Gaucher's disease
| Gaucher's disease | |
|---|---|
|
Acid beta-glucosidase | |
| Classification and external resources | |
| Specialty | endocrinology |
| ICD-10 | E75.2 (ILDS E75.220) |
| ICD-9-CM | 272.7 |
| OMIM | 230800 230900 231000 |
| DiseasesDB | 5124 |
| MedlinePlus | 000564 |
| eMedicine | ped/837 derm/709 |
| Patient UK | Gaucher's disease |
| MeSH | D005776 |
| GeneReviews | |
| Orphanet | 355 |
Gaucher's disease or Gaucher disease (/ɡoʊˈʃeɪ/) (GD) is a genetic disorder in which glucocerebroside (a sphingolipid, also known as glucosylceramide) accumulates in cells and certain organs. The disorder is characterized by bruising, fatigue, anemia, low blood platelet count and enlargement of the liver and spleen, and is caused by a hereditary deficiency of the enzyme glucocerebrosidase (also known as glucosylceramidase), which acts on glucocerebroside. When the enzyme is defective, glucocerebroside accumulates, particularly in white blood cells and especially in macrophages (mononuclear leukocytes). Glucocerebroside can collect in the spleen, liver, kidneys, lungs, brain, and bone marrow.
Manifestations may include enlarged spleen and liver, liver malfunction, skeletal disorders or bone lesions that may be painful, severe neurological complications, swelling of lymph nodes and (occasionally) adjacent joints, distended abdomen, a brownish tint to the skin, anemia, low blood platelet count, and yellow fatty deposits on the white of the eye (sclera). Persons seriously affected may also be more susceptible to infection. Some forms of Gaucher's disease may be treated with enzyme replacement therapy.
The disease is caused by a recessive mutation in the GBA gene located on chromosome 1 and affects both males and females. About one in 100 people in the United States are carriers of the most common type of Gaucher disease. The carrier rate among Ashkenazi Jews is 8.9% while the birth incidence is one in 450.[1]
Gaucher's disease is the most common of the lysosomal storage diseases.[2] It is a form of sphingolipidosis (a subgroup of lysosomal storage diseases), as it involves dysfunctional metabolism of sphingolipids.
The disease is named after the French physician Philippe Gaucher, who originally described it in 1882.[3]
Classification
Gaucher's disease (GD) has three common clinical subtypes.[4][5]
- GD type I (non-neuropathic) is the most common form of the disease, occurring in about one in 40,000 live births. It occurs most often among persons of Ashkenazi Jewish heritage. Symptoms may begin early in life or in adulthood and include enlarged liver and grossly enlarged spleen (together hepatosplenomegaly); the spleen can rupture and cause additional complications. Skeletal weakness and bone disease may be extensive. Spleen enlargement and bone marrow replacement cause anemia, thrombocytopenia, and leukopenia. The brain is not affected pathologically, but lung and, rarely, kidney impairment may occur. Patients in this group usually bruise easily (due to low levels of platelets) and experience fatigue due to low numbers of red blood cells. Depending on disease onset and severity, type I patients may live well into adulthood. The range and severity of symptoms can vary dramatically between patients.
- GD type II (acute infantile neuropathic) typically begins within 6 months of birth and has an incidence rate around one 1 in 100,000 live births. Symptoms include an enlarged liver and spleen, extensive and progressive brain damage, eye movement disorders, spasticity, seizures, limb rigidity, and a poor ability to suck and swallow. Affected children usually die by age two.
- GD type III (chronic neuropathic) can begin at any time in childhood or even in adulthood, and occurs in about one in 100,000 live births. It is characterized by slowly progressive, but milder neurologic symptoms compared to the acute or type II version. Major symptoms include an enlarged spleen and/or liver, seizures, poor coordination, skeletal irregularities, eye movement disorders, blood disorders including anemia, and respiratory problems. Patients often live into their early teen years and adulthood.[6]
These subtypes have come under some criticism for not taking account of the full spectrum of observable symptoms (the phenotypes[7]). Also, compound heterozygous variations occur which considerably increase the complexity of predicting disease course.
