Acral nevus

Acral nevus

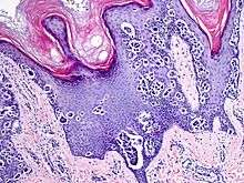
Melanocytic acral nevus with intraepidermal ascent cells (MANIAC)
An acral nevus (also known as a "Melanocytic nevus of acral skin",[1] and "Melanocytic nevus with intraepidermal ascent of cells"[1] (MANIACS)) is a cutaneous condition characterized by a skin lesion that is usually macular or only slightly elevated, and may display uniform brown or dark brown color, but often with linear striations.[1]:1726
See also
References
This article is issued from Wikipedia - version of the 5/21/2016. The text is available under the Creative Commons Attribution/Share Alike but additional terms may apply for the media files.