are not consistent with a current attitude or belief, but later try to alter their belief to match a current behavior. Dissonance occurs because cognitions do not match actions. If one changes one's attitude after dissonance occurs, one then has an obligation to commit to the behavior. When dissonance happens, the person has a negative affective state that makes them reconsider their behavior to solve the inconsistency that is the problem (Beckmann and Kuhl, 1984, Harmon-Jones, 1999, Harmon-Jones, 2000a, Jones and Gerard, 1967, McGregor et al., 1999 and Newby-Clark et al., 2002).) As a person works towards a commitment, then the motivational process is activated in the left frontal cortex.[59][60][61][62][63]
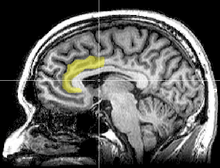
Neuroscience findings

Using functional magnetic resonance imaging (fMRI), Van Veen and colleagues investigated the neural basis of cognitive dissonance in a modified version of the classic induced compliance paradigm. While in the scanner, participants "argued" that the uncomfortable MRI environment was nevertheless a pleasant experience. The researchers replicated the basic induced compliance findings; participants in an experimental group enjoyed the scanner more than participants in a control group who simply were paid to make their argument.[64]
Importantly, responding counter-attitudinally activated the dorsal anterior cingulate cortex and the anterior insular cortex; furthermore, the degree to which these regions were activated predicted individual participants' degree of attitude change. Van Veen and colleagues argue that these findings support the original dissonance theory by Festinger, and support the "conflict theory" of anterior cingulate functioning.[64]
Using the free choice paradigm, Sharot and colleagues have shown that after making a choice, activity in the striatum changes to reflect the new evaluation of the choice object, increasing if the object was chosen and decreasing if it was rejected.[65] Follow-up studies have largely confirmed these results.[56][66][67]
Subsequent fMRI studies, also using the free choice paradigm, have examined the decision-making process in the brain. A 2010 study showed that during decision-making processes where the participant is trying to reduce dissonance, activity increased in the right-inferior frontal gyrus, medial fronto-parietal region and ventral striatum, whereas activity decreased in the anterior insula.[67] Researchers concluded that rationalization activity may take place quickly (within seconds) without conscious deliberation. In addition, the researchers stated that the brain may engage emotional responses in the decision-making process.[67]
Cognitive dissonance has been associated with left frontal activity in the cortex (Harmon-Jones, 1999 and Harmon-Jones and Harmon-Jones, 2002). In addition, the left frontal cortex has been associated with anger, with anger supporting a motivational purpose behind its anger showing the left frontal activity being active. Together, cognitive dissonance and anger are supported with the motivational directional model. Approach motivation is associated with the left frontal cortex when it can be detected that a person may able to take control of a situation that may have made them angry. Conversely, if a person does not have control of changing the situation, then there is no motivation involved and other emotions may arise.[60][68][69]
The anterior cingulate cortex activity increases when errors occur and are being monitored as well as having behavioral conflicts with the self-concept as a form of higher-level thinking (Amodio et al., 2004). A study was done to test the prediction that the left frontal cortex would have increased activity. University students had to write a paper depending on if they were assigned to a high-choice or low-choice condition. The low-choice condition required student to write about supporting a 10% increase in tuition at their university. The point of this condition was to see how significant the counterchoice may affect a person's ability to cope. The high-choice condition asked students to write in favor of tuition increase as if it was their choice and that it was completely voluntary. EEG was used to analyze students before writing the essay as dissonance is at its highest during this time (Beauvois and Joule, 1996). High-choice condition participants showed a higher level of the left frontal cortex than the low-choice participants. Results have shown that the initial experience of dissonance can be apparent in the anterior cingulate cortex, then the left frontal cortex is activated, which also activates the approach motivational system to reduce anger.[70][71]
There may be evolutionary forces behind cognitive dissonance reduction. Researchers in a 2007 study examined how preschool children and capuchin monkeys reacted when offered the choice between two similar options. The researchers had the two subject groups choose between two different kinds of stickers and candies. After choosing, the two groups were offered a new choice between the item not chosen and a similarly attractive option as the first. In line with cognitive dissonance theory, the children and the monkeys chose the "novel" option over their originally unchosen option, even though all had similar values. The researchers concluded that there were possible development and evolutionary forces behind cognitive dissonance reduction.[72]
Modeling in neural networks
Neural network models of cognition have provided the necessary framework to integrate the empirical research done on cognitive dissonance and attitudes into one model of explanation of attitude formation and change.[73]
Various neural network models have been developed to predict how cognitive dissonance influence an individual's attitude and behavior. These include:
- Parallel constraint satisfaction processes[73]
- The meta-cognitive model (MCM) of attitudes[74]
- Adaptive connectionist model of cognitive dissonance[75]
- Attitudes as constraint satisfaction model[76]
See also
- Affective forecasting
- Ambivalence, particularly the reference to The agony of ambivalence and ways to resolve it,[77] Love–hate relationship, Psychoanalytic concepts of love and hate, and Splitting (psychology)
- Antiprocess
- Belief perseverance
- Buyer's remorse is a form of post-decision dissonance.
