Splenic injury
| Splenic injury | |
|---|---|
![]() | |
| Side of thorax, showing surface markings for bones, lungs (purple), pleura (blue), and spleen (green). | |
| Classification and external resources | |
| Specialty | emergency medicine |
| ICD-10 | S36.0 |
| ICD-9-CM | 865 |
| DiseasesDB | 12369 |
| eMedicine | med/2792 |
| MeSH | D013161 |
A splenic injury, which includes a ruptured spleen, is any injury to the spleen. The rupture of a normal spleen can be caused by trauma, such as a traffic collision.
Signs and symptoms
In minor injuries with little bleeding, there may be abdominal pain, tenderness in the epigastrium and pain in the left flank. Often there is a sharp pain in the left shoulder, known as Kehr's sign. In larger injuries with more extensive bleeding, signs of hypovolemic shock are most prominent. This might include a rapid pulse, low blood pressure, rapid breathing, paleness and anxiety.
Causes
The most common cause of a ruptured spleen is blunt abdominal trauma, such as in traffic collisions or sports accidents. Direct, penetrating injuries, for example, stab or gunshot wounds are rare.
Non-traumatic causes are less common. These include infectious diseases, medical procedures such as colonoscopy, haematological diseases, medications, and pregnancy.[1]
In less than one percent of cases of infectious mononucleosis splenic rupture may occur.[2]
Function in the body
The spleen is an organ in the left upper quadrant of the abdomen that filters blood by removing old or damaged blood cells and platelets. While not essential to sustain life, the spleen performs protective immunological functions in the body. It also helps the immune system by destroying bacteria and other foreign substances by opsonization and phagocytosis, and by producing antibodies. It also stores approximately 33 percent of all platelets in the body.
Diagnosis


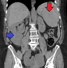
Splenic rupture is usually evaluated by FAST ultrasound of the abdomen.[3] Generally this is not specific to splenic injury; however, it is useful to determine the presence of free floating blood in the peritoneum.[3] A diagnostic peritoneal lavage, while not ideal, may be used to evaluate the presence of internal bleeding a person who is hemodynamically unstable.[4] The FAST exam typically serves to evaluate the need to perform a CT.[4] Computed tomography with IV contrast is the preferred imaging study as it can provide high quality images of the full peritoneal cavity.[3]
Organ injury scale
American Association for the Surgery of Trauma Organ Injury Scaling: Splenic Injury Grading[5]
| Grade | Subcapsular hematoma | Laceration |
|---|---|---|
| I | <10% surface area | <1 cm parenchymal depth |
| II | 10–50% surface area | 1–3 cm parenchymal depth |
| III | >50% surface area or expanding | >3-cm parenchymal depth |
| IV | Major devascularization (>25% of spleen) | |
| V | Completely shattered spleen |
Treatment
Because a splenic rupture permits large amounts of blood to leak into the abdominal cavity, it can result in shock and death. Generally a nonoperative approach is chosen in those who are hemodynamically stable with non-worsening symptoms.[5][6] During this period of nonoperative management strict bed rest between 24–72 hours with careful monitoring along with a CT 7 days after the injury.[5]
If an individual's spleen is enlarged, as is frequent in mononucleosis, most physicians will advise against activities (such as contact sports) where injury to the abdomen could be catastrophic.
Patients whose spleens have been removed must receive immunizations to help prevent infections such as pneumonia. This helps to replace the lost function of this organ.
See also
References
- ↑ Aubrey-Bassler, F.; Sowers, N. (2012). "613 cases of splenic rupture without risk factors or previously diagnosed disease: A systematic review". BMC Emergency Medicine. 12: 11. doi:10.1186/1471-227X-12-11. PMC 3532171
. PMID 22889306. 
- ↑ Handin, Robert I.; Lux, Samuel E.; Stossel, Thomas P. (2003). Blood: Principles and Practice of Hematology. Lippincott Williams & Wilkins. p. 641. ISBN 9780781719933.
- 1 2 3 Mattox 2012, p. 566
- 1 2 Trunkey 2008, p. 401
- 1 2 3 Uranues, Prof Selman; Kilic, Yusuf A. (2008-07-30). "Injuries to the Spleen". European Journal of Trauma and Emergency Surgery. 34 (4): 355–361. doi:10.1007/s00068-008-8102-0. ISSN 1863-9933.
- ↑ Mattox 2012, p. 570
Bibliography
- Feliciano, David V.; Mattox, Kenneth L.; Moore, Ernest J (2012). Trauma, Seventh Edition (Trauma (Moore)). McGraw-Hill Professional. ISBN 0-07-166351-7.
- Trunkey, Donald. Current Therapy of Trauma and Surgical Critical Care (1st ed.). Philadelphia: Mosby. ISBN 978-0-323-04418-9.
