Kawasaki disease
| Kawasaki disease | |
|---|---|
| Synonyms | Kawasaki syndrome,[1] lymph node syndrome, mucocutaneous lymph node syndrome[2] |
![]() | |
| A child showing the characteristic "strawberry tongue" seen in Kawasaki disease[3] | |
| Classification and external resources | |
| Specialty | Pediatrics |
| ICD-10 | M30.3 |
| ICD-9-CM | 446.1 |
| OMIM | 611775 |
| DiseasesDB | 7121 |
| MedlinePlus | 000989 |
| eMedicine | article/965367 |
| Patient UK | Kawasaki disease |
| MeSH | D009080 |
| Orphanet | 2331 |
Kawasaki disease is a disease in which blood vessels throughout the body become inflamed.[1] The most common symptoms include a fever that lasts for more than five days and is not controlled by usual medications, large lymph nodes in the neck, a rash in the genital area, and red eyes, lips, palms or bottoms of the feet. Other symptoms include sore throat and diarrhea. Within three weeks of the onset of symptoms the skin from the hands and feet may peel. Recovery then typically occurs. In some children, coronary artery aneurysms may form in the heart.[1]
The cause is unknown. It may be due to an infection triggering an autoimmune response in those who are genetically predisposed. It is not spread between people. Diagnosis is usually based on a person's signs and symptoms. Other tests such as an ultrasound of the heart and blood tests may support the diagnosis. Other conditions that may present similarly include scarlet fever and juvenile rheumatoid arthritis.[1]
Initially treatment is typically with high doses of aspirin and immunoglobulin. Usually with treatment fever resolves within 24 hours and there is a full recovery. If the coronary arteries are involved ongoing treatment or surgery may occasionally be required.[1] Without treatment coronary artery problems occur in up to 25% and about 1% die.[3][4] With treatment the risk of death is 0.17%.[4]
Kawasaki disease is rare.[1] It affects between 8 and 67 per 100,000 people under the age of five except in Japan where it affects 124 per 100,000.[5] It is much less common after the age of five.[1] Boys are more commonly affected than girls.[1] The disorder was first described in 1967 by Tomisaku Kawasaki in Japan.[5][6]

Signs and symptoms
Kawasaki disease often begins with a high and persistent fever that is not very responsive to normal treatment with paracetamol (acetaminophen) or ibuprofen.[7][8] It is the most prominent symptom in Kawasaki disease, is a characteristic sign of the acute phase of the disease, is normally high (above 39-40 °C), remittent, and is followed by extreme irritability.[8][9] Recently, it is reported to be present in patients with atypical or incomplete Kawasaki disease;[10][11] nevertheless, it is not present in 100% of cases.[12] The first day of fever is considered the first day of illness,[7] and the duration of fever is on average one to two weeks; in the absence of treatment, it may extend for three to four weeks.[3] Prolonged fever is associated with higher incidence of cardiac involvement.[13] It responds partially to antipyretic drugs and does not cease with the introduction of antibiotics.[3] However, when appropriate therapy is started – intravenous immunoglobulin and aspirin – the fever is gone after two days.[14]
Bilateral conjunctival inflammation was reported to be the most common symptom after fever.[15][16] It typically involves the bulbar conjunctivae, is not accompanied by suppuration, and is not painful.[17] It usually begins shortly after the onset of fever during the acute stage of the disease.[7] Anterior uveitis may be present on slit-lamp examination.[18][19] Iritis can occur, too.[20] Keratic precipitates are another eye manifestation (detectable by a slit lamp but are usually too small to be seen by the unaided eye).[7][21]
Kawasaki disease presents with set of mouth symptoms, the most characteristic changes are the red tongue, swollen lips with vertical cracking and bleeding.[22] The mucosa of the mouth and throat may be bright red, and the tongue may have a typical "strawberry tongue" appearance (marked redness with prominent gustative papillae).[3][23] These mouth symptoms are caused by the typical necrotizing microvasculitis with fibrinoid necrosis.[22]
Cervical lymphadenopathy is seen in 50% to 75% of people, whereas the other features are estimated to occur in 90% of patients,[7][15] but sometimes it can be the dominant presenting symptom.[21][24] According to the definition of the diagnostic criteria, at least one impaired lymph node ≥ 15 mm in diameter should be involved.[23] Affected lymph nodes are painless or minimally painful, nonfluctuant, and nonsuppurative; erythema of the neighboring skin may occur.[7] Children with fever and neck adenitis who do not respond to antibiotics should have Kawasaki disease considered as part of the differential diagnoses.[7]
| Less common manifestations | |
|---|---|
| System | Manifestations |
| GIT | Diarrhea, chest pain, abdominal pain, vomiting, liver dysfunction, pancreatitis, Hydrops gallbladder,[25] parotitis,[15][26] cholangitis, intussusception, intestinal pseudo-obstruction, ascites, splenic infarction |
| MSS | Polyarthritis and arthralgia |
| CVS | Myocarditis, pericarditis, tachycardia,[23] valvular heart disease |
| GU | Urethritis, prostatitis, cystitis, priapism, interstitial nephritis, orchitis, nephrotic syndrome |
| CNS | Lethargy, semicoma,[15] aseptic meningitis, and sensorineural deafness |
| RS | Shortness of breath,[23] influenza-like illness, pleural effusion, atelectasis |
| Skin | Erythema and induration at BCG vaccination site, Beau's lines, and finger gangrene |
| Source: review,[23] table.[27] | |
In the acute phase of the disease, changes in the peripheral extremities can include erythema of the palms and soles, which is often striking with sharp demarcation[7] and often accompanied by painful, brawny edema of the dorsa of the hands or feet. This is why affected children frequently refuse to hold objects in their hands or to bear weight on their feet.[3][7] Later, during the convalescent or the subacute phase, desquamation of the fingers and toes usually begins in the periungual region within two to three weeks after the onset of fever and may extend to include the palms and soles.[28] Around 11% of children affected by the disease may continue skin-peeling for many years.[29] One to two months after the onset of fever, deep transverse grooves across the nails may develop (Beau’s lines),[30] and occasionally nails are shed.[30]
The most common skin manifestation is a diffuse macular-papular erythematous rash, which is quite nonspecific.[31] The rash varies over time and is characteristically located on the trunk; it may further spread to involve the face, extremities, and perineum.[3] Many other forms of cutaneous lesions have been reported; they may include scarlatiniform, papular, urticariform, multiform-like erythema, and purpuric lesions; even micropustules were reported.[32][33] It can be polymorphic, not itchy, and normally observed up to the fifth day of fever.[34] However, it is never bullous or vesicular.[3]
In the acute stage of Kawasaki disease, systemic inflammatory changes are evident in many organs.[35] Joint pain (arthralgia) and swelling, frequently symmetrical, and arthritis can also occur.[15] Myocarditis,[36] diarrhea,[23] pericarditis, valvulitis, aseptic meningitis, pneumonitis, lymphadenitis, and hepatitis may be present and are manifested by the presence of inflammatory cells in the affected tissues.[35] If left untreated, some symptoms will eventually relent, but coronary artery aneurysms will not improve, resulting in a significant risk of death or disability due to myocardial infarction.[23] If treated quickly, this risk can be mostly avoided and the course of illness cut short.[37]
Other reported nonspecific symptoms include cough, rhinorrhea, sputum, vomiting, headache, and seizure.[15]
The course of the disease can be divided into three clinical phases.[23]
- The acute febrile phase, which usually lasts for one to two weeks, is characterized by fever, conjunctival injection, erythema of the oral mucosa, erythema and swelling of the hands and feet, rash, cervical adenopathy, aseptic meningitis, diarrhea, and hepatic dysfunction.[23] Myocarditis is common during this time, and a pericardial effusion may be present.[7] Coronary arteritis may be present, but aneurysms are generally not yet visible by echocardiography.
