Spondylocostal dysostosis
| Jarcho-Levin Syndrome | |
|---|---|
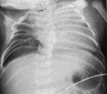
![]() | |
| Radiograph depicting typical skeletal features of Jarcho-Levin syndrome, subtype spondylothoracic dysplasia. Note fanlike configuration of the ribs, with extensive posterior fusion, along with multiple vertebral segmentation defects. | |
| Classification and external resources | |
| Specialty | medical genetics |
| ICD-10 | Q76 |
| ICD-9-CM | 756.9 |
| OMIM | 277300 |
| DiseasesDB | 32639 |
Spondylocostal dysostosis is a rare, heritable axial skeleton growth disorder. It is characterized by widespread and sometimes severe malformations of the vertebral column and ribs, shortened thorax, and moderate to severe scoliosis and kyphosis. Individuals with Jarcho-Levin typically appear to have a short trunk and neck, with arms appearing relatively long in comparison, and a slightly protuberant abdomen. Severely affected individuals may have life-threatening pulmonary complications due to deformities of the thorax. The syndrome was first described by Saul Jarcho and Paul M. Levin at Johns Hopkins University in 1938.[1]
Genetics
Types include:
| Type | OMIM | Gene | Locus |
|---|---|---|---|
| SCDO1 | 277300 | DLL3 | 19q13 |
| SCDO2 | 608681 | MESP2 | 15q26.1 |
| SCDO3 | 609813 | LFNG | 7p22 |
| SCDO4 | 122600 | GDF6 | 8q22.1 |
Terminology
"Type 1" is also known as "Jarcho-Levin syndrome'", or JLS.
While clinicians almost unanimously refer to the syndrome as "Jarcho-Levin", reports have variously labelled or referred to the condition as all of the following: Hereditary malformations of the vertebral bodies,[1] hereditary multiple hemivertebrae,[2] syndrome of bizarre vertebral anomalies,[3] spondylocostal dysplasia,[4] spondylothoracic dysplasia,[5] costovertebral anomalies,[6] costovertebral dysplasia,[7] spondylothoracic dysplasia,[8] occipito-facial-cervico-thoracic-abdomino-digital dysplasia[9] (deemed "ridiculously long" and "unwarranted" by OMIM), and spondylocostal dysostosis.[10]
A closely related condition termed "Costovertebral segmentation defect with mesomelia and peculiar facies", or Covesdem syndrome, was first described in 1978 in India.[11]
Epidemiology
Till date about 18 cases of Spondylocostal dysostosis have been reported in literature.[12]
| Sr. No. | Name of Author/s | Year | Number of cases reported | Brief description |
|---|---|---|---|---|
| 1 | Elier JL and Morton JM | 1970 | 1 | Diastematomyelia occurred in association Jarcho–Levin syndrome in an infant born to a woman who abused lysergic acid diethylamide during pregnancy |
| 2 | Reyes et al. | 1989 | 1 | Diastematomyelia (type I split cord malformation) as a component of Jarcho–Levin syndrome |
| 3 | Giacoia GP et al. | 1991 | 1 | Jarcho–Levin syndrome associated with spina bifida and diastematomyelia (type I split cord malformation) |
| 4 | Duru S et al. | 1999 | 2 | First case of 2-year-old girl, spondylocostal dysostosis with lipomyelomeningocele, and polythelia on the right side. Second case of 6-month-old girl, spondylocostal dysostosis with myelomeningocele and hydrocephalus |
| 5 | Etus et al. | 2003 | 1 | Case report of Jarcho–Levin syndrome with diastematomyelia (type I split cord malformation) in a 7-year-old girl |
| 6 | Nadkarni, TD et al. | 2005 | 2 | 2 patients with segmental costovertebral malformation, a form of spondylocostal dysostosis, associated with tethering of the conus to a lipomyelomeningocoele. |
| 7 | Vázquez-López, ME et al. | 2005 | 1 | Preterm-newborn girl, irregular ribs, Misalignment of vertebral bodies with hemivertebrae at dorsal level. |
| 8 | Yi S et al. | 2006 | 1 | Spondylocostal dysostosis with intrathoracic myelomeningocele |
| 9 | Rosa RFM et al. | 2009 | 3 | Patient 1: white girl, 22 months old, born with a lumbar meningomyelocele. Patient 2: white girl, 22 months old, spina bifida occulta at L5/S1. Patient 3: white girl, nine days old, with thoracolombar meningocele. |
| 10 | Sparrow DB et al. | 2008 | 1 | Caucasian Mediterranean child with hydrocephalus and myelomeningocele, shortened thorax, ectopic and stenotic anus, and talipes associated with SCDO-4 |