- Carnism
- Choice-supportive bias is a memory bias that makes past choices seem better than they actually were.
- Cognitive bias
- Cognitive distortion
- Cognitive inertia
- Compartmentalization (psychology)
- Cultural dissonance is dissonance on a larger scale.
- Double bind is a communicative situation where a person receives different or contradictory messages.
- Double consciousness is conceiving of one's self both as itself and as society's image of it.
- Doublethink is a concept present in George Orwell's Nineteen Eighty-Four that allows a person to hold two contradictory ideas simultaneously and accept both of them as correct.
- Effort justification is the tendency to attribute a greater (than objective) value to an outcome that demands a great effort to resolve a dissonance.
- Emotional conflict is the presence in the subconscious of different and opposing emotions concerning the same situation.
- The Great Disappointment of 1844 is an example of cognitive dissonance in a religious context.
- Illusion-of-truth effect states that a person is more likely to believe a familiar statement than an unfamiliar one.
- Information overload
- Liminality
- Limit situation
- Metanoia (psychology)
- Narcissistic rage and narcissistic injury
- Rationalization (making excuses)
- Shame
- Speciesism
- Techniques of neutralization
- Terror management theory
- True-believer syndrome demonstrates carrying a post-cognitive-dissonance belief regardless of new information.
- Wishful thinking
- Memory conformity
References
- 1 2 3 4 5 Festinger, L. (1957). A Theory of Cognitive Dissonance. California: Stanford University Press.
- ↑ Festinger, L. (1962). "Cognitive dissonance". Scientific American. 207 (4): 93–107. doi:10.1038/scientificamerican1062-93.
- ↑ Nelson, Todd (2006). The Psychology of Prejudice (second ed.). Pearson. p. 19.
- ↑ Harmon-Jones, Eddie, A Cognitive Dissonance Theory Perspective on Persuasion, in The Persuasion Handbook: Developments in Theory and Practice, James Price Dillard, Michael Pfau, eds. 2002. Thousand Oaks, CA: Sage Publications, p.101.
- ↑ Kracht, C., & Woodard, D., Five Years, Vol. 1 (Hannover: Wehrhahn Verlag, 2011), p. 123.
- ↑ Festinger, L., Riecken, H.W., & Schachter, S. (1956). When prophecy fails. Minneapolis: University of Minnesota Press.
- ↑ Berger, David (2008). The Rebbe, the Messiah, and the Scandal of Orthodox Indifference. Portland: Litman Library of Jewish Civilization.
- ↑ Komarnitsky, Kris (2014). "Cognitive Dissonance and the Resurrection of Jesus". The Fourth R magazine, Volume 27, Issue 5 (September/October 2014).
- 1 2 Federal Reserve Bank of Minneapolis Community Development Project. "Consumer Price Index (estimate) 1800–". Federal Reserve Bank of Minneapolis. Retrieved October 21, 2016.
- ↑ Festinger, L.; Carlsmith, J.M. (1959). "Cognitive consequences of forced compliance". Journal of Abnormal and Social Psychology. 58 (2): 203–210. doi:10.1037/h0041593.
- 1 2 3 Aronson, E.; Carlsmith, J.M. (1963). "Effect of the severity of threat on the devaluation of forbidden behavior". Journal of Abnormal and Social Psychology. 66 (6): 584–588. doi:10.1037/h0039901.
- 1 2 Masataka, Nobuo; Perlovsky, Leonid (2012). "The efficacy of musical emotions provoked by Mozart's music for the reconciliation of cognitive dissonance" (PDF). Scientific Reports. 2. doi:10.1038/srep00694.

- ↑ Lee, Spike W. S.; Schwarz, Norbert (May 2010). "Washing Away Postdecisional Dissonance". Science. 328 (5979): 709. doi:10.1126/science.1186799. PMID 20448177.
