Subdural hematoma
| Subdural hematoma | |
|---|---|
|
| |
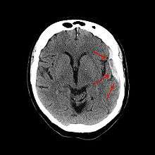
| Subdural hematoma as marked by the arrow with significant midline shift | |
| Classification and external resources | |
| Specialty | Neurosurgery |
| ICD-10 | I62.0, P10.0, S06.5 |
| ICD-9-CM | 852.2 - traumatic; 432.1 - nontraumatic |
| DiseasesDB | 12614 |
| MedlinePlus | 000713 |
| eMedicine | neuro/575 |
| MeSH | D006408 |
A subdural hematoma (American spelling) or subdural haematoma (British spelling), also known as a subdural haemorrhage (SDH), is a type of hematoma, usually associated with traumatic brain injury. Blood gathers between the dura mater and the brain. Usually resulting from tears in bridging veins which cross the subdural space, subdural hemorrhages may cause an increase in intracranial pressure (ICP), which can cause compression of and damage to delicate brain tissue. Subdural hematomas are often life-threatening when acute. Chronic subdural hematomas, however, have a better prognosis if properly managed.
In contrast, epidural hematomas are usually caused by tears in arteries, resulting in a build-up of blood between the dura mater and skull.
Classification
Subdural hematomas are divided into acute, subacute, and chronic, depending on the speed of their onset.[1] Acute subdural hematomas that are due to trauma are the most lethal of all head injuries and have a high mortality rate if they are not rapidly treated with surgical decompression.[2]
Acute bleeds often develop after high speed acceleration or deceleration injuries and are increasingly severe with larger hematomas. They are most severe if associated with cerebral contusions.[3] Though much faster than chronic subdural bleeds, acute subdural bleeding is usually venous and therefore slower than the typically arterial bleeding of an epidural hemorrhage. Acute subdural bleeds have a high mortality rate, higher even than epidural hematomas and diffuse brain injuries, because the force (acceleration/deceleration) required to cause them causes other severe injuries as well.[4] The mortality rate associated with acute subdural hematoma is around 60 to 80%.[5]
Chronic subdural bleeds develop over a period of days to weeks, often after minor head trauma, though such a cause is not identifiable in 50% of patients.[6] They may not be discovered until they present clinically months or years after a head injury.[7] The bleeding from a chronic bleed is slow, probably from repeated minor bleeds, and usually stops by itself.[8][9] Since these bleeds progress slowly, they present the chance of being stopped before they cause significant damage. Small chronic subdural hematomas, those less than a centimeter wide, have much better outcomes than acute subdural bleeds: in one study, only 22% of patients with chronic subdural bleeds had outcomes worse than "good" or "complete recovery".[3] Chronic subdural hematomas are common in the elderly.[7]
Signs and symptoms
| Hematoma type | Epidural | Subdural |
|---|---|---|
| Location | Between the skull and the outer endosteal layer of the dura mater | Within the meningeal layer of the dura mater. |
| Involved vessel | Temperoparietal locus (most likely) - Middle meningeal artery Frontal locus - anterior ethmoidal artery Occipital locus - transverse or sigmoid sinuses Vertex locus - superior sagittal sinus | Bridging veins |
| Symptoms (depend on severity)[10] | Lucid interval followed by unconsciousness | Gradually increasing headache and confusion |
| CT appearance | Biconvex lens | Crescent-shaped |
Symptoms of subdural hemorrhage have a slower onset than those of epidural hemorrhages because the lower pressure veins bleed more slowly than arteries. Therefore, signs and symptoms may show up in minutes, if not immediately[11] but can be delayed as much as 2 weeks.[12] If the bleeds are large enough to put pressure on the brain, signs of increased ICP (intracranial pressure) or damage to part of the brain will be present.[3]
Other signs and symptoms of subdural hematoma can include any combination of the following:
- A history of recent head injury
- Loss of consciousness or fluctuating levels of consciousness
- Irritability
- Seizures
- Pain
- Numbness
- Headache (either constant or fluctuating)
- Dizziness
- Disorientation
- Amnesia
- Weakness or lethargy
- Nausea or vomiting
- Loss of appetite
- Personality changes
- Inability to speak or slurred speech
- Ataxia, or difficulty walking
- Loss of muscle control
- Altered breathing patterns
- Hearing loss or hearing ringing (tinnitus)
- Blurred Vision
- Deviated gaze, or abnormal movement of the eyes.[3]
Causes
Subdural hematomas are most often caused by head injury, when rapidly changing velocities within the skull may stretch and tear small bridging veins. Subdural hematomas due to head injury are described as traumatic. Much more common than epidural hemorrhages, subdural hemorrhages generally result from shearing injuries due to various rotational or linear forces.[3][8] Subdural hemorrhage is a classic finding in shaken baby syndrome, in which similar shearing forces classically cause intra- and pre-retinal hemorrhages. Subdural hematoma is also commonly seen in the elderly and in alcoholics, who have evidence of cerebral atrophy. Cerebral atrophy increases the length the bridging veins have to traverse between the two meningeal layers, hence increasing the likelihood of shearing forces causing a tear. It is also more common in patients on anticoagulants, especially aspirin and warfarin. Patients on these medications can have a subdural hematoma with a minor injury. A further cause can be a reduction in cerebral spinal fluid pressure which can create a low pressure in the subarachnoid space, pulling the arachnoid away from the dura mater and leading to a rupture of the blood vessels.