| 11 | Çetinkaya M et al. | 2008 | 1 | Male child born at 40 weeks of gestation with lumbosacral myelomeningocele. |
| 12 | Kansal R et al. | 2011 | 1 | One and half year old male child of Jarcho–Levin syndrome with spina bifida and diastematomyelia (type I split cord malformation) |
| 13 | Dizostozis ES et al. | 2013 | 1 | 2-year-old female, with double nipples on the right side and type I split cord malformation and tethered cord |
| 14 | Anjankar SD et al. | 2014 | 1 | 8 month old male child with lipomyelomeningocele with rib cage defect on left side |
Prognosis
Babies born with Jarcho-Levin may be very healthy and grow up to lead normal lives.[13] However, many individuals with Jarcho-Levin suffer from problems of respiratory insufficiency secondary to volume-restricted thoraces. These individuals will often develop pulmonary complications and die in infancy or early childhood.[1][2][14][15][16] The disparity in outcomes of those with the syndrome is related to the fact that Jarcho-Levin actually encompasses two or more distinct syndromes, each with its own range of prognoses. The syndromes currently recognized as subtypes of Jarcho-Levin are termed spondylothoracic dysplasia and spondylocostal dysostosis. The disease is related to the SRRT gene.[17]
Subtypes and Characteristics
In 1968, Dr. David Rimoin and colleagues in Baltimore first distinguished between the two major presentations of Jarcho-Levin.[4] Both conditions were characterized as failures of proper vertebral segmentation. However, the condition within the family described in their article appeared to be inherited in an autosomal dominant fashion and had a less severe course than that reported by other investigators. They specified their condition as spondylocostal dysplasia, which has since become known as spondylocostal dysostosis. The subtype of Jarcho-Levin with which they contrasted their reported cases to is now known as spondylothoracic dysplasia.
Spondylothoracic dysplasia
Spondylothoracic dysplasia, or STD, has been repeatedly described as an autosomal recessively inherited condition that results in a characteristic fan-like configuration of the ribs with minimal intrinsic rib anomalies. Infants born with this condition typically died early in life due to recurrent respiratory infections and pneumonia due to their restricted thorax.[3][5][18] Recently, a report[13] has documented that actual mortality associated with STD is only about 50%, with many survivors leading healthy, independent lives.
Spondylocostal dysostosis

In contrast to STD, the subtype spondylocostal dysostosis, or SCD features intrinsic rib anomalies, in addition to vertebral anomalies. Intrinsic rib anomalies include defects such as birfurcation, broadening and fusion that are not directly related to the vertebral anomalies (such as in STD, where extensive posterior rib fusion occurs due to segmentation defects and extreme shortening of the thoracic vertebral column).[13] In both subtypes, the pulmonary restriction may result in pulmonary hypertension, and have other potential cardiac implications.[19]
External links
References
- 1 2 3 Jarcho, S.; Levin, P.M. (1938). "Hereditary malformation of the vertebral bodies". Bull Johns Hopkins Hosp. 62: 216–226.
- 1 2 Van Der Sar, A. (1952). "Hereditary Multiple Hemivertebrae". Documenta de Medicina Geographica et Tropica.
- 1 2 Lavy, N.W.; Palmer, C.G.; Merritt, A.D. (1966). "A syndrome of bizarre vertebral anomalies.". J Pediatr. 69 (6): 1121–5. doi:10.1016/S0022-3476(66)80304-9. PMID 5953839.
- 1 2 Rimoin, D.L.; Fletcher, B.D.; McKusick, V.A. (1968). "Spondylocostal dysplasia. A dominantly inherited form of short-trunked dwarfism.". Am J Med. 45 (6): 948–53. doi:10.1016/0002-9343(68)90193-9. PMID 5722643.
- 1 2 Moseley, J.E.; Bonforte, R.J. (May 1, 1969). "Spondylothoracic Dysplasia--a Syndrome Of Congenital Anomalies". American Journal of Roentgenology. 106 (1): 166–9. doi:10.2214/ajr.106.1.166. PMID 5769299. Retrieved 2007-12-15.