- The subacute phase begins when fever, rash, and lymphadenopathy resolve at about one to two weeks after the onset of fever, but irritability, anorexia, and conjunctival injection persist. Desquamation of the fingers and toes and thrombocytosis are seen during this stage, which generally lasts until about four weeks after the onset of fever. Coronary artery aneurysms usually develop during this time, and the risk for sudden death is highest.[7][39]
- The convalescent stage begins when all clinical signs of illness have disappeared, and continues until the sedimentation rate returns to normal, usually at six to eight weeks after the onset of illness.[23]
The presentation between adults and children differs, as adults' neck lymph nodes are more affected (93% of adults versus 15% of children), hepatitis (65% versus 10%), and arthralgia (61% versus 24-38%).[23][40] Some people have atypical presentations and may not have the classical symptoms. This occurs in particular in young infants;[41] those people are especially at higher risk for cardiac artery aneurysms.[7][42]
Cardiac

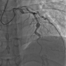
The heart complications are the most important aspect of Kawasaki disease. It is the main cause of heart disease acquired in childhood in the United States and Japan.[23] In developed nations, it appears to have replaced acute rheumatic fever as the most common cause of acquired heart disease in children.[7] Coronary artery aneurysms occur as a sequela of the vasculitis in 20-25% of untreated children.[43] It is first detected at a mean of 10 days of illness and the peak frequency of coronary artery dilation or aneurysms occurs within four weeks of onset.[39] Aneurysms are classified into small (internal diameter of vessel wall <5 mm), medium (diameter ranging from 5–8 mm), and giant (diameter > 8 mm).[23] Saccular and fusiform aneurysms usually develop between 18 and 25 days after the onset of illness.[7]
Even when treated with high-dose IVIG regimens within the first 10 days of illness, 5% of children with Kawasaki disease develop at the least transient coronary artery dilation and 1% develop giant aneurysms.[44][45][46] Death can occur due either to myocardial infarction secondary to blood clot formation in a coronary artery aneurysm or to rupture of a large coronary artery aneurysm. Death is most common two to 12 weeks after the onset of illness.[7]
Many risk factors predicting coronary artery aneurysms have been identified,[13] including persistent fever after IVIG therapy,[47][48] low hemoglobin concentrations, low albumin concentrations, high white-blood-cell count, high band count, high CRP concentrations, male sex, and age less than one year.[49] Coronary artery lesions resulting from Kawasaki disease change dynamically with time.[3] Resolution one to two years after the onset of the disease has been observed in half of vessels with coronary aneurysms.[50][51] Narrowing of the coronary artery, which occurs as a result of the healing process of the vessel wall, often leads to significant obstruction of the blood vessel and lead to the heart not receiving enough blood and oxygen.[50] This can eventually lead to heart muscle tissue death (myocardial infarction).[50]
MI caused by thrombotic occlusion in an aneurysmal, stenotic, or both aneurysmal and stenotic coronary artery is the main cause of death from Kawasaki disease.[52] The highest risk of MI occurs in the first year after the onset of the disease.[52] MI in children presents with different symptoms from those in adults. The main symptoms were shock, unrest, vomiting, and abdominal pain; chest pain was most common in older children.[52] Most of these children had the attack occurring during sleep or at rest, and around one-third of attacks were asymptomatic.[7]
Valvular insufficiencies, particularly of mitral or tricuspid valves, are often observed in the acute phase of Kawasaki disease due to inflammation of the heart valve or inflammation of the heart muscle-induced myocardial dysfunction, regardless of coronary involvement.[50] These lesions mostly disappear with the resolution of acute illness,[53] but a very small group of the lesions persist and progress.[54] There is also late-onset aortic or mitral insufficiency caused by thickening or deformation of fibrosed valves, with the timing ranging from several months to years after the onset of Kawasaki disease.[55] Some of these lesions require valve replacement.[56]
Other
Other Kawasaki disease complications have been described, such as aneurysm of other arteries: aortic aneurysm,[57] with a higher number of reported cases involving the abdominal aorta,[58][59] axillary artery aneurysm,[60] brachiocephalic artery aneurysm,[61] aneurysm of iliac and femoral arteries, and renal artery aneurysm.[3][62] Other vascular complications can occur such as increased wall thickness and decreased distensibility of carotid arteries,[63] aorta,[64] and brachioradial artery.[65] This change in the vascular tone secondary to endothelial dysfunction.[62] In addition, children with Kawasaki disease, with or without coronary artery complications, may have a more adverse cardiovascular risk profile,[65] such as high blood pressure, obesity, and abnormal serum lipid profile.[66]
Gastrointestinal complications in Kawasaki disease are similar to those observed in Henoch–Schönlein purpura,[60] such as: intestinal obstruction,[67] colon swelling,[68] intestinal ischemia,[69] intestinal pseudo-obstruction,[70] and acute abdomen.[71]
Eye changes associated with the disease have been described since the 1980s, being found as uveitis, iridocyclitis, conjunctival hemorrhage,[72][73][74] optic neuritis,[60] amaurosis, and ocular artery obstruction.[75] It can also be found as necrotizing vasculitis, progressing into peripheral gangrene.[76]
The neurological complications per central nervous system lesions are increasingly reported.[77] The neurological complications found are meningoencephalitis,[78] subdural effusion,[79][80] cerebral hypoperfusion,[81] cerebral ischemia and infarct,[82] cerebellar infarction,[83] manifesting with seizures, chorea, hemiplegia, mental confusion, lethargy and coma,[60] or even a cerebral infarction with no neurological manifestations.[82] Other neurological complications from cranial nerve involvement are reported as ataxia,[60] facial palsy,[84] and sensorineural hearing loss.[85][86] Behavioral changes are thought to be caused by localised cerebral hypoperfusion,[81] can include attention deficits, learning deficits, emotional disorders (emotional lability, fear of night, and night terrors), and internalization problems (anxious, depressive or aggressive behavior).[87][88]
Causes
As the cause(s) of Kawasaki disease remain unknown, the illness is more accurately referred to as Kawasaki syndrome. Like all autoimmune diseases, its cause is presumably the interaction of genetic and environmental factors, possibly including an infection. The specific cause is unknown,[89][90][91] but current theories center primarily on immunological causes. Evidence increasingly points to an infectious etiology,[92] but debate continues on whether the cause is a conventional antigenic substance or a superantigen.[93] Researchers at Boston Children's Hospital reported, "some studies have found associations between the occurrence of Kawasaki disease and recent exposure to carpet cleaning or residence near a body of stagnant water; however, cause and effect have not been established."[94]
Other data show a clear correlation between Kawasaki disease and tropospheric wind patterns; winds blowing from central Asia correlate with Kawasaki disease cases in Japan, Hawaii, and San Diego.[95] This association with tropospheric winds has been shown to be modulated at seasonal and interannual timescales by the El Niño–Southern Oscillation phenomenon,[96] further indicating the agent responsible for the disease is a wind-borne pathogen. Efforts are underway to identify the suspected pathogen in air-filters flown at altitude above Japan.[97]
An association has been identified with an SNP in the ITPKC gene, which codes an enzyme that negatively regulates T-cell activation.[98] Regardless of where they are living, Japanese children are more likely than other children to manifest the disease, which suggests genetic susceptibility.[94] The HLA-B51 serotype has been found to be associated with endemic instances of the disease.[99]
Diagnosis
| Criteria for diagnosis |
|---|
| Fever of ≥5 days' duration associated with at least four† of these five changes |
| Bilateral nonsuppurative conjunctivitis |
| One or more changes of the mucous membranes of the upper respiratory tract, including throat redness, dry cracked lips, red lips, and "strawberry" tongue |
| One or more changes of the arms and legs, including redness, swelling, skin peeling around the nails, and generalized peeling |
| Polymorphous rash, primarily truncal |
| Large lymph nodes in the neck (>15 mm in size) |
| Disease cannot be explained by some other known disease process |
| †A diagnosis of Kawasaki disease can be made if fever and only three changes are present if coronary artery disease is documented by two-dimensional echocardiography or coronary angiography. |
| Source: Nelson's essentials of pediatrics,[100] Review[101] |

Kawasaki disease can only be diagnosed clinically (i.e., by medical signs and symptoms). No specific laboratory test exists for this condition. It is difficult to establish the diagnosis, especially early in the course of the illness, and frequently children are not diagnosed until they have seen several health-care providers. Many other serious illnesses can cause similar symptoms, and must be considered in the differential diagnosis, including scarlet fever, toxic shock syndrome, juvenile idiopathic arthritis, and childhood mercury poisoning (infantile acrodynia).