- ↑ Brehm, J. (1956). "Post-decision changes in desirability of alternatives". Journal of Abnormal and Social Psychology. 52 (3): 384–389. doi:10.1037/h0041006.
- 1 2 Egan, L.C.; Bloom, P.; Santos, L.R. (2010). "Choice-induced preferences in the absence of choice: Evidence from a blind two choice paradigm with young children and capuchin monkeys". Journal of Experimental Social Psychology. 46 (1): 204–207. doi:10.1016/j.jesp.2009.08.014.
- ↑ Gächter, Simon; Nosenzo, Daniele; Sefton, Martin (2013). "Peer Effects in Pro-Social Behavior: Social Norms or Social Preferences?". Journal of the European Economic Association. 11 (3): 548–573. doi:10.1111/jeea.12015. SSRN 2010940
.
- ↑ Aronson, E.; Mills, J. (1956). "The effect of severity of initiation on liking for a group" (PDF). Journal of Abnormal and Social Psychology. 59 (2): 177–181. doi:10.1037/h0047195.
- ↑ Lee, S.W.S.; Schwartz, N. (2010). "Washing away postdecisional dissonance". Science. 328 (5979): 709. doi:10.1126/science.1186799. PMID 20448177.
- ↑ Zhong, C.B.; Liljenquist, K. (2006). "Washing away your sins: Threatened morality and physical cleansing". Science. 313 (5792): 1451–1452. doi:10.1126/science.1130726. PMID 16960010.
- ↑ Elster, Jon. Sour Grapes: Studies in the Subversion of Rationality. Cambridge 1983, p. 123ff.
- ↑ Prasad, J. (1950). "A comparative study of rumours and reports in earthquakes". British Journal of Psychology. 41 (3–4): 129–144. doi:10.1111/j.2044-8295.1950.tb00271.x.
- ↑ Knox, Robert E.; Inkster, James A. (1968). "Postdecision Dissonance at Post Time" (PDF). Journal of Personality and Social Psychology. 8 (4, Pt.1): 319–323. doi:10.1037/h0025528.
- ↑ Mills, J. (1958). "Changes in moral attitudes following temptation". Journal of Personality. 26 (4): 517–531. doi:10.1111/j.1467-6494.1958.tb02349.x.
- 1 2 Hart, W.; Albarracín, D.; Eagly, A. H.; Brechan, I.; Lindberg, M. J.; Merrill, L. (2009). "Feeling validated versus being correct: a meta-analysis of selective exposure to information". Psychological Bulletin. 135 (4): 555–588. doi:10.1037/a0015701. PMC 4797953
. PMID 19586162. - ↑ Aronson, E. (1995). The Social Animal. New York: W.H. Freeman and Co.
- ↑ Lepper, M. R.; Greene, D. (1975). "Turning play into work: Effects of adult surveillance and extrinsic rewards on children's intrinsic motivation" (PDF). Journal of Personality and Social Psychology. 31 (3): 479–486. doi:10.1037/h0076484.
- 1 2 Guzzetti, B.J.; Snyder, T.E.; Glass, G.V.; Gamas, W.S. (1993). "Promoting conceptual change in science: A comparative meta-analysis of instructional interventions from reading education and science education". Reading Research Quarterly. 28: 116–159. doi:10.2307/747886. JSTOR 747886.
- ↑ Graesser, A. C.; Baggett, W.; Williams, K. (1996). "Question-driven explanatory reasoning". Applied Cognitive Psychology. 10 (7): S17–S32. doi:10.1002/(SICI)1099-0720(199611)10:7<17::AID-ACP435>3.0.CO;2-7.
- ↑ Cooper, J. (2007). Cognitive dissonance: 50 years of a classic theory. London: Sage Publications.
- ↑ Cooper, J., & Axsom, D. (1982). Integration of clinical and social psychology. Oxford University Press.
- ↑ Mendonca, P. J.; Brehm, S. S. (1983). "Effects of choice on behavioral treatment of overweight children". Journal of Social and Clinical Psychology. 1 (4): 343–358. doi:10.1521/jscp.1983.1.4.343.
- ↑ Cooper, J. (1980). "Reducing fears and increasing attentiveness: The role of dissonance reduction". Journal of Experimental Social Psychology. 47 (3): 452–460. doi:10.1016/0022-1031(80)90064-5.
