Rigler's sign
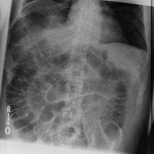
Rigler's sign, also known as the double wall sign, is a radiologic sign seen on an x-ray of the abdomen when air is present on both sides of the intestine; a Rigler's sign is present when air is present on the inside (luminal side) and the outside (peritoneal side). Air in the peritoneum is considered abnormal, unless the patient had a recent abdominal surgery.

Double wall sign. This is a secondary sign of pneumoperitoneum. Patient is supine, and air within the abdomen and lumen of the bowel accentuate both sides of the bowel wall.
A false double wall sign can result from two loops of bowel being in contact with one another.[1]
The sign is named after Leo George Rigler. It is not the same as Rigler's triad.
See also
References
- ↑ de Lacey G, Bloomberg T, Wignall BK. Pneumoperitoneum: the misleading double wall sign. Clin Radiol. 1977 Jul;28(4):445-8. PMID 872511.
Sources
- Harkin DW, Blake G. Small bowel obstruction in a young adult. Postgrad Med J. 1999 Mar;75(881):173-5. PMID 10448501. Free Full Text.
External links
- A film of Rigler's sign and the Football sign - learningradiology.com
| ||||||||||||||||||||||||||
| ||||||||||||||||||||||||||||||
This article is issued from Wikipedia - version of the 7/1/2015. The text is available under the Creative Commons Attribution/Share Alike but additional terms may apply for the media files.