- ↑ Norum, R.A.; McKusick, V.A. (1969). "Costovertebral anomalies with apparent recessive inheritance". Birth Defects OAS. 18: 326–329.
- ↑ Cantu, J.M.; Urrusti, J.; Rosales, G.; Roms, A. (1944). "Evidence for autosomal recessive inheritance of costovertebral dysplasia". Clinical Genetics. 2 (3): 149–154. doi:10.1111/j.1399-0004.1971.tb00270.x. PMID 5111758.
- ↑ Castroviejo, I.P.; Rodriguez-costa, T.; Castillo, F. (1973). "Spondylo-thoracic dysplasia in three sisters.". Dev Med Child Neurol. 15 (3): 348–54. doi:10.1111/j.1469-8749.1973.tb04891.x. PMID 4718686.
- ↑ Perez-comas, A.; Garcia-castro, J.M. (1974). "Occipito-facial-cervico-thoracic-abdomino-digital dysplasia; Jarcho-Levin syndrome of vertebral anomalies. Report of six cases and review of the literature.". J Pediatr. 85 (3): 388–91. doi:10.1016/S0022-3476(74)80126-5. PMID 4372555.
- ↑ Franceschini, P.; Grassi, E.; Fabris, C.; Bogetti, G.; Randaccio, M. (1974). "The autosomal recessive form of spondylocostal dysostosis.". Radiology. 112 (3): 673–5. doi:10.1148/112.3.673. PMID 4843303.
- ↑ Wadia, R.S.; Shirole, D.B.; Dikshit, M.S. (1978). "Recessively inherited costovertebral segmentation defect with mesomelia and peculiar facies (Covesdem syndrome): A new genetic entity?". British Medical Journal. 15 (2): 123–7. doi:10.1136/jmg.15.2.123. PMC 1013660
. PMID 641945. Retrieved 2007-12-15. - ↑ Anjankar SD, Subodh R (2014). "Spondylocostal dysostosis with lipomyelomeningocele: Case report and review of the literature". J Pediatr Neurosci. 9: 249–52. doi:10.4103/1817-1745.147580.
- 1 2 3 Cornier, A.S.; Ramirez, N.; Arroyo, S.; Acevedo, J.; Garcia, L.; Carlo, S.; Korf, B. (2004). "Phenotype characterization and natural history of spondylothoracic dysplasia syndrome: A series of 27 new cases". American Journal of Medical Genetics. 128 (2): 120–126. doi:10.1002/ajmg.a.30011. PMID 15214000.
- ↑ Poor, M.A.; Alberti, O.J.R.; Griscom, N.T.; Driscoll, S.G.; Holmes, L.B. (1983). "Nonskeletal malformations in one of three siblings with Jarcho-Levin syndrome of vertebral anomalies". The Journal of Pediatrics. 103 (2): 270–272. doi:10.1016/S0022-3476(83)80365-5. PMID 6875723. Retrieved 2007-12-15.
- ↑ Karnes, P.S.; Day, D.; Berry, S.A.; Pierpont, M.E.M. (1991). "Jarcho-Levin syndrome: four new cases and classification of subtypes". American Journal of Medical Genetics. 40 (3): 264–270. doi:10.1002/ajmg.1320400304. PMID 1951427. Retrieved 2007-12-15.
- ↑ Giacoia, G.P.; Say, B. (1991). "Spondylocostal dysplasia and neural tube defects". Journal of Medical Genetics. 28 (1): 51–3. doi:10.1136/jmg.28.1.51. PMC 1016749
. PMID 1999834. Retrieved 2007-12-15. - ↑ http://www.ncbi.nlm.nih.gov/gene?Db=gene&Cmd=ShowDetailView&TermToSearch=51593
- ↑ Pochaczevsky, R.; Ratner, H.; Perles, D.; Kassner, G.; Naysan, P. (1971). "Spondylothoracic dysplasia.". Radiology. 98 (1): 53–8. doi:10.1148/98.1.53. PMID 5541431.
- ↑ Turnpenny, Peter, D., BSc, MB, ChB, FRCP,FRCPCH, FRCPath, Elizabeth Young, BSc, PhD; ICVS (International Consortium for Vertebral Anomalies and Scoliosis). "Spondylocostal Dysostosis: Autosomal Recessive", WEB, post 8/29/2009, last updated on 1/17/2013. See outside link.