- ↑ Axsom, D.; Cooper, J. (1985). "Cognitive dissonance and psychotherapy: The role of effort justification in inducing weight loss". Journal of Experimental Social Psychology. 21 (2): 149–160. doi:10.1016/0022-1031(85)90012-5.
- ↑ Stone, J.; Aronson, E.; Crain, A. L.; Winslow, M. P.; Fried, C. B. (1994). "Inducing hypocrisy as a means for encouraging young adults to use condoms". Personality and Social Psychology Bulletin. 20 (1): 116–128. doi:10.1177/0146167294201012.
- ↑ Fried, C. B.; Aronson, E. (1995). "Hypocrisy, misattribution, and dissonance reduction". Personality and Social Psychology Bulletin. 21 (9): 925–933. doi:10.1177/0146167295219007.
- ↑ Son Hing, L. S.; Li, W.; Zanna, M. P. (2002). "Inducing hypocrisy to reduce prejudicial responses among aversive racists". Journal of Experimental Social Psychology. 38: 71–78. doi:10.1006/jesp.2001.1484.
- ↑ Fointiat, V. (2004). "I know what I have to do, but…" When hypocrisy leads to behavioral change". Social Behavior and Personality. 32 (8): 741–746. doi:10.2224/sbp.2004.32.8.741.
- ↑ Kataria, Mitesh; Regner, Tobias (2015). "Honestly, why are you donating money to charity? An experimental study about self-awareness in status-seeking behavior". Theory and Decision. 79 (3): 493–515. doi:10.1007/s11238-014-9469-5.
- ↑ Nyborg, K. (2011). "I Don't Want to Hear About it: Rational Ignorance among Duty-Oriented Consumers". Journal of Economic Behavior and Organization. 79 (3): 263–274. doi:10.1016/j.jebo.2011.02.004.
- ↑ Gbadamosi, Ayantunji (January 2009). "Cognitive dissonance: The implicit explication in low-income consumers' shopping behaviour for "low-involvement" grocery products". International Journal of Retail & Distribution Management. 37 (12): 1077–1095. doi:10.1108/09590550911005038.
- ↑ Mullikin, Lindsey J (2003). "Beyond reference pricing: Understanding consumers' encounters with unexpected prices". Journal of Products & Brand Management. 12 (3): 140–153. doi:10.1108/10610420310476906.
- 1 2 Heider, F. (1960). The gestalt theory of motivation. Nebraska symposium on motivation, 8, 145-172
- ↑ Bem, D.J. (1965). "An experimental analysis of self-persuasion". Journal of Experimental Social Psychology. 1 (3): 199–218. doi:10.1016/0022-1031(65)90026-0.
- ↑ Bem, D.J. (1967). "Self-perception: An alternative interpretation of cognitive dissonance phenomena" (PDF). Psychological Review. 74 (3): 183–200. doi:10.1037/h0024835. PMID 5342882.
- ↑ Zanna, M.; Cooper, J. (1974). "Dissonance and the pill: An attribution approach to studying the arousal properties of dissonance". Journal of Personality and Social Psychology. 29 (5): 703–709. doi:10.1037/h0036651. PMID 4833431.
- ↑ Kiesler, C.A.; Pallak, M.S. (1976). "Arousal properties of dissonance manipulations". Psychological Bulletin. 83 (6): 1014–1025. doi:10.1037/0033-2909.83.6.1014. PMID 996211.
- ↑ Aronson, Elliot (1969). "The Theory of Cognitive Dissonance: A Current Perspective". In Berkowitz, Leonard. Advances in Experimental Social Psychology. 4. Academic Press. pp. 1–34. doi:10.1016/S0065-2601(08)60075-1. ISBN 9780120152049.
- ↑ Tedeschi, J.T.; Schlenker, B.R.; Bonoma, T.V. (1971). "Cognitive dissonance: Private ratiocination or public spectacle?". American Psychologist. 26 (8): 685–695. doi:10.1037/h0032110.
- ↑ Coppin, G.; Delplanque, S.; Cayeux, I.; Porcherot, C.; Sander, D. (2010). "I'm no longer torn after choice: How explicit choices implicitly shape preferences of odors". Psychological Science. 21 (8): 489–493. doi:10.1177/0956797610364115. PMID 20424088.
- ↑ Dupuit, J. (1969). On the measurement of the utility of public works. Readings in Welfare
- ↑ Higgins, E. T. (1987). "Self-discrepancy: A theory relating self and affect" (PDF). Psychological Review. 94 (3): 319–340. doi:10.1037/0033-295X.94.3.319. PMID 3615707.