Signs and symptoms
- Painless hepatomegaly and splenomegaly: the size of the spleen can be 1500-3000 ml, as opposed to the normal size of 50-200 ml. Splenomegaly may decrease the affected individual's capacity for eating by exerting pressure on the stomach. While painless, enlargement of spleen increases the risk of splenic rupture.
- Hypersplenism and pancytopenia, the rapid and premature destruction of blood cells, leads to anemia, neutropenia, leukopenia, and thrombocytopenia (with an increased risk of infection and bleeding).
- Cirrhosis of the liver is rare.
- Severe pain associated with joints and bones occurs, frequently presenting in hips and knees.
- Neurological symptoms occur only in some types of Gaucher's (see below):
- Type I: impaired olfaction and cognition
- Type II: serious convulsions, hypertonia, mental retardation, and apnea
- Type III: muscle twitches known as myoclonus, convulsions, dementia, and ocular muscle apraxia
- Parkinson's disease is recognised as being more common in Gaucher's disease patients and their heterozygous carrier relatives.[8]
- Osteoporosis: 75% of patients develop visible bony abnormalities due to the accumulated glucosylceramide. A deformity of the distal femur in the shape of an Erlenmeyer flask is commonly described (aseptic necrosis of the femur joint).
- Yellowish-brown skin pigmentation
Pathophysiology
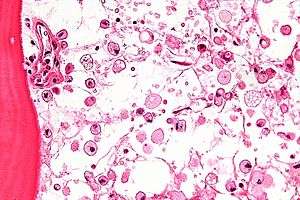
The disease is caused by a defect in housekeeping gene for lysosomal glucocerebrosidase (also known as beta-glucosidase, EC 3.2.1.45, PDB: 1OGS) on the first chromosome (1q22). The enzyme is a 55.6-kilodalton, 497-amino acid-long protein that catalyses the breakdown of glucosylceramide, a cell membrane constituent of red and white blood cells. The macrophages that clear these cells are unable to eliminate the waste product, which accumulates in fibrils, and turn into 'Gaucher cells', which appear on light microscopy to resemble crumpled-up paper.
In the brain (type II and III), glucosylceramidase accumulates due to the turnover of complex lipids during brain development and the formation of the myelin sheath of nerves.
Different mutations in the GBA (beta-glucosidase) gene determine the remaining activity of the enzyme, and, to a large extent, the phenotype.
Heterozygotes for particular acid beta-glucosidase mutations carry about a five-fold risk of developing Parkinson's disease, making this the most common known genetic risk factor for Parkinson's.[9][10]
Cancer risk may be increased, particularly myeloma.[11][12][13] This is thought to be due to accumulation of glucosylceramide and complex glycosphingolipids.[14]
Genetics
The three types of Gaucher's disease are autosomal recessive. Both parents must be carriers for a child to be affected. If both parents are carriers, the chance of the disease is one in four, or 25%, with each pregnancy for an affected child. Genetic counseling and genetic testing are recommended for families who may be carriers of mutations.
Each type has been linked to particular mutations. In all, about 80 known GBA gene mutations are grouped into three main types:[15]
- Type I (N370S homozygote), the most common, also called the "non-neuropathic" type occurs mainly in Ashkenazi Jews, at 100 times the occurrence in the general populace. The median age at diagnosis is 28 years of age,[16] and life expectancy is mildly decreased.[17] There are no neurological symptoms.
- Type II (one or two alleles L444P) is characterized by neurological problems in small children. The enzyme is hardly released into the lysosomes. Prognosis is poor: most die before the age of three.
- Type III (also one or two copies of L444P, possibly delayed by protective polymorphisms) occurs in Swedish patients from the Norrbotten region.[18] This group develops the disease somewhat later, but most die before their 30th birthday.
