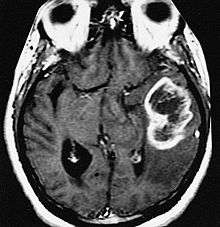
Ring-enhancing lesion

MRI showing a ring-enhancing lesion in the brain of a patient with glioblastoma multiforme
A ring-enhancing lesion is an abnormal radiologic sign on MRI or CT scans obtained using radiocontrast. On the image, there is an area of decreased density (see radiodensity) surrounded by a bright rim from concentration of the enhancing contrast dye. This can be a finding in numerous disease states. In the brain, it can occur with an early brain abscess as well as in Nocardia infections associated with lung cavitary lesions. In patients with HIV, the major differential is between CNS lymphoma and CNS toxoplasmosis, with CT imaging being the appropriate next step to differentiate between the two conditions.[1]
References
- ↑ Fauci A. Harrison's Principles of Internal Medicine, New York, McGraw Hill Medical, 2008
External links
This article is issued from Wikipedia - version of the 9/13/2016. The text is available under the Creative Commons Attribution/Share Alike but additional terms may apply for the media files.