Classically, five days of fever[102] plus four of five diagnostic criteria must be met to establish the diagnosis. The criteria are:[103]
- erythema of the lips or oral cavity or cracking of the lips
- rash on the trunk
- swelling or erythema of the hands or feet
- red eyes (conjunctival injection)
- swollen lymph node in the neck of at least 15 mm
Rapid memory method for diagnosis criteria: 1 dry mouth, 2 red eyes, 3 fingers touch neck lymph node swelling, 4 limbs change, and 5 much skin rash with fever more than 5 days. (Kuo mnemonic)[104]
Many children, especially infants, eventually diagnosed with Kawasaki disease, do not exhibit all of the above criteria. In fact, many experts now recommend treating for Kawasaki disease even if only three days of fever have passed and at least three diagnostic criteria are present, especially if other tests reveal abnormalities consistent with Kawasaki disease. In addition, the diagnosis can be made purely by the detection of coronary artery aneurysms in the proper clinical setting.
Investigations
A physical examination will demonstrate many of the features listed above.
Blood tests
- Complete blood count may reveal normocytic anemia and eventually thrombocytosis.
- Erythrocyte sedimentation rate will be elevated.
- C-reactive protein will be elevated.
- Liver function tests may show evidence of hepatic inflammation and low serum albumin levels.[105]
Other optional tests include:
- Electrocardiogram may show evidence of ventricular dysfunction or, occasionally, arrhythmia due to myocarditis.
- Echocardiogram may show subtle coronary artery changes or, later, true aneurysms.
- Ultrasound or computerized tomography may show hydrops (enlargement) of the gallbladder.
- Urinalysis may show white blood cells and protein in the urine (pyuria and proteinuria) without evidence of bacterial growth.
- Lumbar puncture may show evidence of aseptic meningitis.
- Angiography was historically used to detect coronary artery aneurysms, and remains the gold standard for their detection, but is rarely used today unless coronary artery aneurysms have already been detected by echocardiography.
- Temporal artery biopsy
Classification
Inflammation, or vasculitis of the arteries and veins occurs throughout the body. This is usually caused by increased production of the cells of the immune system to a pathogen, or autoimmunity.[106] Systemic vasculitides may be classified according to the type of cells involved in the proliferation, as well as the specific type of tissue damage occurring within the vein or arterial walls.[106] Under this classification scheme for systemic vasculitis, Kawasaki disease is considered to be a necrotizing vasculitis (also called necrotizing angiitis), which may be identified histologically by the occurrence of necrosis (tissue death), fibrosis, and proliferation of cells associated with inflammation in the inner layer of the vascular wall.[106][107]
Other diseases featuring necrotizing vasculitis include polyarteritis nodosa, granulomatosis with polyangiitis (GPA), Henoch–Schönlein purpura and eosinophilic granulomatosis with polyangiitis (EGPA).[106]
Kawasaki disease may be further classified as a medium-sized-vessel vasculitis, affecting medium- and small-sized blood vessels,[35][108][109] such as the smaller cutaneous vasculature (veins and arteries in the skin) that range from 50 to 100 µm in diameter.[23][110] Kawasaki disease is also considered to be a primary childhood vasculitis, a disorder associated with vasculitis that mainly affects children under the age of 18.[101][111] A recent, consensus-based evaluation of vasculitides occurring primarily in children resulted in a classification scheme for these disorders, to distinguish them and suggest a more concrete set of diagnostic criteria for each.[101] Within this classification of childhood vasculitides, Kawasaki disease is, again, a predominantly medium-sized vessel vasculitis.[101]
It is also an autoimmune form of vasculitis,[3] and is not associated with ANCA antibodies, unlike other vasculitic disorders associated with them (such as granulomatosis with polyangiitis, microscopic polyangiitis and eosinophilic granulomatosis with polyangiitis).[106][112] This categorization is considered essential for appropriate treatment.[113]
Treatment
Children with Kawasaki disease should be hospitalized and cared for by a physician who has experience with this disease. When in an academic medical center, care is often shared between pediatric cardiology, pediatric rheumatology, and pediatric infectious disease specialists (although no specific infectious agent has been identified as yet).[94] Treatment should be started as soon as the diagnosis is made to prevent damage to the coronary arteries.
Intravenous immunoglobulin (IVIG) is the standard treatment for Kawasaki disease[114] and is administered in high doses with marked improvement usually noted within 24 hours. If the fever does not respond, an additional dose may have to be considered. In rare cases, a third dose may be given to the child. IVIG by itself is most useful within the first seven days of onset of fever, in terms of preventing coronary artery aneurysm.
Salicylate therapy, particularly aspirin, remains an important part of the treatment (though questioned by some)[115] but salicylates alone are not as effective as IVIG. Aspirin therapy is started at high doses until the fever subsides, and then is continued at a low dose when the patient returns home, usually for two months to prevent blood clots from forming. Except for Kawasaki disease and a few other indications, aspirin is otherwise normally not recommended for children due to its association with Reye's syndrome. Because children with Kawasaki disease will be taking aspirin for up to several months, vaccination against varicella and influenza is required, as these infections are most likely to cause Reye's syndrome.[116] High-dose aspirin is associated with anemia and does not confer benefit to disease outcomes.[117]
Corticosteroids have also been used,[118] especially when other treatments fail or symptoms recur, but in a randomized controlled trial, the addition of corticosteroid to immune globulin and aspirin did not improve outcome.[119] Additionally, corticosteroid use in the setting of Kawasaki disease is associated with increased risk of coronary artery aneurysm, so its use is generally contraindicated in this setting. In cases of Kawasaki disease refractory to IVIG, cyclophosphamide and plasma exchange have been investigated as possible treatments, with variable outcomes.
IL-1 Receptor antagonist (anakinra) can prevent coronary lesion in the mouse KD model. This prevention shows even with three-days-delay in treatment in mice.[120]
Treatments exist for iritis and other eye symptoms. Another treatment may include the use of infliximab. Infliximab works by binding tumour necrosis factor alpha.[121]
Prognosis
With early treatment, rapid recovery from the acute symptoms can be expected, and the risk of coronary artery aneurysms is greatly reduced. Untreated, the acute symptoms of Kawasaki disease are self-limited (i.e. the patient will recover eventually), but the risk of coronary artery involvement is much greater. Overall, about 2% of patients die from complications of coronary vasculitis. Patients who have had Kawasaki disease should have an echocardiogram initially every few weeks, and then every one or two years to screen for progression of cardiac involvement.
Laboratory evidence of increased inflammation combined with demographic features (male sex, age less than six months or greater than eight years) and incomplete response to IVIG therapy create a profile of a high-risk patient with Kawasaki disease.[49][122] The likelihood that an aneurysm will resolve appears to be determined in large measure by its initial size, in which the smaller aneurysms have a greater likelihood of regression.[123][124] Other factors are positively associated with the regression of aneurysms, including being younger than a year old at the onset of Kawasaki disease, fusiform rather than saccular aneurysm morphology, and an aneurysm location in a distal coronary segment.[51] The highest rate of progression to stenosis occurs among those who develop large aneurysms.[3] The worst prognosis occurs in children with giant aneurysms.[125] This severe outcome may require further treatment such as percutaneous transluminal angioplasty,[126] coronary artery stenting,[127] bypass grafting,[128] and even cardiac transplantation.[129]
A relapse of symptoms may occur soon after initial treatment with IVIG. This usually requires rehospitalization and retreatment. Treatment with IVIG can cause allergic and nonallergic acute reactions, aseptic meningitis, fluid overload and, rarely, other serious reactions. Overall, life-threatening complications resulting from therapy for Kawasaki disease are exceedingly rare, especially compared with the risk of nontreatment. Also, evidence indicates Kawasaki disease produces altered lipid metabolism that persists beyond the clinical resolution of the disease.