- ↑ Cooper, Joel; Fazio, Russell H. (1984). "A New Look at Dissonance Theory". In Berkowitz, Leonard. Advances in Experimental Social Psychology. 17. Academic Press. pp. 229–266. doi:10.1016/S0065-2601(08)60121-5. ISBN 9780120152179.
- ↑ Harmon-Jones, E.; Brehm, J.W.; Greenberg, J.; Simon, L.; Nelson, D.E. (1996). "Evidence that the production of aversive consequences is not necessary to create cognitive dissonance" (PDF). Journal of Personality and Social Psychology. 70 (1): 5–16. doi:10.1037/0022-3514.70.1.5.
- ↑ Chen, M.K.; Risen, J.L. (2010). "How choice affects and reflects preferences: Revisiting the free-choice paradigm". Journal of Personality and Social Psychology. 99 (4): 573–594. doi:10.1037/a0020217. PMID 20658837.
- ↑ Holden, Steinar (2013). "Do Choices Affect Preferences? Some Doubts and New Evidence" (PDF). Journal of Applied Social Psychology. 43: 83–94. doi:10.1111/j.1559-1816.2012.00983.x.
- 1 2 Izuma, K.; Matsumoto, M.; Murayama, K.; Samejima, K.; Sadato, N.; Matsumoto, K. (2010). "Neural correlates of cognitive dissonance and choice-induced preference change". Proceedings of the National Academy of Sciences USA. 107 (51): 22014–22019. doi:10.1073/pnas.1011879108.
- ↑ Sharot, T.; Velasquez, C. M.; Dolan, R. J. (2010). "Do decisions shape preference? Evidence from blind choice". Psychological Science. 21 (9): 1231–1235. doi:10.1177/0956797610379235. PMC 3196841
. PMID 20679522. - ↑ Risen, J.L.; Chen, M.K. (2010). "How to study choice-induced attitude change: Strategies for fixing the free-choice paradigm" (PDF). Social and Personality Psychology Compass. 4 (12): 1151–1164. doi:10.1111/j.1751-9004.2010.00323.x.
- ↑ Beckmann, J; Kuhl, J (1984). "Altering information to gain action control: Functional aspects of human information processing in decision making". Journal of Research in Personality. 18 (2): 224–237. doi:10.1016/0092-6566(84)90031-x.
- 1 2 Harmon-Jones, E., 1999. Toward an understanding of the motivation underlying dissonance processes: is feeling personally responsible for the production of aversive consequences necessary to cause dissonance effects? In: Harmon-Jones, E., Mills, J., Cognitive Dissonance: Perspectives on a Pivotal Theory in Social Psychology. American Psychological Association, Washington, DC, pp. 71–99.
- ↑ Harmon-Jones, E (2000a). "Cognitive dissonance and experienced negative affect: Evidence that dissonance increases experienced negative affect even in the absence of aversive consequences". Personality and Social Psychology Bulletin. 26 (12): 1490–1501. doi:10.1177/01461672002612004.
- ↑ Jones, E. E., Gerard, H. B., 1967. Foundations of social psychology. New York: Wiley.
- ↑ McGregor, I., Newby-Clark, I. R., Zanna, M. P., 1999. Epistemic discomfort is moderated by simultaneous accessibility of inconsistent elements. In: E. Harmon-Jones, J. Mills (Eds.), Cognitive dissonance: Progress on a pivotal theory in social psychology, Washington, DC: American Psychological Association, pp. 325–353.
- 1 2 Van Veen, V.; Krug, M.K.; Schooler, J.W.; Carter, C.S. (2009). "Neural activity predicts attitude change in cognitive dissonance" (PDF). Nature Neuroscience. 12 (11): 1469–1474. doi:10.1038/nn.2413. PMID 19759538.
- ↑ Sharot, T.; De Martino, B.; Dolan, R.J. (2009). "How choice reveals and shapes expected hedonic outcome" (PDF). Journal of Neuroscience. 29 (12): 3760–3765. doi:10.1523/jneurosci.4972-08.2009. PMC 2675705
. PMID 19321772. - ↑ Qin, J.; Kimel, S.; Kitayama, S.; Wang, X.; Yang, X.; Han, S. (2011). "How choice modifies preference: Neural correlates of choice justification". NeuroImage. 55 (1): 240–246. doi:10.1016/j.neuroimage.2010.11.076. PMID 21130888.