The Gaucher-causing mutations may have entered the Ashkenazi Jewish gene pool in the early Middle Ages (48-55 generations ago).[19]
Diagnosis

Gaucher disease is suggested based on the overall clinical picture. Initial laboratory testing may include enzyme testing. As a result, lower than 15% of mean normal activity is considered to be diagnostic.[20] Decreased enzyme levels will often be confirmed by genetic testing. Numerous different mutations occur; sequencing of the beta-glucosidase gene is sometimes necessary to confirm the diagnosis. Prenatal diagnosis is available, and is useful when a known genetic risk factor is present.
A diagnosis can also be implied by biochemical abnormalities such as high alkaline phosphatase, angiotensin-converting enzyme, and immunoglobulin levels, or by cell analysis showing "crinkled paper" cytoplasm and glycolipid-laden macrophages.
Some lysosomal enzymes are elevated, including tartrate-resistant acid phosphatase, hexosaminidase, and a human chitinase, chitotriosidase. This latter enzyme has proved to be very useful for monitoring Gaucher's disease activity in response to treatment, and may reflect the severity of the disease
Treatment
For those with type-I and most type-III, enzyme replacement treatment with intravenous recombinant glucocerebrosidase can decrease liver and spleen size, reduce skeletal abnormalities, and reverse other manifestations.[21][22] This treatment costs about US$200,000 annually for a single person and should be continued for life. The rarity of the disease means dose-finding studies have been difficult to conduct, so controversy remains over the optimal dose and dosing frequency.[16] Due to the low incidence, this has become an orphan drug in many countries, meaning a government recognizes and accommodates the financial constraints that limit research into drugs that address a small population.
The first drug for Gaucher's was alglucerase (Ceredase), which was a version of glucocerebrosidase that was harvested from human placental tissue and then modified with enzymes.[23] It was approved by the FDA in 1991[24] and has been withdrawn from the market[25][26] due to the approval of similar drugs made with recombinant DNA technology instead of being harvested from tissue; drugs made recombinantly are preferable, since there is no concern about diseases being transmitted from the tissue used in harvesting, there are fewer risks of variations in enzyme structure from batch to batch, and they are less expensive to manufacture.[23]
Available recombinant glucocerebrosidases are:[21]
- Imiglucerase (approved in 1995)[23]
- Velaglucerase (approved in 2010)[27]
- Taliglucerase alfa (Elelyso) (approved in 2012) [28]
- Eliglustat (Cerdelga) (approved in 2014) [29]
Miglustat is a small molecule, orally available drug that was first approved for Gaucher's Disease in Europe in 2002.[30] It works by preventing the formation of glucocerebroside, the substance that builds up and causes harm in Gaucher's. This approach is called substrate reduction therapy.[31]
Epidemiology
The National Gaucher Foundation (United States) states the incidence of Gaucher's disease is about one in 20,000 live births.[32] Around one in 100 people in the general US population is a carrier for type I Gaucher's disease, giving a prevalence of one in 40,000. [33]Among Ashkenazi Jews, the rate of carriers is considerably higher, at roughly one in 15.[34]
Type II Gaucher's disease shows no particular preference for any ethnic group.
Type III Gaucher's disease is especially common in the population of the northern Swedish region of Norrbotten, where the incidence of the disease is one in 50,000.[35]
History
The disease was first recognized by the French doctor Philippe Gaucher, who originally described it in 1882 and lent his name to the condition.[3] The biochemical basis for the disease was elucidated in 1965.[36] The first effective treatment for the disease, the drug alglucerase (Ceredase), was approved by the FDA in April 1991. An improved drug, imiglucerase (Cerezyme), was approved by the FDA in May 1994 and has replaced the use of Ceredase.
October is National Gaucher's Disease Awareness Month in the United States.
