Cerebral atrophy
Cerebral atrophy is a common feature of many of the diseases that affect the brain.[1] Atrophy of any tissue means a decrement in the size of the cell, which can be due to progressive loss of cytoplasmic proteins. In brain tissue, atrophy describes a loss of neurons and the connections between them. Atrophy can be generalized, which means that all of the brain has shrunk; or it can be focal, affecting only a limited area of the brain and resulting in a decrease of the functions that area of the brain controls. If the cerebral hemispheres (the two lobes of the brain that form the cerebrum) are affected, conscious thought and voluntary processes may be impaired.
Some degree of cerebral shrinkage occurs naturally with age; after the brain completes growth and attains its maximum mass at around age 25, it gradually loses mass with each decade of life, although the rate of loss is comparatively tiny until the age of 60, when approximately .5 to 1% of brain volume is lost per year. By age 75, the brain is an average of 15% smaller than it was at 25. Some areas of the brain such as short-term memory are affected more than others and men lose more brain mass overall than women.
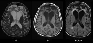
Brain atrophy does not affect all regions with the same intensity as shown by neuroimaging.[2]
Possible Causes and Associated Diseases and Disorders
The pattern and rate of progression of cerebral atrophy depends on the disease involved.
Injury
- Stroke, loss of brain function due to a sudden interruption of blood supply in the brain
- Traumatic brain injury
- Corticosteroid Use (There appears to be correlations between degree of dosing with corticosteroids and cerebral atrophy)[3]
Diseases/Disorders

- Alzheimer's disease (High resolution MRI scans have shown the progression of cerebral atrophy in Alzheimer's disease) [4]
- Cerebral palsy, in which lesions (damaged areas) may impair motor coordination
- Senile dementia, fronto-temporal dementia, and vascular dementia
- Pick’s disease, causes progressive destruction of nerve cells in the brain
- Huntington's disease, and other genetic disorders that cause build-up of toxic levels of proteins in neurons
- Leukodystrophies, such as Krabbe disease, which destroy the myelin sheath that protects axons
- Multiple sclerosis, which causes inflammation, myelin damage, and lesions in cerebral tissue
- Epilepsy, in which lesions cause abnormal electrochemical discharges that result in seizures
- Anorexia nervosa, bulimia nervosa, and other eating disorders
- Malnutrition, caused by lack or excess of nutrition from foods
- Type II Diabetes, where the body does not use insulin properly resulting in high blood sugar
- Mitochondrial encephalomyopathies, such as Kearns-Sayre syndrome, which interfere with the basic functions of neurons
Infections
Where an infectious agent or the inflammatory reaction to it destroys neurons and their axons, these include...
- Encephalitis, acute inflammation in the brain
- Neurosyphilis, an infection in the brain or spinal chord
- AIDS, disease of the immune system
Drug induced
- Neuroleptics
Symptoms
Many diseases that cause cerebral atrophy are associated with dementia, seizures, and a group of language disorders called the aphasias. Dementia is characterized by a progressive impairment of memory and intellectual function that is severe enough to interfere with social and work skills. Memory, orientation, abstraction, ability to learn, visual-spatial perception, and higher executive functions such as planning, organizing and sequencing may also be impaired. Seizures can take different forms, appearing as disorientation, strange repetitive movements, loss of consciousness, or convulsions. Aphasias are a group of disorders characterized by disturbances in speaking and understanding language. Receptive aphasia causes impaired comprehension. Expressive aphasia is reflected in odd choices of words, the use of partial phrases, disjointed clauses, and incomplete sentences.
Reducing the Risk and Treatment
Unfortunately, cerebral atrophy is not usually preventable, however there are steps that can be taken to reduce the risks such as controlling your blood pressure, eating a healthy balanced diet including omega-3's and antioxidants, and staying active mentally, physically, and socially.[5]
While most cerebral atrophy is said to be irreversible there are some recent studies that show this is not always the case. A child who was treated with ACTH originally showed atrophy, but four months after treatment the brain was seemingly normal again.[6]
References
- ↑ Cerebral Atrophy Information Page: National Institute of Neurological Disorders and Stroke (NINDS)
- ↑ Brainmarkers.com Archived March 4, 2016, at the Wayback Machine.
- ↑ Steroids and Apparent Cerebral Atrophy on Computed Tomograph... : Journal of Computer Assisted Tomography
- ↑ Imaging cerebral atrophy: normal ageing to Alzheimer's disease : The Lancet
- ↑ Cerebral Atrophy - Causes - Better Medicine
- ↑ Apparent Cerebral Atrophy in Patients on Treatment with Steroids - Gordon - 2008 - Developmental Medicine & Child Neurology - Wiley Online Library