Pleomorphic fibroma

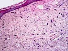
Micrograph of pleomorphic fibroma. Cell-depleted, fibrous connective tissue with atypical fibroblasts
Pleomorphic fibromas of the skin usually present in adults, with a slight preponderance in women.[1]
See also
References
This article is issued from Wikipedia - version of the 5/18/2016. The text is available under the Creative Commons Attribution/Share Alike but additional terms may apply for the media files.