Gallery
-

Sphingolipidoses
See also
- Niemann–Pick disease
- Fabry disease
- Tay–Sachs disease
- Krabbe disease
- Metachromatic leukodystrophy
- Medical genetics of Ashkenazi Jews
- List of radiographic findings associated with cutaneous conditions
References
- ↑ Zimran A, Gelbart T, Westwood B, Grabowski GA, Beutler E (1991). "High frequency of the Gaucher disease mutation at nucleotide 1226 among Ashkenazi Jews". Am. J. Hum. Genet. 49 (4): 855–859. PMC 1683177
. PMID 1897529. - ↑ James, William D.; Berger, Timothy G.; et al. (2006). Andrews' Diseases of the Skin: clinical Dermatology. Saunders Elsevier. p. 536. ISBN 0-7216-2921-0.
- 1 2 Gaucher PCE (1882). De l'epithelioma primitif de la rate, hypertrophie idiopathique de la rate sans leucemie [academic thesis]. Paris, France.
- ↑ Nagral A (2014). "Gaucher disease". J Clin Exp Hepatol. 4 (1): 37–50. doi:10.1016/j.jceh.2014.02.005. PMC 4017182
. PMID 25755533. - ↑ Bennett LL, Mohan D (2013). "Gaucher disease and its treatment options". Ann Pharmacother. 47 (9): 1182–93. doi:10.1177/1060028013500469. PMID 24259734.
- ↑ Dreborg, Sten; Erikson, Anders; Hagberg, Bengt (29 February 1980). "Gaucher disease-norrbottnian type". European Journal of Pediatrics. 133 (2): 107–118. doi:10.1007/BF00441578. PMID 7363908.
- ↑ Archived September 24, 2006, at the Wayback Machine.
- ↑ McNeill A, Duran R, Hughes DA, et al. A clinical and family history study of Parkinson's disease in heterozygous glucocerebrosidase mutation carriers. J Neurol Neurosurg Psych 2012b; ;83(8):853-4. http://jnnp.bmj.com/content/83/8/853.long
- ↑ Jacquelyn K Beals (November 19, 2008). "ASHG 2008: Gaucher Disease Mutation Carriers at Higher Risk for Parkinson's Disease". Medscape Medical News.
- ↑ Aharon-Peretz J, Rosenbaum H, Gershoni-Baruch R (2004). "Mutations in the glucocerebrosidase gene and Parkinson's disease in Ashkenazi Jews". N. Engl. J. Med. 351 (19): 1972–7. doi:10.1056/NEJMoa033277. PMID 15525722.
- ↑ Arends M, van Dussen L, Biegstraaten M, Hollak CE (2013). "Malignancies and monoclonal gammopathy in Gaucher disease; a systematic review of the literature". Br. J. Haematol. 161 (6): 832–42. doi:10.1111/bjh.12335. PMID 23594419.
- ↑ Thomas AS, Mehta A, Hughes DA (2014). "Gaucher disease: haematological presentations and complications". Br. J. Haematol. 165 (4): 427–40. doi:10.1111/bjh.12804. PMID 24588457.
- ↑ Ayto R, Hughes DA (2013). "Gaucher disease and myeloma". Crit Rev Oncog. 18 (3): 247–68. doi:10.1615/critrevoncog.2013006061. PMID 23510067.
- ↑ Barth BM, Shanmugavelandy SS, Tacelosky DM, Kester M, Morad SA, Cabot MC (2013). "Gaucher's disease and cancer: a sphingolipid perspective". Crit Rev Oncog. 18 (3): 221–34. doi:10.1615/critrevoncog.2013005814. PMC 3604879
. PMID 23510065. - ↑ Online Mendelian Inheritance in Man (OMIM) 606463
- 1 2 Grabowski GA (2008). "Phenotype, diagnosis, and treatment of Gaucher's disease". Lancet. 372 (9645): 1263–1271. doi:10.1016/S0140-6736(08)61522-6. PMID 19094956.