Epidemiology
Kawasaki disease affects boys more than girls, with people of Asian ethnicity, particularly Japanese and Korean people, most susceptible, as well as people of Afro-Caribbean ethnicity. The disease was rare in Caucasians until the last few decades, and incidence rates fluctuate from country to country.
Currently, Kawasaki disease is the most commonly diagnosed pediatric vasculitis in the world. By far, the highest incidence of Kawasaki disease occurs in Japan, with the most recent study placing the attack rate at 218.6 per 100,000 children <5 years of age (about one in 450 children). At this present attack rate, more than one in 150 children in Japan will develop Kawasaki disease during their lifetimes.
However, its incidence in the United States is increasing. Kawasaki disease is predominantly a disease of young children, with 80% of patients younger than five years of age. About 2,000-4,000 cases are identified in the U.S. each year (9 to 19 per 100,000 children younger than 5 years of age).[94][130][131]
In the United Kingdom, estimates of incidence rate vary because of the rarity of Kawasaki disease. However, it is believed to affect fewer than one in every 25,000 people.[132] Incidence of the disease doubled from 1991 to 2000, however, with four cases per 100,000 children in 1991 compared with a rise of eight cases per 100,000 in 2000.[133]
History
The disease was first reported by Tomisaku Kawasaki in a four-year-old child with a rash and fever at the Red Cross Hospital in Tokyo in January 1961, and he later published a report on 50 similar cases.[134] Later, Kawasaki and colleagues were persuaded of definite cardiac involvement when they studied and reported 23 cases, of which 11 (48%) patients had abnormalities detected by an electrocardiogram.[135] In 1974, the first description of this disorder was published in the English-language literature.[136] In 1976, Melish et al. described the same illness in 16 children in Hawaii.[137] Melish and Kawasaki had independently developed the same diagnostic criteria for the disorder, which are still used today to make the diagnosis of classic Kawasaki disease.
A question was raised whether the disease only started during the period between 1960 and 1970, but later a preserved heart of a seven-year-old boy who died in 1870 was examined and showed three aneurysms of the coronary arteries with clots, as well as pathologic changes consistent with Kawasaki disease.[138] Kawasaki disease is now recognized worldwide. In the United States and other developed nations, it appears to have replaced acute rheumatic fever as the most common cause of acquired heart disease in children.[139]
References
- 1 2 3 4 5 6 7 8 "Kawasaki Disease". PubMed Health. NHLBI Health Topics. 11 June 2014. Retrieved 26 August 2016.
- ↑ Rapini, Ronald P.; Bolognia, Jean L.; Jorizzo, Joseph L. (2007). Dermatology: 2-Volume Set. St. Louis: Mosby. pp. 1232–4. ISBN 1-4160-2999-0.
- 1 2 3 4 5 6 7 8 9 10 11 12 13 Kim DS (December 2006). "Kawasaki disease". Yonsei Medical Journal. 47 (6): 759–72. doi:10.3349/ymj.2006.47.6.759. PMC 2687814
. PMID 17191303. - 1 2 "Merck Manual, Online edition: Kawasaki Disease". 2014. Retrieved Aug 26, 2016.
- 1 2 Lai, Wyman W.; Mertens, Luc L.; Cohen, Meryl S.; Geva, Tal (2015). Echocardiography in Pediatric and Congenital Heart Disease: From Fetus to Adult (2 ed.). John Wiley & Sons. p. 739. ISBN 9781118742488.
- ↑ Kawasaki T (1967). "[Acute febrile mucocutaneous syndrome with lymphoid involvement with specific desquamation of the fingers and toes in children]". Arerugi. 16 (3): 178–222. PMID 6062087.
- 1 2 3 4 5 6 7 8 9 10 11 12 13 14 15 16 17 Rowley AH, Shulman ST (July 1998). "Kawasaki Syndrome". Clinical Microbiology Reviews. 11 (3): 405–14. PMC 88887
. PMID 9665974. - 1 2 Kawasaki T (January 1995). "General review and problems in Kawasaki disease". Japanese Heart Journal. 36 (1): 1–12. doi:10.1536/ihj.36.1. PMID 7760506.
- ↑ Cassidy JT, Petty RE. Vasculitis. In: Cassidy JT, Petty RE, eds. Textbook of pediatric rheumatology. 3rd ed. Philadelphia, W.B: Saunders Company; 1995. p. 365-422
- ↑ Fukushige J, Takahashi N, Ueda Y, Ueda K (October 1994). "Incidence and clinical features of incomplete Kawasaki disease". Acta Paediatrica. 83 (10): 1057–60. doi:10.1111/j.1651-2227.1994.tb12985.x. PMID 7841704.
- ↑ Rowley AH, Gonzalez-Crussi F, Gidding SS, Duffy CE, Shulman ST (March 1987). "Incomplete Kawasaki disease with coronary artery involvement". The Journal of Pediatrics. 110 (3): 409–13. doi:10.1016/S0022-3476(87)80503-6. PMID 3819942.
- ↑ Rodriguez-Lozano AL, Rivas-Larrauri FE, Hernandez-Bautista VM, Yamazaki-Nakashimada MA (September 2011). "Fever is not always present in Kawasaki disease". Rheumatology International. 32: 2953–2954. doi:10.1007/s00296-011-2123-4. PMID 21881982.
- 1 2 Mori M, Imagawa T, Yasui K, Kanaya A, Yokota S (August 2000). "Predictors of coronary artery lesions after intravenous gamma-globulin treatment in Kawasaki disease". The Journal of Pediatrics. 137 (2): 177–80. doi:10.1067/mpd.2000.107890. PMID 10931408.
- ↑ Newburger JW, Takahashi M, Beiser AS, et al. (June 1991). "A single intravenous infusion of gamma globulin as compared with four infusions in the treatment of acute Kawasaki syndrome". The New England Journal of Medicine. 324 (23): 1633–9. doi:10.1056/NEJM199106063242305. PMID 1709446.
- 1 2 3 4 5 6 Yun SH, Yang NR, Park SA (July 2011). "Associated Symptoms of Kawasaki Disease". Korean Circulation Journal. 41 (7): 394–8. doi:10.4070/kcj.2011.41.7.394. PMC 3152734
. PMID 21860641. - ↑ Martínez Ruiz M, del Castillo Martín F, Borque Andrés C, et al. (October 2003). "Incidencia y características clínicas de la enfermedad de Kawasaki" [Incidence and clinical characteristics of Kawasaki's disease]. Anales de Pediatría (in Spanish). 59 (4): 323–7. doi:10.1016/S1695-4033(03)78190-9. PMID 14519302.
- ↑ Svobodová D, Slaný J, Pískovský T (2008). "Kawasakiho choroba a její oční příznaky" [Kawasaki disease and its ocular manifestations]. Časopis Lékařů Českých (in Czech). 147 (3): 162–4. PMID 18401983.
- ↑ Burns JC, Joffe L, Sargent RA, Glode MP (1985). "Anterior uveitis associated with Kawasaki syndrome". Pediatric Infectious Disease. 4 (3): 258–61. doi:10.1097/00006454-198505000-00010. PMID 4039819.
- ↑ Bachmeyer C, Turc Y, Curan D, Duval-Arnould M (January 2000). "Anterior uveitis as the initial sign of adult Kawasaki syndrome (mucocutaneous lymph node syndrome)". American Journal of Ophthalmology. 129 (1): 101–2. doi:10.1016/S0002-9394(99)00285-8. PMID 10653425.
- ↑ Smith LB, Newburger JW, Burns JC (February 1989). "Kawasaki syndrome and the eye". The Pediatric Infectious Disease Journal. 8 (2): 116–8. PMID 2468129.
- 1 2 Kubota M, Usami I, Yamakawa M, Tomita Y, Haruta T (June 2008). "Kawasaki disease with lymphadenopathy and fever as sole initial manifestations". Journal of Paediatrics and Child Health. 44 (6): 359–62. doi:10.1111/j.1440-1754.2008.01310.x. PMID 18476929.