- 1 2 3 Jarcho, Johanna M.; Berkman, Elliot T.; Lieberman, Matthew D. (2010). "The neural basis of rationalization: cognitive dissonance reduction during decision-making". Social Cognitive Affective Neuroscience. 6 (4): 460–467. doi:10.1093/scan/nsq054. PMC 3150852
. PMID 20621961. - ↑ Harmon-Jones, E (2003). "Anger and the behavioural approach system". Personality and Individual Differences. 35 (5): 995–1005. doi:10.1016/s0191-8869(02)00313-6.
- ↑ Harmon-Jones, E (2004). "Contributions From Research On Anger And Cognitive Dissonance To Understanding The Motivational Functions Of Asymmetrical Frontal Brain Activity". Biological Psychology. 67 (1–2): 51–76. doi:10.1016/j.biopsycho.2004.03.003. PMID 15130525.
- ↑ Amodio, D.M; Harmon-Jones, E; Devine, P.G; Curtin, J.J; Hartley, S (2004). "A Covert Neural signals for the control of unintentional race bias". Psychological Science. 15 (2): 88–93. doi:10.1111/j.0963-7214.2004.01502003.x. PMID 14738514.
- ↑ Beauvois, J. L., Joule, R. V., 1996. A radical dissonance theory. London: Taylor and Francis.
- ↑ Egan, L.C.; Santos, L.R.; Bloom, P. (2007). "The origins of cognitive dissonance: Evidence from children and monkeys" (PDF). Psychological Science. 18 (11): 978–983. doi:10.1111/j.1467-9280.2007.02012.x. PMID 17958712.
- 1 2 Read, S.J.; Vanman, E.J.; Miller, L.C. (1997). "Connectionism, parallel constraint satisfaction processes, and Gestalt principles: (Re)Introducing cognitive dynamics to social psychology". Personality and Social Psychology Review. 1 (1): 26–53. doi:10.1207/s15327957pspr0101_3. PMID 15647127.
- ↑ Petty, R.E.; Briñol, P.; DeMarree, K.G. (2007). "The Meta-Cognitive Model (MCM) of attitudes: Implications for attitude measurement, change, and strength". Social Cognition. 25 (5): 657–686. doi:10.1521/soco.2007.25.5.657.
- ↑ Van Overwalle, F.; Jordens, K. (2002). "An adaptive connectionist model of cognitive dissonance". Personality and Social Psychology Review. 6 (3): 204–231. doi:10.1207/S15327957PSPR0603_6.
- ↑ Monroe, B.M.; Read, S.J. (2008). "A general connectionist model of attitude structure and change: The ACS (Attitudes as Constraint Satisfaction) Model". Psychological Review. 115 (3): 733–759. doi:10.1037/0033-295X.115.3.733. PMID 18729597.
- ↑ Van Harreveld, F.; der Pligt, J.; de Liver, Y. (2009). "The agony of ambivalence and ways to resolve it: Introducing the MAID model". Personality and Social Psychology Review. 13 (1): 45–61. doi:10.1177/1088868308324518. PMID 19144904.
Further reading
- Cooper, J (2007), Cognitive dissonance: Fifty years of a classic theory, London: Sage publications, ISBN 978-1-4129-2972-1, retrieved 6 March 2013
- Gawronski, B., & Strack, F. (Eds.). (2012). Cognitive consistency: A fundamental principle in social cognition. New York: Guilford Press.
- Harmon-Jones, E., & J. Mills. (Eds.) (1999). Cognitive Dissonance: Progress on a Pivotal Theory in Social Psychology. Washington, DC: American Psychological Association.
- Metin, I.; Metin Camgöz, S. (2011). "The Advances in the History of Cognitive Dissonance Theory" (PDF). International Journal of Humanities and Social Science. 1 (6).
- Tavris, C.; Aronson, E. (2007). Mistakes were made (but not by me): Why we justify foolish beliefs, bad decisions, and hurtful acts. Orlando, FL: Harcourt. ISBN 978-0-15-101098-1.
- McLeod, S. "Cognitive Dissonance". Retrieved 3 December 2013.
External links
- Cognitive dissonance entry in The Skeptic's Dictionary
- Festinger and Carlsmith's original paper
- Leon Festinger, An Introduction to the Theory of Cognitive Dissonance (1956)
- Videos
- TEDxTalk by Ash Donaldson on cognitive dissonance and how it affects decision-making on YouTube
- Song by Brad Wray "Cognitive Dissonance (Dissonant and Justified)" on YouTube
- Dummiez Movie: Cognitive Dissonance Theory on YouTube