- ↑ Weinreb NJ, Deegan P, Kacena KA, et al. (December 2008). "Life expectancy in Gaucher disease type 1". Am. J. Hematol. 83 (12): 896–900. doi:10.1002/ajh.21305. PMC 3743399
. PMID 18980271. - ↑ Dahl, N; Lagerström, M; Erikson, A; Pettersson, U (August 1990). "Gaucher disease type III (Norrbottnian type) is caused by a single mutation in exon 10 of the glucocerebrosidase gene". American Journal of Human Genetics. 47 (2): 275–8. PMC 1683716
. PMID 2378352. - ↑ Diaz GA, Gelb BD, Risch N, et al. (2000). "Gaucher disease: the origins of the Ashkenazi Jewish N370S and 84GG acid beta-glucosidase mutations". Am. J. Hum. Genet. 66 (6): 1821–32. doi:10.1086/302946. PMC 1378046
. PMID 10777718. - ↑ "Gaucher Disease". www.symptoma.com. Retrieved 2015-12-07.
- 1 2 Grabowski GA (2012). "Gaucher disease and other storage disorders". Hematology Am Soc Hematol Educ Program. 2012: 13–8. doi:10.1182/asheducation-2012.1.13. PMID 23233555.
- ↑ Shemesh E, Deroma L, Bembi B, Deegan P, Hollak C, Weinreb NJ, Cox TM (2015). "Enzyme replacement and substrate reduction therapy for Gaucher disease". Cochrane Database Syst Rev. 3: CD010324. doi:10.1002/14651858.CD010324.pub2. PMID 25812601.
- 1 2 3 Deegan PB, Cox TM (2012). "Imiglucerase in the treatment of Gaucher disease: a history and perspective". Drug Des Devel Ther. 6: 81–106. doi:10.2147/DDDT.S14395. PMC 3340106
. PMID 22563238. - ↑ World Health Organization. Regulatory Matters WHO Drug Information 5:3 1991. p 123
- ↑ Aetna. Last reviewed 8 August 2014 Clinical Policy Bulletin Number: 0442: Enzyme-replacement Therapy for Lysosomal Storage Disorders
- ↑ FDA Prescription and Over-the-Counter Drug Product List. 32ND Edition Cumulative Supplement Number 3: March 2012. Additions/Deletions for Prescription Drug Product List
- ↑ "Shire Announces FDA Approval Of VPRIV(TM) (velaglucerase Alfa For Injection) For The Treatment Of Type I Gaucher Disease". Medicalnewstoday.com. Retrieved 2012-08-13.
- ↑ Yukhananov, Anna (1 May 2012). "U.S. FDA approves Pfizer/Protalix drug for Gaucher". Chicago Tribune. Reuters. Retrieved 2 May 2012.
- ↑ "CenterWatch:Cerdelga (eliglustat)".
- ↑ European Medicines Agency. Human Medicines Database. Zavesca (miglustat) Page Accessed 1 September 2014.
- ↑ European Medicines Agency 1 April 2003 Scientific discussion related to approval of Zavesca.
- ↑ Gaucher Disease at National Gaucher Foundation. Retrieved June 2012
- ↑ "Gaucher Disease Genetics | About Gaucher Disease | National Gaucher Foundation". National Gaucher Foundation. Retrieved 2016-11-16.
- ↑ "National Gaucher Foundation". Retrieved 2007-05-30.
- ↑ "Gaucher disease - Affected population". NORD - National Organization for Rare Disorders. Retrieved 21 September 2013.
- ↑ Brady RO, Kanfer JN, Shapiro D (1965). "Metabolism of glucosylceramidase. II. Evidence of an enzymatic deficiency in Gaucher's disease". Biochem. Biophys. Res. Commun. 18 (2): 221–5. doi:10.1016/0006-291X(65)90743-6. PMID 14282020.
External links
- gauchers at NINDS
- Gauchers News
- European Gaucher Alliance
- National Gaucher Foundation
- Children's Gaucher Research Fund
- Hide & Seek Foundation For Lysosomal Disease Research