- 1 2 Scardina GA, Fucà G, Carini F, et al. (December 2007). "Oral necrotizing microvasculitis in a patient affected by Kawasaki disease". Medicina Oral, Patología Oral Y Cirugía Bucal. 12 (8): E560–4. PMID 18059239.
- 1 2 3 4 5 6 7 8 9 10 11 12 13 14 Castro PA, Urbano LM, Costa IM (August 2009). "[Kawasaki disease]". Anais Brasileiros De Dermatologia (in Portuguese). 84 (4): 317–29. doi:10.1590/S0365-05962009000400002. PMID 19851663.
- ↑ Stamos JK, Corydon K, Donaldson J, Shulman ST (March 1994). "Lymphadenitis as the dominant manifestation of Kawasaki disease". Pediatrics. 93 (3): 525–8. PMID 8115224.
- ↑ Suddleson EA, Reid B, Woolley MM, Takahashi M (October 1987). "Hydrops of the gallbladder associated with Kawasaki syndrome". Journal of Pediatric Surgery. 22 (10): 956–9. doi:10.1016/S0022-3468(87)80600-0. PMID 3316594.
- ↑ Do HJ, Baek JG, Kim HJ, et al. (November 2009). "Kawasaki Disease Presenting as Parotitis in a 3-Month-Old Infant". Korean Circulation Journal. 39 (11): 502–4. doi:10.4070/kcj.2009.39.11.502. PMC 2790127
. PMID 19997548. - ↑ http://www.scielo.br/img/revistas/abd/v84n4/en_4a02qua03.jpg
- ↑ Wang S, Best BM, Burns JC (June 2009). "Periungual Desquamation in Patients with Kawasaki Disease". The Pediatric Infectious Disease Journal. 28 (6): 538–9. doi:10.1097/INF.0b013e3181945984. PMC 2738931
. PMID 19483521. - ↑ Michie C, Kinsler V, Tulloh R, Davidson S (October 2000). "Recurrent skin peeling following Kawasaki disease". Archives of Disease in Childhood. 83 (4): 353–5. doi:10.1136/adc.83.4.353. PMC 1718513
. PMID 10999876. - 1 2 López Neyra A, Alvarez-Coca González J, Pérez Suárez E, Martínez Pérez J, Rubio Villanueva JL (December 2007). "Líneas de Beau y enfermedad de Kawasaki" [Beau's lines and Kawasaki disease]. Anales de Pediatría (in Spanish). 67 (6): 610–1. doi:10.1016/s1695-4033(07)70817-2. PMID 18053534.
- ↑ González Pascual E, Villanueva Lamas J, Ros Viladoms J, Pons Odena M, Ruiz García-Diego S (January 1999). "[Kawasaki disease. A report of 50 cases]". Anales Españoles De Pediatría (in Spanish). 50 (1): 39–43. PMID 10083641.
- ↑ Kwan YW, Leung CW (December 2005). "Pustulo-vesicular skin eruption in a child with probable Kawasaki disease". European Journal of Pediatrics. 164 (12): 770–1. doi:10.1007/s00431-005-1715-y. PMID 16010565.
- ↑ Ulloa-Gutierrez R, Acón-Rojas F, Camacho-Badilla K, Soriano-Fallas A (December 2007). "Pustular rash in Kawasaki syndrome". The Pediatric Infectious Disease Journal. 26 (12): 1163–5. doi:10.1097/INF.0b013e31814619ec. PMID 18043462.
- ↑ Dajani AS, Taubert KA, Gerber MA, et al. (May 1993). "Diagnosis and therapy of Kawasaki disease in children". Circulation. 87 (5): 1776–80. doi:10.1161/01.CIR.87.5.1776. PMID 8491037.
- 1 2 3 Fujiwara H, Fujiwara T, Kao TC, Ohshio G, Hamashima Y (June 1986). "Pathology of Kawasaki disease in the healed stage. Relationships between typical and atypical cases of Kawasaki disease". Acta Pathologica Japonica. 36 (6): 857–67. doi:10.1111/j.1440-1827.1986.tb03119.x. PMID 3766134.
- ↑ Dahdah N (April 2010). "Not just coronary arteritis, Kawasaki disease is a myocarditis, too". Journal of the American College of Cardiology. 55 (14): 1507; author reply 1507–8. doi:10.1016/j.jacc.2009.11.067. PMID 20359606.
- ↑ Tse SM, Silverman ED, McCrindle BW, Yeung RS (April 2002). "Early treatment with intravenous immunoglobulin in patients with Kawasaki disease". J. Pediatr. 140 (4): 450–5. doi:10.1067/mpd.2002.122469. PMID 12006960.
- ↑ http://img.medscape.com/pi/emed/ckb/pediatrics_general/1331341-1331368-965367-2063095.jpg[][]
- 1 2 Hirose O, Misawa H, Kijima Y, et al. (March 1981). "[Two-dimensional echocardiography of coronary artery in Kawasaki disease (MCLS): detection, changes in acute phase, and follow-up observation of the aneurysm (author's transl)]". Journal of Cardiography (in Japanese). 11 (1): 89–104. PMID 7264399.
- ↑ Wolff AE, Hansen KE, Zakowski L (May 2007). "Acute Kawasaki Disease: Not Just for Kids". Journal of General Internal Medicine. 22 (5): 681–4. doi:10.1007/s11606-006-0100-5. PMC 1852903
. PMID 17443379. - ↑ Burns JC, Wiggins JW, Toews WH, et al. (November 1986). "Clinical spectrum of Kawasaki disease in infants younger than 6 months of age". The Journal of Pediatrics. 109 (5): 759–63. doi:10.1016/S0022-3476(86)80689-8. PMID 3772656.
- ↑ Boven K, De Graeff-Meeder ER, Spliet W, Kuis W (August 1992). "Atypical Kawasaki disease: an often missed diagnosis". European Journal of Pediatrics. 151 (8): 577–80. doi:10.1007/BF01957725. PMID 1505575.
- ↑ Suzuki A, Kamiya T, Kuwahara N, et al. (1986). "Coronary arterial lesions of Kawasaki disease: cardiac catheterization findings of 1100 cases". Pediatric Cardiology. 7 (1): 3–9. doi:10.1007/BF02315475. PMID 3774580.
- ↑ Durongpisitkul K, Gururaj VJ, Park JM, Martin CF (December 1995). "The prevention of coronary artery aneurysm in Kawasaki disease: a meta-analysis on the efficacy of aspirin and immunoglobulin treatment". Pediatrics. 96 (6): 1057–61. PMID 7491221.
- ↑ Terai M, Shulman ST (December 1997). "Prevalence of coronary artery abnormalities in Kawasaki disease is highly dependent on gamma globulin dose but independent of salicylate dose". The Journal of Pediatrics. 131 (6): 888–93. doi:10.1016/S0022-3476(97)70038-6. PMID 9427895. Retrieved 2011-12-08.
- ↑ Dajani AS, Taubert KA, Takahashi M, et al. (February 1994). "Guidelines for long-term management of patients with Kawasaki disease. Report from the Committee on Rheumatic Fever, Endocarditis, and Kawasaki Disease, Council on Cardiovascular Disease in the Young, American Heart Association". Circulation. 89 (2): 916–22. doi:10.1161/01.cir.89.2.916. PMID 8313588. Retrieved 2011-12-08.
- ↑ Kobayashi T, Inoue Y, Morikawa A (February 2008). "[Risk stratification and prediction of resistance to intravenous immunoglobulin in Kawasaki disease]". Nihon Rinsho. Japanese Journal of Clinical Medicine (in Japanese). 66 (2): 332–7. PMID 18260333.
- ↑ Harada K (December 1991). "Intravenous gamma-globulin treatment in Kawasaki disease". Acta Paediatrica Japonica; Overseas Edition. 33 (6): 805–10. doi:10.1111/j.1442-200X.1991.tb02612.x. PMID 1801561.
- 1 2 Koren G, Lavi S, Rose V, Rowe R (March 1986). "Kawasaki disease: review of risk factors for coronary aneurysms". The Journal of Pediatrics. 108 (3): 388–92. doi:10.1016/S0022-3476(86)80878-2. PMID 3950818.