Risk factors
Factors increasing the risk of a subdural hematoma include very young or very old age. As the brain shrinks with age, the subdural space enlarges and the veins that traverse the space must travel over a wider distance, making them more vulnerable to tears. This and the fact that the elderly have more brittle veins make chronic subdural bleeds more common in older patients.[6] Infants, too, have larger subdural spaces and are more predisposed to subdural bleeds than are young adults.[3] For this reason, subdural hematoma is a common finding in shaken baby syndrome. In juveniles, an arachnoid cyst is a risk factor for a subdural hematoma.[13]
Other risk factors for subdural bleeds include taking blood thinners (anticoagulants), long-term alcohol abuse, dementia, and the presence of a cerebrospinal fluid leak.[14]
Pathophysiology

Collected blood from the subdural bleed may draw in water due to osmosis, causing it to expand, which may compress brain tissue and cause new bleeds by tearing other blood vessels.[6] The collected blood may even develop its own membrane.[15]
In some subdural bleeds, the arachnoid layer of the meninges is torn, and cerebrospinal fluid (CSF) and blood both expand in the intracranial space, increasing pressure.[8]
Substances that cause vasoconstriction may be released from the collected material in a subdural hematoma, causing further ischemia under the site by restricting blood flow to the brain.[9] When the brain is denied adequate blood flow, a biochemical cascade known as the ischemic cascade is unleashed, and may ultimately lead to brain cell death.
The body gradually reabsorbs the clot and replaces it with granulation tissue.
Diagnosis

It is important that a person receive medical assessment, including a complete neurological examination, after any head trauma. A CT scan or MRI scan will usually detect significant subdural hematomas.
Subdural hematomas occur most often around the tops and sides of the frontal and parietal lobes.[3][8] They also occur in the posterior cranial fossa, and near the falx cerebri and tentorium cerebelli.[3] Unlike epidural hematomas, which cannot expand past the sutures of the skull, subdural hematomas can expand along the inside of the skull, creating a concave shape that follows the curve of the brain, stopping only at the dural reflections like the tentorium cerebelli and falx cerebri.
On a CT scan, subdural hematomas are classically crescent-shaped, with a concave surface away from the skull. However, they can have a convex appearance, especially in the early stage of bleeding. This may cause difficulty in distinguishing between subdural and epidural hemorrhages. A more reliable indicator of subdural hemorrhage is its involvement of a larger portion of the cerebral hemisphere since it can cross suture lines, unlike an epidural hemorrhage. Subdural blood can also be seen as a layering density along the tentorium cerebelli. This can be a chronic, stable process, since the feeding system is low-pressure. In such cases, subtle signs of bleeding such as effacement of sulci or medial displacement of the junction between gray matter and white matter may be apparent. A chronic bleed can be the same density as brain tissue (called isodense to brain), meaning that it will show up on CT scan as the same shade as brain tissue, potentially obscuring the finding.
Treatment
Treatment of a subdural hematoma depends on its size and rate of growth. Some small subdural hematomas can be managed by careful monitoring until the body heals itself. Other small subdural hematomas can be managed by inserting a temporary small catheter through a hole drilled through the skull and sucking out the hematoma; this procedure can be done at the bedside. Large or symptomatic hematomas require a craniotomy, the surgical opening of the skull. A surgeon then opens the dura, removes the blood clot with suction or irrigation, and identifies and controls sites of bleeding.[16][17] Postoperative complications include increased intracranial pressure, brain edema, new or recurrent bleeding, infection, and seizure. The injured vessels must be repaired.
