Cutaneous myxoma

Cutaneous Myxoma
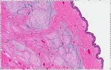
A cutaneous myxoma, AKA superficial angiomyxoma, consists of a multilobulated myxoid mass containing stellate or spindled fibroblasts with pools of mucin forming cleft-like spaces. There is often a proliferation of blood vessels and an inflammatory infiltrate. Staining is positive for vimentin, negative for cytokeratin and desmin, and variable for CD34, Factor VIIIa, SMA, MSA and S-100.[1]
Clinically, it may present as solitary or multiple flesh-colored nodules on the face, trunk, or extremities. It may occur as part of the Carney complex, and is sometimes the first sign. Local recurrence is common.[2]
See also
References
- ↑ Satter EK (October 2009). "Solitary superficial angiomyxoma: an infrequent but distinct soft tissue tumor". J. Cutan. Pathol. 36 (Suppl 1): 56–9. doi:10.1111/j.1600-0560.2008.01216.x. PMID 19187115.
- ↑ James, William; Berger, Timothy; Elston, Dirk (2005). Andrews' Diseases of the Skin: Clinical Dermatology (10th ed.). Saunders. p. 614. ISBN 0-7216-2921-0.
This article is issued from Wikipedia - version of the 8/25/2016. The text is available under the Creative Commons Attribution/Share Alike but additional terms may apply for the media files.