- 1 2 3 4 Kato H, Sugimura T, Akagi T, et al. (September 1996). "Long-term consequences of Kawasaki disease. A 10- to 21-year follow-up study of 594 patients". Circulation. 94 (6): 1379–85. doi:10.1161/01.cir.94.6.1379. PMID 8822996. Retrieved 2011-12-08.
- 1 2 Takahashi M, Mason W, Lewis AB (February 1987). "Regression of coronary aneurysms in patients with Kawasaki syndrome". Circulation. 75 (2): 387–94. doi:10.1161/01.CIR.75.2.387. PMID 3802442. Retrieved 2011-12-08.
- 1 2 3 Kato H, Ichinose E, Kawasaki T (June 1986). "Myocardial infarction in Kawasaki disease: clinical analyses in 195 cases". The Journal of Pediatrics. 108 (6): 923–7. doi:10.1016/S0022-3476(86)80928-3. PMID 3712157.
- ↑ Suzuki A, Kamiya T, Tsuchiya K, et al. (February 1988). "Tricuspid and mitral regurgitation detected by color flow Doppler in the acute phase of Kawasaki disease". The American Journal of Cardiology. 61 (4): 386–90. doi:10.1016/0002-9149(88)90950-2. PMID 3341217. Retrieved 2011-12-02.
- ↑ Akagi T, Kato H, Inoue O, Sato N, Imamura K (August 1990). "Valvular heart disease in Kawasaki syndrome: incidence and natural history". American Heart Journal. 120 (2): 366–72. doi:10.1016/0002-8703(90)90081-8. PMID 2382613.
- ↑ Gidding SS, Shulman ST, Ilbawi M, Crussi F, Duffy CE (April 1986). "Mucocutaneous lymph node syndrome (Kawasaki disease): delayed aortic and mitral insufficiency secondary to active valvulitis". Journal of the American College of Cardiology. 7 (4): 894–7. doi:10.1016/S0735-1097(86)80354-0. PMID 3958349.
- ↑ Fukunaga S, Egashira A, Arinaga K, et al. (March 1996). "Aortic valve replacement for aortic regurgitation due to Kawasaki disease. Report of two cases". The Journal of Heart Valve Disease. 5 (2): 231–4. PMID 8665019.
- ↑ Ravekes WJ, Colan SD, Gauvreau K, et al. (April 2001). "Aortic root dilation in Kawasaki disease". The American Journal of Cardiology. 87 (7): 919–22. doi:10.1016/S0002-9149(00)01541-1. PMID 11274955.
- ↑ Fuyama Y, Hamada R, Uehara R, et al. (June 1996). "Long-term follow up of abdominal aortic aneurysm complicating Kawasaki disease: comparison of the effectiveness of different imaging methods". Acta Paediatrica Japonica; Overseas Edition. 38 (3): 252–5. doi:10.1111/j.1442-200X.1996.tb03480.x. PMID 8741316.
- ↑ Miyake T, Yokoyama T, Shinohara T, Seto S, Oiki M (August 1995). "Transient dilatation of the abdominal aorta in an infant with Kawasaki disease associated with thrombocytopenia". Acta Paediatrica Japonica; Overseas Edition. 37 (4): 521–5. doi:10.1111/j.1442-200X.1995.tb03368.x. PMID 7572158.
- 1 2 3 4 5 Alves NR, Magalhães CM, Almeida Rde F, Santos RC, Gandolfi L, Pratesi R (June 2011). "Prospective study of Kawasaki disease complications: review of 115 cases". Revista Da Associação Médica Brasileira (1992). 57 (3): 295–300. doi:10.1016/s2255-4823(11)70062-5. PMID 21691693.
- ↑ Yang G, Thompson D, Warren A (February 2009). "Late-appearing brachiocephalic aneurysm: an atypical vascular sequella of Kawasaki disease". Pediatric Cardiology. 30 (2): 197–9. doi:10.1007/s00246-008-9296-y. PMID 18704549.
- 1 2 Dhillon R, Clarkson P, Donald AE, et al. (November 1996). "Endothelial dysfunction late after Kawasaki disease". Circulation. 94 (9): 2103–6. doi:10.1161/01.cir.94.9.2103. PMID 8901658.
- ↑ Cheung YF, Wong SJ, Ho MH (January 2007). "Relationship between carotid intima-media thickness and arterial stiffness in children after Kawasaki disease". Archives of Disease in Childhood. 92 (1): 43–7. doi:10.1136/adc.2006.096628. PMC 2083125
. PMID 16820386. - ↑ Ooyanagi R, Fuse S, Tomita H, et al. (August 2004). "Pulse wave velocity and ankle brachial index in patients with Kawasaki disease". Pediatrics International. 46 (4): 398–402. doi:10.1111/j.1442-200x.2004.01929.x. PMID 15310302.
- 1 2 Cheung YF, Yung TC, Tam SC, Ho MH, Chau AK (January 2004). "Novel and traditional cardiovascular risk factors in children after Kawasaki disease: implications for premature atherosclerosis". Journal of the American College of Cardiology. 43 (1): 120–4. doi:10.1016/j.jacc.2003.08.030. PMID 14715193. Retrieved 2011-12-02.
- ↑ Senzaki H, Chen CH, Ishido H, et al. (April 2005). "Arterial hemodynamics in patients after Kawasaki disease". Circulation. 111 (16): 2119–25. doi:10.1161/01.CIR.0000162483.51132.25. PMID 15851619. Retrieved 2011-12-02.
- ↑ Yaniv L, Jaffe M, Shaoul R (September 2005). "The surgical manifestations of the intestinal tract in Kawasaki disease". Journal of Pediatric Surgery. 40 (9): e1–4. doi:10.1016/j.jpedsurg.2005.05.063. PMID 16150324.
- ↑ Kim MY, Noh JH (August 2008). "A Case of Kawasaki Disease with Colonic Edema". Journal of Korean Medical Science. 23 (4): 723–6. doi:10.3346/jkms.2008.23.4.723. PMC 2526417
. PMID 18756065. - ↑ Beiler HA, Schmidt KG, von Herbay A, Löffler W, Daum R (April 2001). "Ischemic small bowel strictures in a case of incomplete Kawasaki disease". Journal of Pediatric Surgery. 36 (4): 648–50. doi:10.1053/jpsu.2001.22311. PMID 11283899.
- ↑ Akikusa JD, Laxer RM, Friedman JN (May 2004). "Intestinal pseudoobstruction in Kawasaki disease". Pediatrics. 113 (5): e504–6. doi:10.1542/peds.113.5.e504. PMID 15121996.
- ↑ Zulian F, Falcini F, Zancan L, et al. (June 2003). "Acute surgical abdomen as presenting manifestation of Kawasaki disease". The Journal of Pediatrics. 142 (6): 731–5. doi:10.1067/mpd.2003.232. PMID 12838207.
- ↑ Ohno S, Miyajima T, Higuchi M, et al. (June 1982). "Ocular manifestations of Kawasaki's disease (mucocutaneous lymph node syndrome)". American Journal of Ophthalmology. 93 (6): 713–7. doi:10.1016/0002-9394(82)90465-2. PMID 7201245.
- ↑ Burke MJ, Rennebohm RM (1981). "Eye involvement in Kawasaki disease". Journal of Pediatric Ophthalmology and Strabismus. 18 (5): 7–11. PMID 7299613.
- ↑ Anand S, Yang YC (2004). "Optic disc changes in Kawasaki disease". Journal of Pediatric Ophthalmology and Strabismus. 41 (3): 177–9. PMID 15206604.
- ↑ Farvardin M, Kashef S, Aleyasin S, Nabavizadeh SH, Sajjadi M, Safari M (2007). "Sudden unilateral blindness in a girl with Kawasaki disease". Journal of Pediatric Ophthalmology and Strabismus. 44 (5): 303–4. PMID 17913174.
- ↑ Tomita S, Chung K, Mas M, Gidding S, Shulman ST (January 1992). "Peripheral gangrene associated with Kawasaki disease". Clinical Infectious Diseases. 14 (1): 121–6. doi:10.1093/clinids/14.1.121. PMID 1571415.