Depending on the size and deterioration, age of the patient, and anaesthetic risk posed, subdural hematomas occasionally require craniotomy for evacuation; most frequently, simple burr holes for drainage; often conservative treatment; and rarely, palliative treatment in patients of extreme age or with no chance of recovery.[18]
In those with a chronic subdural hematoma, but without a history of seizures, the evidence is unclear if using anticonvulsants is harmful or beneficial.[19]
See also
References
- ↑ Subdural Hematoma Surgery at eMedicine
- ↑ UCLA Neurosurgery retrieved on 7/21/2011.
- 1 2 3 4 5 6 7 8 Imaging in Subdural Hematoma at eMedicine
- ↑ Penetrating Head Trauma at eMedicine
- ↑ Traumatic Brain Injury (TBI) - Definition, Epidemiology, Pathophysiology at eMedicine
- 1 2 3 Downie A. 2001. "Tutorial: CT in head trauma". Retrieved on August 7, 2007.
- 1 2 Kushner D (1998). "Mild Traumatic Brain Injury: Toward Understanding Manifestations and Treatment". Archives of Internal Medicine. 158 (15): 1617–1624. doi:10.1001/archinte.158.15.1617. PMID 9701095.
- 1 2 3 4 University of Vermont College of Medicine. "Neuropathology: Trauma to the CNS." Accessed through web archive on August 8, 2007.
- 1 2 Graham DI and Gennareli TA. Chapter 5, "Pathology of brain damage after head injury" Cooper P and Golfinos G. 2000. Head Injury, 4th Ed. Morgan Hill, New York.
- ↑ http://www.brainline.org/multimedia/video/transcripts/Dr.Jane_Gillett-Whats_the_Difference_Between_a_Subdural_and_Epidural_Hematoma.pdf
- ↑ "Subdural hematoma : MedlinePlus Medical Encyclopedia". Nlm.nih.gov. 2012-06-28. Retrieved 2012-07-27.
- ↑ Sanders MJ and McKenna K. 2001. Mosby’s Paramedic Textbook, 2nd revised Ed. Chapter 22, "Head and facial trauma." Mosby.
- ↑ Mori K, Yamamoto T, Horinaka N, Maeda M (2002). "Arachnoid cyst is a risk factor for chronic subdural hematoma in juveniles: twelve cases of chronic subdural hematoma associated with arachnoid cyst". J. Neurotrauma. 19 (9): 1017–27. doi:10.1089/089771502760341938. PMID 12482115.
- ↑ Beck J; Gralla J; Fung C; Ulrich C; Schuct P; Fichtner J; ... Raabe A (December 2014). "Spinal cerebrospinal fluid leak as the cause of chronic subdural hematomas in nongeriatric patients". Journal of Neurosurgery. 121 (6): 1380–1387. doi:10.3171/2014.6.JNS14550. PMID 25036203. Retrieved 3 April 2016.
- ↑ McCaffrey P. 2001. "The neuroscience on the web series: CMSD 336 neuropathologies of language and cognition." California State University, Chico. Retrieved on August 7, 2007.
- ↑ Koivisto T, Jääskeläinen JE (2009). "Chronic subdural haematoma—to drain or not to drain?". Lancet. 374 (9695): 1040–1041. doi:10.1016/S0140-6736(09)61682-2.
- ↑ Santarius T, Kirkpatrick PJ, Dharmendra G, et al. (2009). "Use of drains versus no drains after burr-hole evacuation of chronic subdural haematoma: a randomised controlled trial". Lancet. 374 (9695): 1067–1073. doi:10.1016/S0140-6736(09)61115-6.
- ↑ de Araújo Silva, DO; Matis GK, Costa LF, Kitamura MA, de Carvalho Junior EV, Silva Md, Barbosa BA, Pereira CU, da Silva JC, Birbilis TA, de Azevedo Filho HR (March 25, 2013). "Chronic subdural hematomas and the elderly: Surgical results from a series of 125 cases: Old "horses" are not to be shot!.". Surg Neurol Int. 3 (1): 150. doi:10.4103/2152-7806.104744. Retrieved 25 March 2013. Cite uses deprecated parameter
|coauthors=(help) - ↑ Ratilal, BO; Pappamikail, L; Costa, J; Sampaio, C (Jun 6, 2013). "Anticonvulsants for preventing seizures in patients with chronic subdural haematoma.". The Cochrane database of systematic reviews. 6: CD004893. doi:10.1002/14651858.CD004893.pub3. PMID 23744552.
External links
| Wikimedia Commons has media related to Subdural hematoma. |