Ground-glass opacity

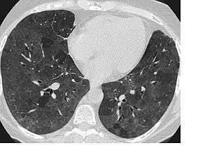
High-resolution CT: increase in density in areas of ground glass and air trapping in lower lobes in patients with hypersensitivity pneumonitis.
In radiology, ground glass opacity (GGO) is a nonspecific finding on computed tomography (CT) scans that indicates a partial filling of air spaces in the lungs by exudate or transudate, as well as interstitial thickening or partial collapse of lung alveoli. The similarity of shadows to a real ground glass is obvious.
Possible diseases
The differential diagnosis of the many causes of GGO includes pulmonary edema, infections (including cytomegalovirus and Pneumocystis carinii pneumonia), various noninfectious interstitial lung diseases (such as hypersensitivity pneumonitis, Hamman-Rich syndrome), diffuse alveolar hemorrhage, and cryptogenic organizing pneumonia.[1]
References
- ↑ Jannette Collins, MD; Eric J. Stern, MD (1998). "Ground glass opacity on CT scanning of the chest: What does it mean?" (PDF). Applied Radiology. Retrieved 2012-02-01.
External links
This article is issued from Wikipedia - version of the 5/26/2016. The text is available under the Creative Commons Attribution/Share Alike but additional terms may apply for the media files.