- ↑ Tabarki B, Mahdhaoui A, Selmi H, Yacoub M, Essoussi AS (September 2001). "Kawasaki disease with predominant central nervous system involvement". Pediatric Neurology. 25 (3): 239–41. doi:10.1016/S0887-8994(01)00290-9. PMID 11587880.
- ↑ Takagi K, Umezawa T, Saji T, Morooka K, Matsuo N (September 1990). "[Meningoencephalitis in Kawasaki disease]". No to Hattatsu. Brain and Development (in Japanese). 22 (5): 429–35. PMID 2223179.
- ↑ Aoki N (March 1988). "Subdural effusion in the acute stage of Kawasaki disease (Mucocutaneous lymph node syndrome)". Surgical Neurology. 29 (3): 216–7. doi:10.1016/0090-3019(88)90009-2. PMID 3344468.
- ↑ Bailie NM, Hensey OJ, Ryan S, Allcut D, King MD (2001). "Bilateral subdural collections--an unusual feature of possible Kawasaki disease". European Journal of Paediatric Neurology. 5 (2): 79–81. doi:10.1053/ejpn.2001.0469. PMID 11589317.
- 1 2 Ichiyama T, Nishikawa M, Hayashi T, Koga M, Tashiro N, Furukawa S (July 1998). "Cerebral hypoperfusion during acute Kawasaki disease". Stroke. 29 (7): 1320–1. doi:10.1161/01.STR.29.7.1320. PMID 9660380.
- 1 2 Fujiwara S, Yamano T, Hattori M, Fujiseki Y, Shimada M (1992). "Asymptomatic cerebral infarction in Kawasaki disease". Pediatric Neurology. 8 (3): 235–6. doi:10.1016/0887-8994(92)90077-C. PMID 1622525.
- ↑ Muneuchi J, Kusuhara K, Kanaya Y, et al. (January 2006). "Magnetic resonance studies of brain lesions in patients with Kawasaki disease". Brain & Development. 28 (1): 30–3. doi:10.1016/j.braindev.2005.04.003. PMID 15967620.
- ↑ Wright H, Waddington C, Geddes J, Newburger JW, Burgner D (September 2008). "Facial nerve palsy complicating Kawasaki disease". Pediatrics. 122 (3): e783–5. doi:10.1542/peds.2007-3238. PMID 18678602.
- ↑ Knott PD, Orloff LA, Harris JP, Novak RE, Burns JC (2001). "Sensorineural hearing loss and Kawasaki disease: a prospective study". American Journal of Otolaryngology. 22 (5): 343–8. doi:10.1053/ajot.2001.26495. PMID 11562886.
- ↑ Silva CH, Roscoe IC, Fernandes KP, Novaes RM, Lázari CS (2002). "[Sensorineural hearing loss associated to Kawasaki disease]". Jornal De Pediatria (in Portuguese). 78 (1): 71–4. doi:10.2223/JPED.669. PMID 14647816. Retrieved 2011-12-01.
- ↑ Carlton-Conway D, Ahluwalia R, Henry L, Michie C, Wood L, Tulloh R (2005). "Behaviour sequelae following acute Kawasaki disease". BMC Pediatrics. 5: 14. doi:10.1186/1471-2431-5-14. PMC 1156909
. PMID 15916701. Retrieved 2011-12-02. - ↑ King WJ, Schlieper A, Birdi N, Cappelli M, Korneluk Y, Rowe PC (May 2000). "The effect of Kawasaki disease on cognition and behavior". Archives of Pediatrics & Adolescent Medicine. 154 (5): 463–8. doi:10.1001/archpedi.154.5.463. PMID 10807296. Retrieved 2011-12-02.
- ↑ Rowley AH, Baker SC, Orenstein JM, Shulman ST (May 2008). "Searching for the cause of Kawasaki disease--cytoplasmic inclusion bodies provide new insight". Nature Reviews Microbiology. 6 (5): 394–401. doi:10.1038/nrmicro1853. PMID 18364728.
- ↑ "Kawasaki Disease". American Heart Association. Retrieved 3 January 2009.
- ↑ "Kawasaki Disease: Causes". Mayo Clinic. Retrieved 3 January 2009.
- ↑ Nakamura Y, Yashiro M, Uehara R, Oki I, Watanabe M, Yanagawa H (2008). "Monthly observation of the number of patients with Kawasaki disease and its incidence rates in Japan: chronological and geographical observation from nationwide surveys". J Epidemiol. 18 (6): 273–9. doi:10.2188/jea.JE2008030. PMID 19075496.
- ↑ Freeman AF, Shulman ST (June 2001). "Recent developments in Kawasaki disease". Current Opinion in Infectious Diseases. 14 (3): 357–61. doi:10.1097/00001432-200106000-00017. PMID 11964855.
- 1 2 3 4 "Who Kawasaki Disease Affects". Children's Hospital Boston. Retrieved 2009-01-04.
- ↑ Rodó, Xavier; Joan Ballester; Dan Cayan; Marian E. Melish; Yoshikazu Nakamura; Ritei Uehara; Jane C. Burns (2011-11-10). "Association of Kawasaki disease with tropospheric wind patterns". Scientific Reports. 1. doi:10.1038/srep00152. ISSN 2045-2322. PMC 3240972
. PMID 22355668. Retrieved 2012-04-05. - ↑ Ballester, Joan; Jane C. Burns; Dan Cayan; Yosikazu Nakamura; Ritei Uehara; Xavier Rodó. "Kawasaki disease and ENSO-driven wind circulation". Geophysical Research Letters. 40: 2284–2289. Bibcode:2013GeoRL..40.2284B. doi:10.1002/grl.50388.
- ↑ Frazer J (April 2012). "Infectious disease: Blowing in the wind". Nature. 484 (7392): 21–3. doi:10.1038/484021a. PMID 22481336.
- ↑ Onouchi Y, Gunji T, Burns JC, et al. (January 2008). "ITPKC functional polymorphism associated with Kawasaki disease susceptibility and formation of coronary artery aneurysms". Nat. Genet. 40 (1): 35–42. doi:10.1038/ng.2007.59. PMC 2876982
. PMID 18084290. - ↑ Keren G, Danon YL, Orgad S, Kalt R, Gazit E (August 1982). "HLA Bw51 is increased in mucocutaneous lymph node syndrome in Israeli patients". Tissue Antigens. 20 (2): 144–6. doi:10.1111/j.1399-0039.1982.tb00337.x. PMID 6958087.
- ↑ Behrman, Richard E.; Kliegman, Robert; Karen Marcdante; Jenson, Hal B. (2006). Nelson essentials of pediatrics. St. Louis, Mo: Elsevier Saunders. ISBN 1-4160-0159-X.
- 1 2 3 4 Ozen S, Ruperto N, Dillon MJ, et al. (July 2006). "EULAR/PReS endorsed consensus criteria* for the classification of childhood vasculitides". Ann. Rheum. Dis. 65 (7): 936–41. doi:10.1136/ard.2005.046300. PMC 1798210
. PMID 16322081. - ↑ "Kawasaki Disease - June 1999 - American Academy of Family Physicians".
- ↑ "Kawasaki Disease Diagnostic Criteria". Retrieved 2016-05-30.
- ↑ Kuo HC, Hsu YW, Wu MS, Chien SC, Liu SF, Chang WC. Intravenous immunoglobulin, pharmacogenomics, and Kawasaki disease. J Microbiol Immunol Infect. 2014 Nov 11. pii: S1684-1182(14)00227-8.
- ↑ Kuo HC, Liang CD, Wang CL, Yu HR, Hwang KP, Yang KD. Serum albumin level predicts initial intravenous immunoglobulin treatment failure in Kawasaki disease.Acta Paediatr. 2010 Oct;99(10):1578-83.
- 1 2 3 4 5 Guillevin L, Pagnoux C (March 2008). "[Classification of systemic vasculitides]". La Revue Du Praticien (in French). 58 (5): 480–6. PMID 18524103.
