Rectus sheath hematoma
| Rectus sheath hematoma | |
|---|---|
![]() | |
| Rectus abdominis muscle | |
| Classification and external resources | |
| ICD-9-CM | 729.92 |
| eMedicine | emerg/943 |

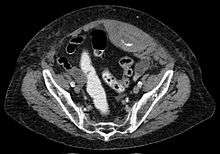
Rectus sheath hematoma seen on axial CT - with active bleeding under Marcoumar
A rectus sheath hematoma is an accumulation of blood in the sheath of the rectus abdominis muscle. It causes abdominal pain with or without a mass.
The hematoma may be caused by either rupture of the inferior epigastric vein and in rare case epigastric artery or by a muscular tear. Causes of this include anticoagulation, coughing, pregnancy, abdominal surgery and trauma. With an ageing population and the widespread use of anticoagulant medications, there is evidence that this historically benign condition is becoming more common and more serious.[1]
On abdominal examination, these patients may have a positive Carnett's sign.
Most hematomas resolve without treatment, but they may take several months to resolve.
References
- ↑ Fitzgerald, J. E. F.; Fitzgerald, L. A.; Anderson, F. E.; Acheson, A. G. (2009). "The changing nature of rectus sheath haematoma: Case series and literature review". International Journal of Surgery. 7 (2): 150–154. doi:10.1016/j.ijsu.2009.01.007. PMID 19261556.
This article is issued from Wikipedia - version of the 8/4/2016. The text is available under the Creative Commons Attribution/Share Alike but additional terms may apply for the media files.
