Vacuolar interface dermatitis

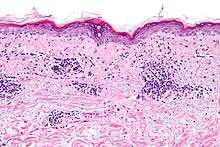
Micrograph of a vacuolar interface dermatitis with dermal mucin, as may be seen in lupus. H&E stain.
Vacuolar interface dermatitis (VAC, also known as liquefaction degeneration, vacuolar alteration or hydropic degeneration) is a dermatitis where degenerative changes occur at the dermoepidermal junction, with lymphophatic inflammation at the epidermis and dermis.[1] This change is frequently found in lupus erythematosis, erythema multiforme and lichen sclerosis.
References
This article is issued from Wikipedia - version of the 9/2/2015. The text is available under the Creative Commons Attribution/Share Alike but additional terms may apply for the media files.