- ↑ "necrotizing vasculitis – definition of necrotizing vasculitis". Free Online Medical Dictionary, Thesaurus and Encyclopedia. Retrieved 2010-05-19.
- ↑ Dillon MJ, Eleftheriou D, Brogan PA (November 2009). "Medium-size-vessel vasculitis". Pediatric Nephrology (Berlin, Germany). 25 (9): 1641–52. doi:10.1007/s00467-009-1336-1. ISSN 0931-041X. PMC 2908435
. PMID 19946711. - ↑ Rigante D (2006). "Clinical overview of vasculitic syndromes in the pediatric age". European Review for Medical and Pharmacological Sciences. 10 (6): 337–45. PMID 17274537.
- ↑ Brandt HR, Arnone M, Valente NY, Sotto MN, Criado PR (2009). "[Medium and large vessel vasculitis]". An Bras Dermatol (in Portuguese). 84 (1): 55–67. PMID 19377760.
- ↑ Herlin T, Nielsen S (September 2008). "[Primary childhood vasculitis--new classification criteria]". Ugeskrift for Lægerer. 170 (36): 2784–2787. PMID 18761873.
- ↑ Guillevin L, Pagnoux C, Guilpain P (May 2007). "[Classification of systemic vasculatides]". Presse Med (in French). 36 (5 Pt 2): 845–53. doi:10.1016/j.lpm.2007.01.035. PMID 17408915.
- ↑ Jennette JC, Falk RJ (October 2000). "Do vasculitis categorization systems really matter?". Curr Rheumatol Rep. 2 (5): 430–8. doi:10.1007/s11926-000-0044-4. PMID 11123094.
- ↑ Oates-Whitehead RM, Baumer JH, Haines L, et al. (2003). Baumer JH, ed. "Intravenous immunoglobulin for the treatment of Kawasaki disease in children". Cochrane Database of Systematic Reviews (4): CD004000. doi:10.1002/14651858.CD004000. PMID 14584002.
- ↑ Hsieh KS, Weng KP, Lin CC, Huang TC, Lee CL, Huang SM (December 2004). "Treatment of acute Kawasaki disease: aspirin's role in the febrile stage revisited". Pediatrics. 114 (6): e689–93. doi:10.1542/peds.2004-1037. PMID 15545617.
- ↑ Kawasaki Disease~treatment at eMedicine
- ↑ Kuo HC, Lo MH, Hsieh KS, Guo MM, Huang YH. High-Dose Aspirin Is Associated with Anemia and Does Not Confer Benefit to Disease Outcomes in Kawasaki Disease. PLoS One. 2015 Dec 10;10(12):e0144603.doi: 10.1371/journal.pone.0144603. eCollection 2015. PMID 26658843.
- ↑ Sundel, Robert P.; Baker, Annette L.; Fulton, David R.; Newburger, Jane W. (2003). "Corticosteroids in the initial treatment of Kawasaki disease: Report of a randomized trial". The Journal of Pediatrics. 142 (6): 611–6. doi:10.1067/mpd.2003.191. PMID 12838187.
- ↑ Newburger JW et al., Randomized trial of pulsed corticosteroid therapy for primary treatment of Kawasaki disease, N Engl J Med. 2007 February 25;356(7):663-75
- ↑ Lee Y, Schulte DJ, Shimada K, et al. (March 2012). "Interleukin-1β is crucial for the induction of coronary artery inflammation in a mouse model of Kawasaki disease". Circulation. 125 (12): 1542–50. doi:10.1161/CIRCULATIONAHA.111.072769. PMC 3337219
. PMID 22361326. - ↑ REMICADE® Becomes First Anti-TNF Biologic Therapy to Treat One Million Patients Worldwide
- ↑ Beiser AS, Takahashi M, Baker AL, Sundel RP, Newburger JW (May 1998). "A predictive instrument for coronary artery aneurysms in Kawasaki disease. US Multicenter Kawasaki Disease Study Group". The American Journal of Cardiology. 81 (9): 1116–20. doi:10.1016/S0002-9149(98)00116-7. PMID 9605052. Retrieved 2011-12-08.
- ↑ Fujiwara T, Fujiwara H, Hamashima Y (1987). "Size of coronary aneurysm as a determinant factor of the prognosis in Kawasaki disease: clinicopathologic study of coronary aneurysms". Progress in Clinical and Biological Research. 250: 519–20. PMID 3423060.
- ↑ Nakano H, Ueda K, Saito A, Nojima K (November 1985). "Repeated quantitative angiograms in coronary arterial aneurysm in Kawasaki disease". The American Journal of Cardiology. 56 (13): 846–51. doi:10.1016/0002-9149(85)90767-2. PMID 4061324. Retrieved 2011-12-08.
- ↑ Tatara K, Kusakawa S (November 1987). "Long-term prognosis of giant coronary aneurysm in Kawasaki disease: an angiographic study". The Journal of Pediatrics. 111 (5): 705–10. doi:10.1016/S0022-3476(87)80246-9. PMID 3668739.
- ↑ Ishii M, Ueno T, Akagi T, et al. (October 2001). "Guidelines for catheter intervention in coronary artery lesion in Kawasaki disease". Pediatrics International. 43 (5): 558–62. doi:10.1046/j.1442-200X.2001.01464.x. PMID 11737728.
- ↑ Akagi T, Ogawa S, Ino T, et al. (August 2000). "Catheter interventional treatment in Kawasaki disease: A report from the Japanese Pediatric Interventional Cardiology Investigation group". The Journal of Pediatrics. 137 (2): 181–6. doi:10.1067/mpd.2000.107164. PMID 10931409.
- ↑ Kitamura S (December 2002). "The role of coronary bypass operation on children with Kawasaki disease". Coronary Artery Disease. 13 (8): 437–47. doi:10.1097/00019501-200212000-00009. PMID 12544719.
- ↑ Checchia PA, Pahl E, Shaddy RE, Shulman ST (October 1997). "Cardiac transplantation for Kawasaki disease". Pediatrics. 100 (4): 695–9. doi:10.1542/peds.100.4.695. PMID 9310527.
- ↑ "Kawasaki Disease – Signs and Symptoms".
- ↑ "Kawasaki Syndrome". CDC. Retrieved 18 August 2014.
- ↑ "BBC – Health: Kawasaki Disease". 31 March 2009.
- ↑ "Rare heart disease rate doubles". BBC. 17 June 2002.
- ↑ Kawasaki T (March 1967). "[Acute febrile mucocutaneous syndrome with lymphoid involvement with specific desquamation of the fingers and toes in children]". Arerugī Allergy (in Japanese). 16 (3): 178–222. PMID 6062087.
- ↑ Yamamoto T, Oya T, Watanabe A, et al. Clinical features of Kawasaki disease [in Japanese] Shonika Rinsho (Jpn J Pediatr) 1968;21:291–297.
- ↑ Kawasaki T, Kosaki F, Okawa S, Shigematsu I, Yanagawa H (September 1974). "A new infantile acute febrile mucocutaneous lymph node syndrome (MLNS) prevailing in Japan". Pediatrics. 54 (3): 271–6. PMID 4153258.
- ↑ Melish, Marian E.; Hicks, Raquel M.; Larson, Eunice J. (1976). "Mucocutaneous Lymph Node Syndrome in the United States". Archives of Pediatrics & Adolescent Medicine. 130 (6): 599–607. doi:10.1001/archpedi.1976.02120070025006. PMID 7134.
- ↑ Gee S J. Cases of morbid anatomy. St Bartholomew's Hosp Rep. 1871;7:141–148.
- ↑ Taubert, K A; Rowley, A H; Shulman, S T (1995). "A 10 year (1984–1993) United States hospital survey of Kawasaki disease". In Kato, H. Kawasaki disease. Amsterdam: Elsevier. pp. 34–8.
External links
| Wikimedia Commons has media related to Kawasaki disease. |
- Kawasaki disease - Stanford Children's Health
- Kawasaki disease research program
- Kawasaki disease foundation
- Kawasaki disease information from Seattle Children's Hospital Heart Center
- http://www.kawasaki-disease-taiwan.com/ - Kawasaki Disease Taiwan.

